![]() |
![]() |
![]() |
![]() |
![]() |
![]() |
![]() |
![]() |
![]() |
Crowding & Rotation
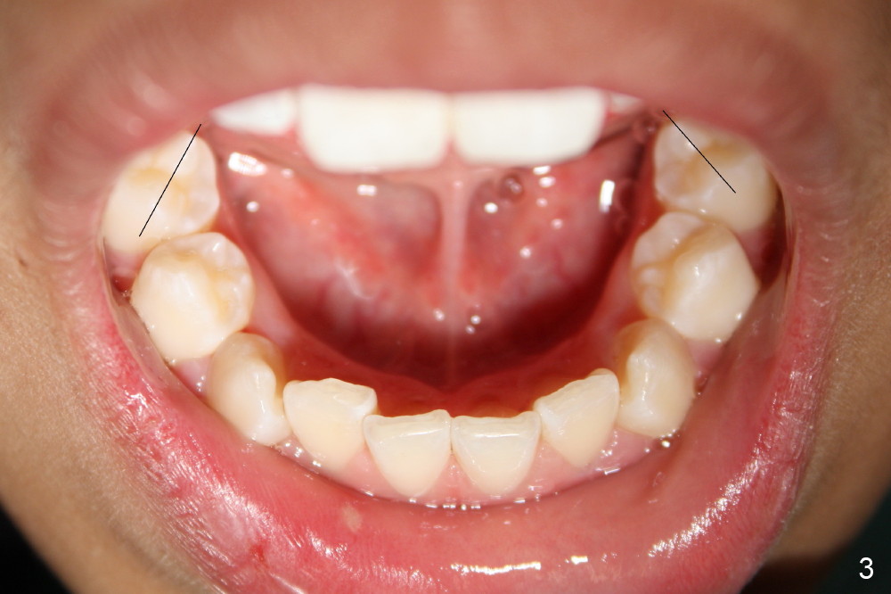
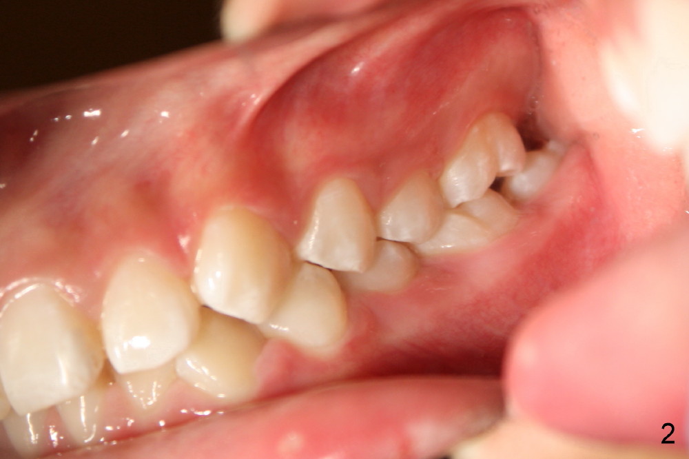
Joshua, 11 years old, has dental crowding (Fig.1), particularly in the lower arch (Fig.3) with molar Class I relationship (Fig.2). The lower 5s rotate (Fig.2 black lines), which are corrected with power chains (Fig.4,5) after bracketing and placing .012" niti wires (Fig.6).
Next visit the same wires may be kept with attention to engage the lower one to the mesial wings of L5 brackets. Note the condition of wire engagement before removing them.
The orthodontic treatment finishes in 9 months. Incisor overbite improves (compare Fig.7,8 (lingual view of the anterior arches; arrowheads: upper palatal gingival margin)). The rotation of the lower 2nd bicuspids (Fig.9 black lines, as compared to those in Fig.3) and the crowding of the lower anterior teeth (Fig.9) also improves. Two years later, the latter relapses.
Return to Ortho Cases
Buccal Cusp Rotates Distal
Xin Wei, DDS, PhD, MS 1st edition 11/28/2014, last revision 05/06/2018