![]() |
![]() |
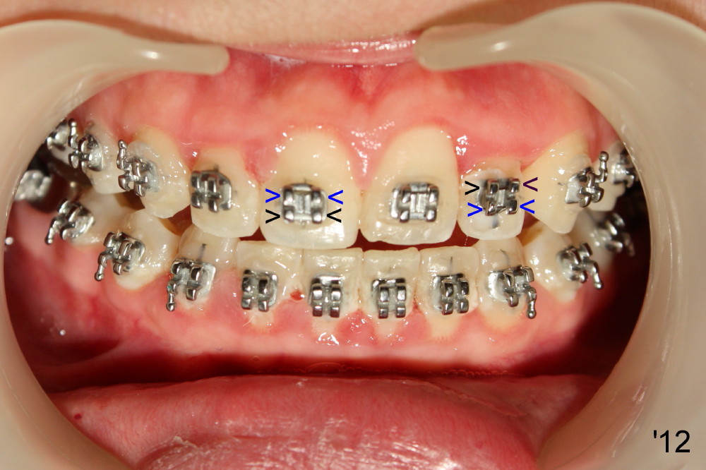
Fig.12: One month of UL bracketing (upside down), UL2 orientation is right. It does not require torque.
Normally the lower wings of upper anterior bracket (Fig.'12: UR1 black arrowheads) are wider than the lower wings (blue arrowheads).
In order to reduce the chance of needing torque after correction of the anterior cross bite, the bracket of UL2 is upside down, i.e., the wide wings are on the top, the narrow wing on the bottom.
This idea was suggested by Jenny Sheets after her reading.
Return to Cross Bite
Xin Wei, DDS, PhD, MS 1st edition 02/20/2013, last revision 02/20/2014