![]() |
![]() |
![]() |
![]() |
![]() |
![]() |
![]() |
![]() |
![]() |
|||
![]() |
![]() |
![]() |
|||
Class II Malocclusion and Microdontia
A 13-year-old girl denies mouth breath/nasal obstruction in spite of pointed narrow arches (Fig.10,11). When she is relaxed, the lips remain unclosed (Fig.1). There is lip strain when they try to close (Fig.2). When the patient is smiling, the upper central incisors have extra exposure (Fig.3). Differential bracket placement between U1 and U3 (4 vs. 5 mm from the incisal edge) should be able to correct the exposure. Profile views show the mild lip protrusion (Fig.4,5). Class II elastic retraction when arch wires reach 18 ss may be able to move the lower arch forward (Fig.6 arrow) and/or move the upper one backward (take care of Class II malocclusion (Fig.8,10) and lip profile).
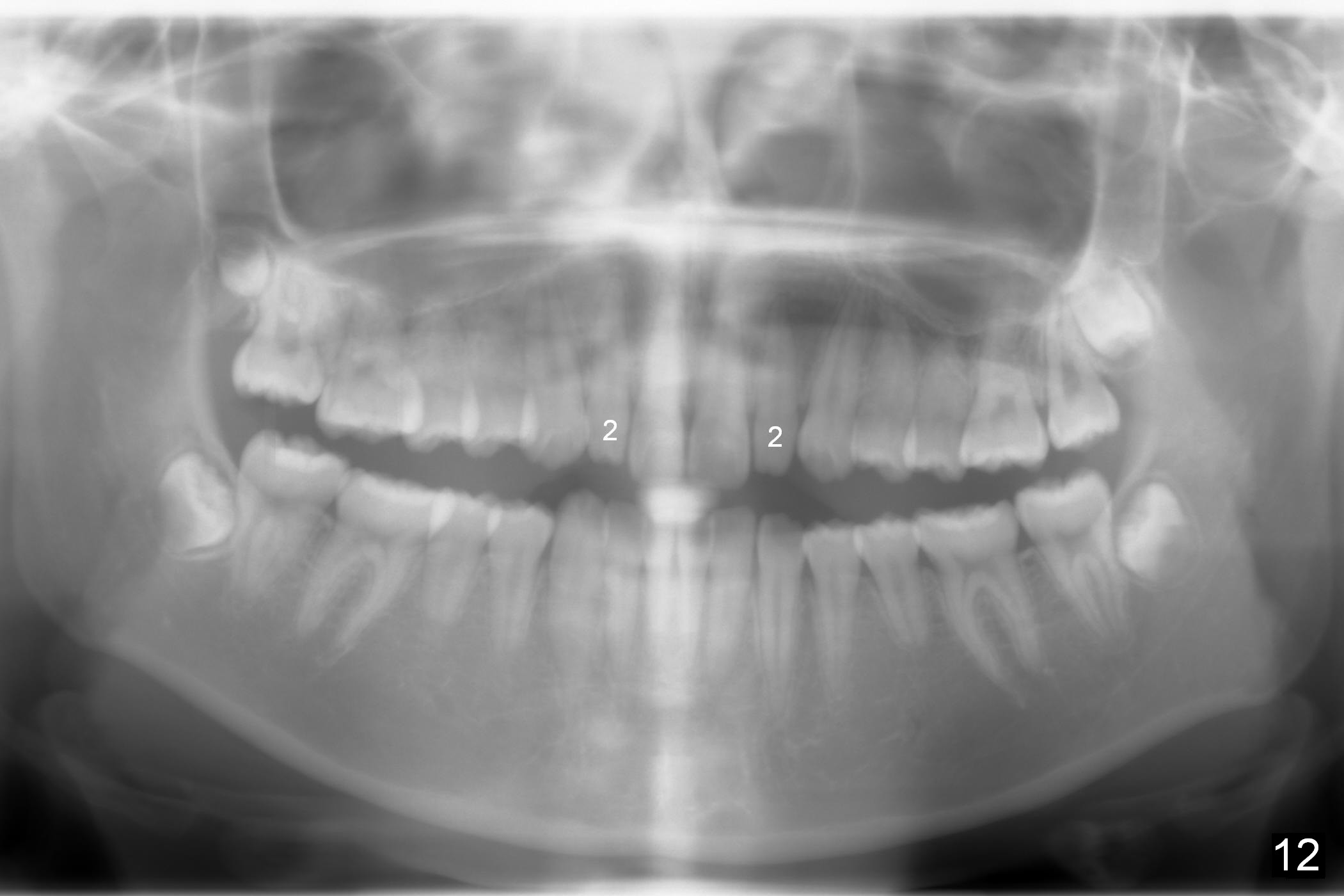
Microdontia at U2s contributes to Class II malposition of U3s (Fig.7,9). No brackets are placed in U2s initially so that open coil springs can be placed between U2 and 3 to increase space. Composite veneers are to be fabricated near the end of orthodontic treatment, whereas porcelain veneers are going to be placed when she grows beyond puberty. Constantly encourage the patient for better oral hygiene before, during and after orthodontic treatment (Fig.8,9). Without extraction, the facial profile remains convex postop.
Return to
Ortho Cases
Xin Wei, DDS, PhD, MS 1st edition 01/01/2017, last revision 09/09/2018