| Pre-op (11 y/o) | Post-op (12 y/o) | Follow Up (14 y/o) |
![]() |
![]() |
![]() |
![]() |
![]() |
![]() |
![]() |
![]() |
![]() |
![]() |
![]() |
![]() |
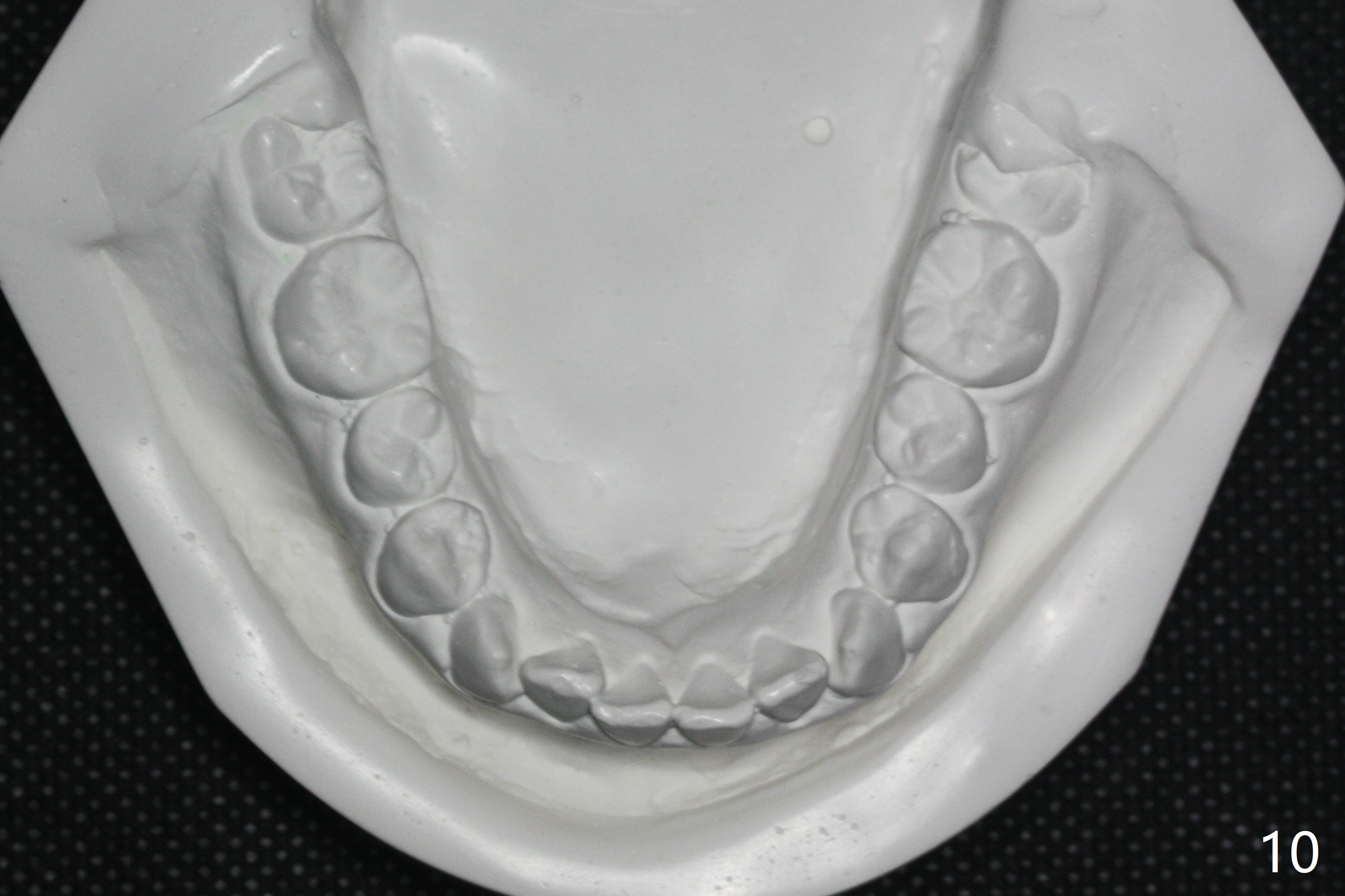
Relapse
A 11-year-old man starts orthodontic treatment and finishes in 9 months. Two years later crowding relapses because of loss of suck down retainers. It appears that lingual retainer is necessary.
Return to
Ortho Cases
Xin Wei, DDS, PhD, MS 1st edition 10/14/2017, last revision 10/14/2017