![]() |
![]() |
![]() |
![]() |
![]() |
![]() |
![]() |
![]() |
![]() |
![]() |
![]() |
![]() |
![]() |
![]() |
![]() |
Cross Bite and Lower Bicuspid Rotation
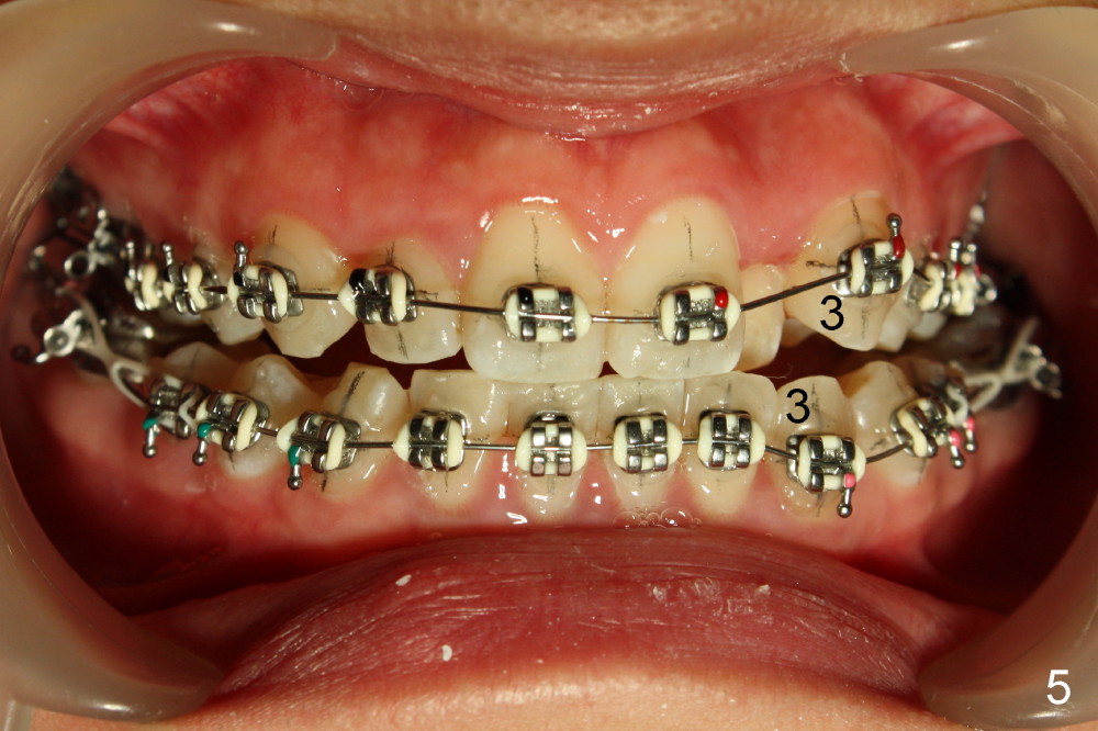
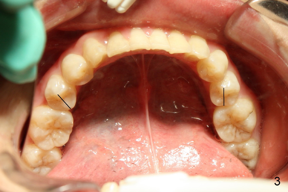
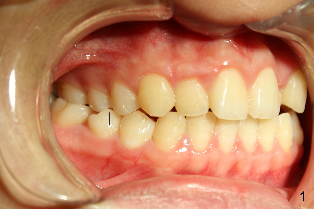
Ms. Xu, 16 years old, has bilateral posterior and UL 2 cross bite (Fig.1,2). L5s rotate (Fig.1-3: black lines).
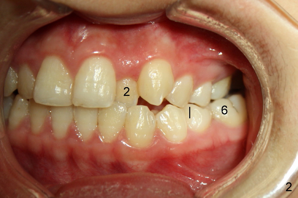
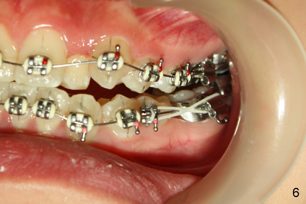
The rotation of LL5 is so severe that the bracket is forced to be placed distal to the height of contour due to interference of LL4 (Fig.4). Because of delayed eruption of L3s (Fig.5: 3), the first niti wires (.014") are bent the most around them. Power chain x2 are placed between L5 and 6 (Fig.6) to correct the rotation of the former in timely manner.
