![]() |
![]() |
![]() |
Whitening Post Ortho
A 20-year-old woman requests whitening post ortho, which is a good idea. But it is not a priority, since resin or porcelain veneers for microdontia may produce more secure cosmetic results. Since in office whitening is not a common procedure, we should review the steps beforehand. If we have to peek at the manual, do it secretly. Prior to the procedure, congratulate the patient on the choice, but explain possible complications: tooth sensitivity, gingival burning sensation and necessity of post-op at home whitening.
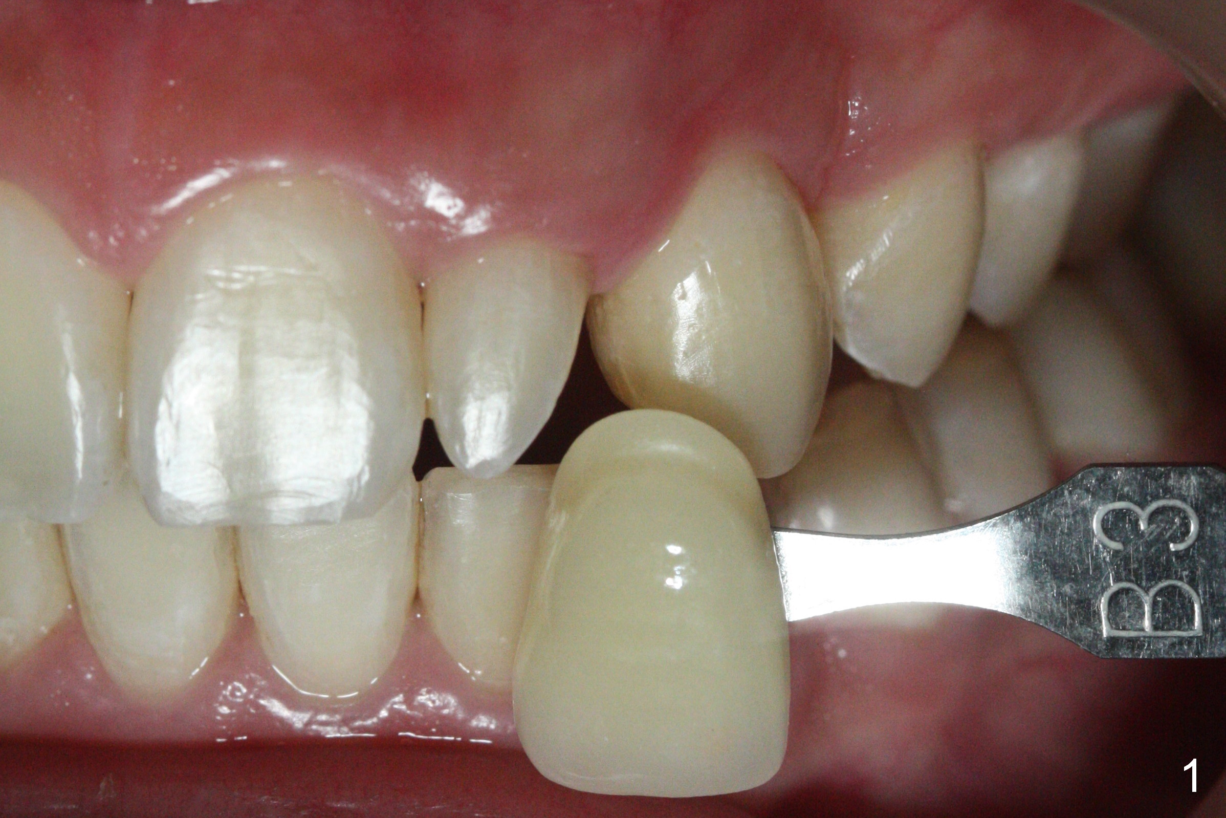
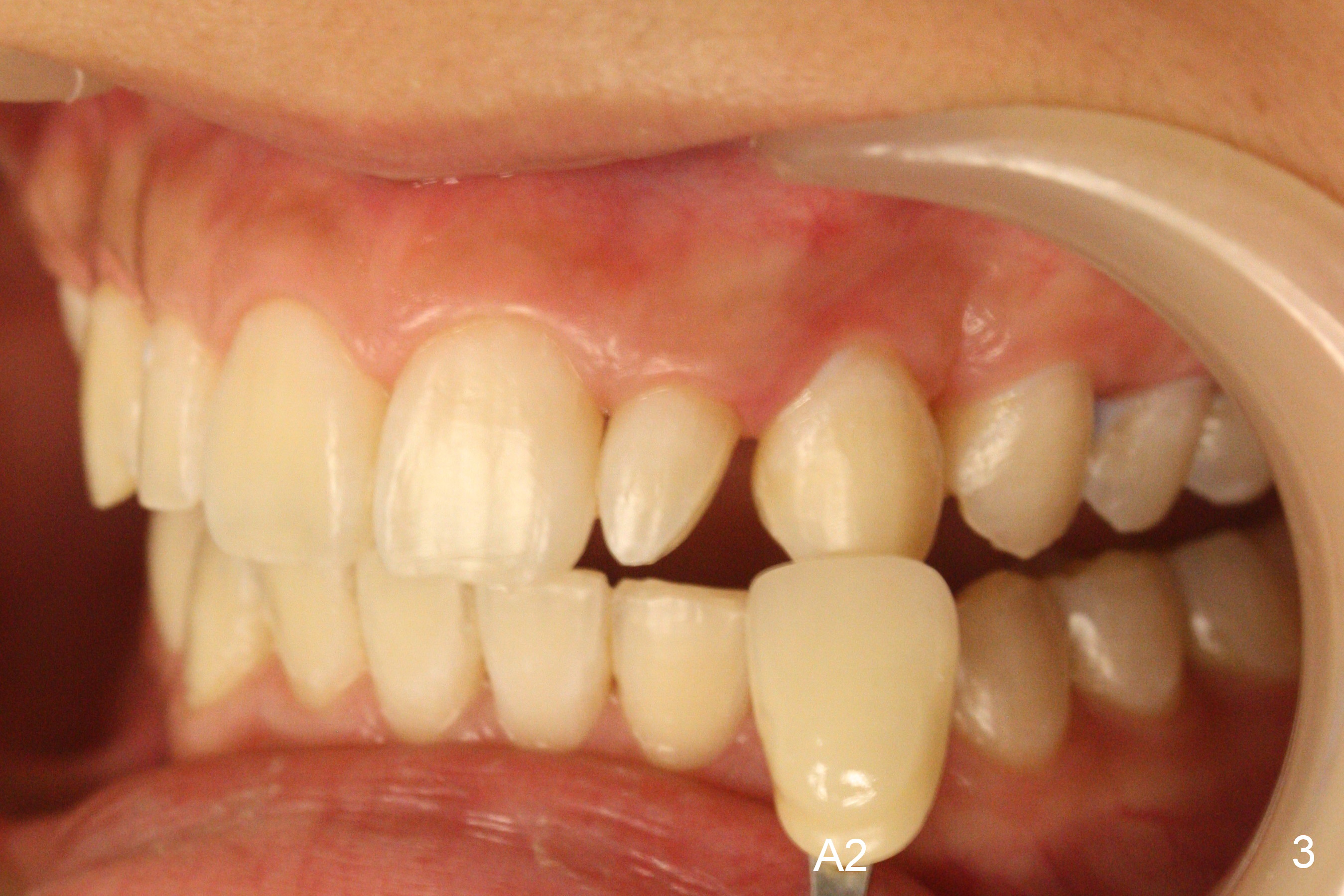
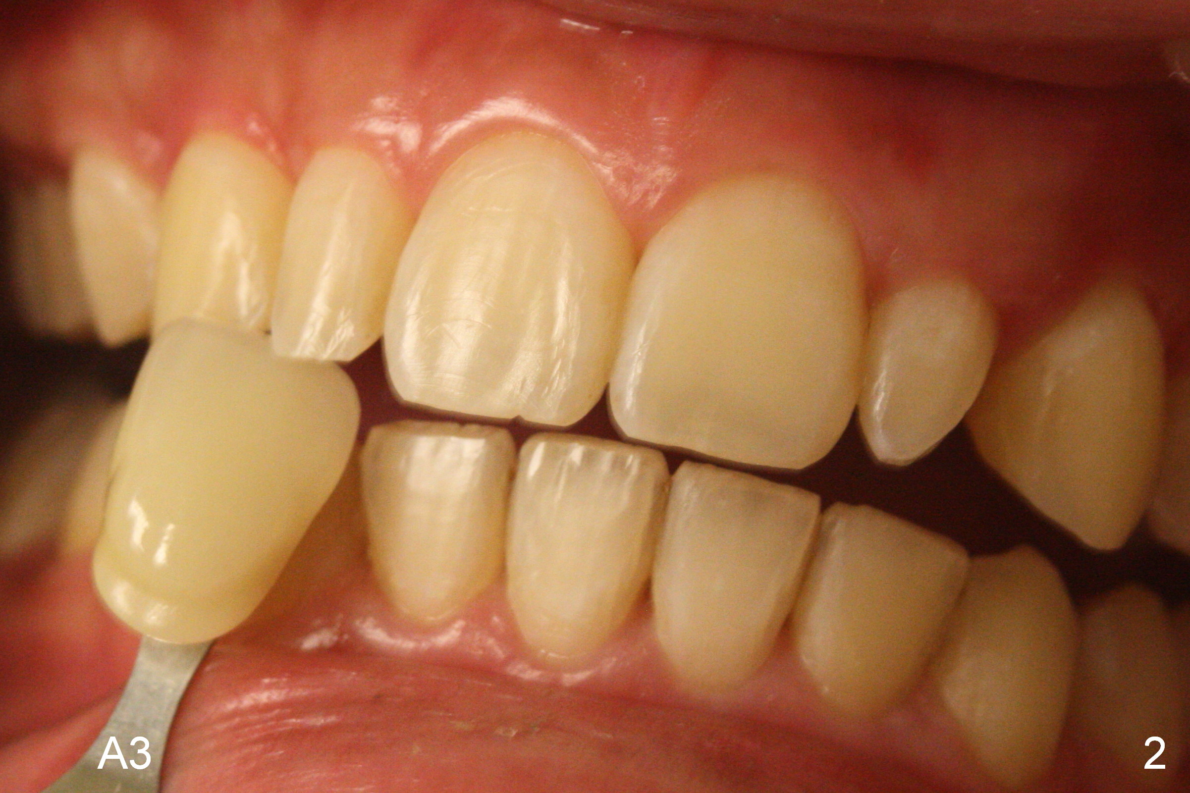
Taking good before and after photos for shade change is paramount. It appears that Fig.1 is the best image with focus, because of use of dental headlight. With shade guide in the field, the dental headlight does not affect the quality of photos adversely. If you pay attention, you may find that the camera will automatically focus with bright light. It does not do the same when the room light is used (Fig.2,3). When you find out the feature, please turn on the dental headlight. Develop the habit. Otherwise we waste a lot of time. It is not good for shade selection for crowns as well. The ring light attached to the camera is also helpful in focusing when battery is full. Ask for the new one if it is low.
When the microdontia at #7 is a focal point, ask the patient to turn the head to the most favorable position for photo (Fig.2).
Return to
Ortho Cases
Xin Wei, DDS, PhD, MS 1st edition 01/07/2017, last revision 01/07/2017