In one month, wires (.016 niti just installed) are straighter although there is slight open bite on the left (Fig.7, compare to Fig.5). It may be beneficial to ask the patient to use (next appointment) an elastic between L3,4s to reduce the open bite. Power chains are continuously used bilaterally between L5,6 (Fig.7,8).
Next visit wires are changed to .018 stainless steel (SS). The upper one should be expanded laterally (stretched outside) and lower inside before insertion to facilitate correction of posterior cross bite. An open coil spring will be placed between UL 1 and 3 to increase the space for UL2.
To improve photography, click each figure.
Two months installing open coil between UL 1 and 3, the space for UL2 is not increased enough. In addition, posterior cross bite is not corrected by arch expansion. Nitanium palatal expander is placed. One month later, the posterior cross bite appears to have been improved. The space for UL2 increases significantly (Fig.10); a sling shot is installed (Fig.11).
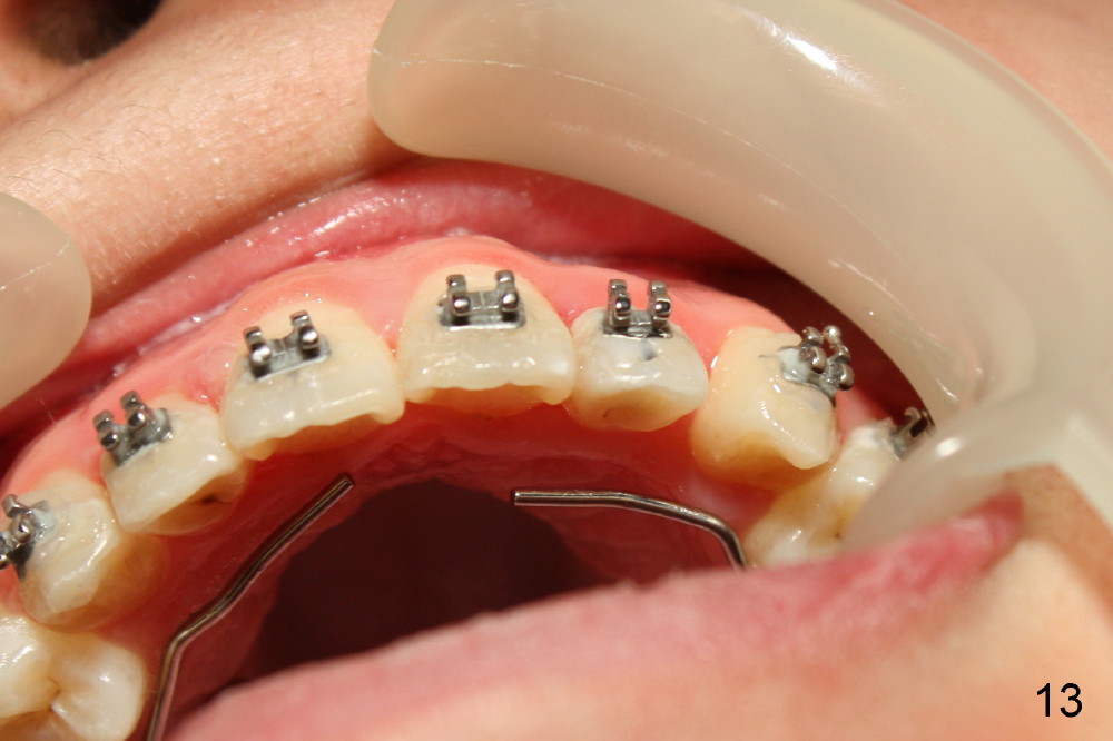
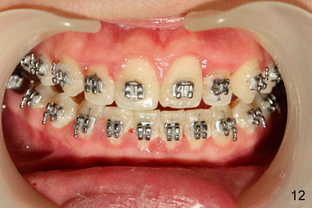
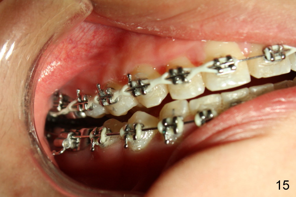
Another one month later, UL2 is moved labially and a bracket is placed (upside down in order to fix torque problem associated with cross bite correction). Surprisingly, it works perfectly: UL2 orientation is right (Fig.12,13,14). The distal diastema (Fig.14 <) is to be closed by power chain. The palatal expander is removed since the posterior cross bite has been a little overcorrected (Fig.14,15, as compared to Fig.1,2,4-7).
Xin Wei, DDS, PhD, MS 1st edition 08/24/2013, last revision 02/20/2014