![]() |
![]() |
![]() |
![]() |
![]() |
![]() |
![]() |
![]() |
![]() |
![]() |
![]() |
Buccoversion of 2nd Bicuspid
When the 17-year-old woman returns for banding, she has no problem with extraction (Fig.1). Since UL5 is buccally displaced, it is extremely difficult to insert .012 niti wire into the 1st molar band when the lower tube slot is smaller (apparently .018 instead of .022, Fig.2). Do not remove the thin niti wire before the bicuspid is linguolized.
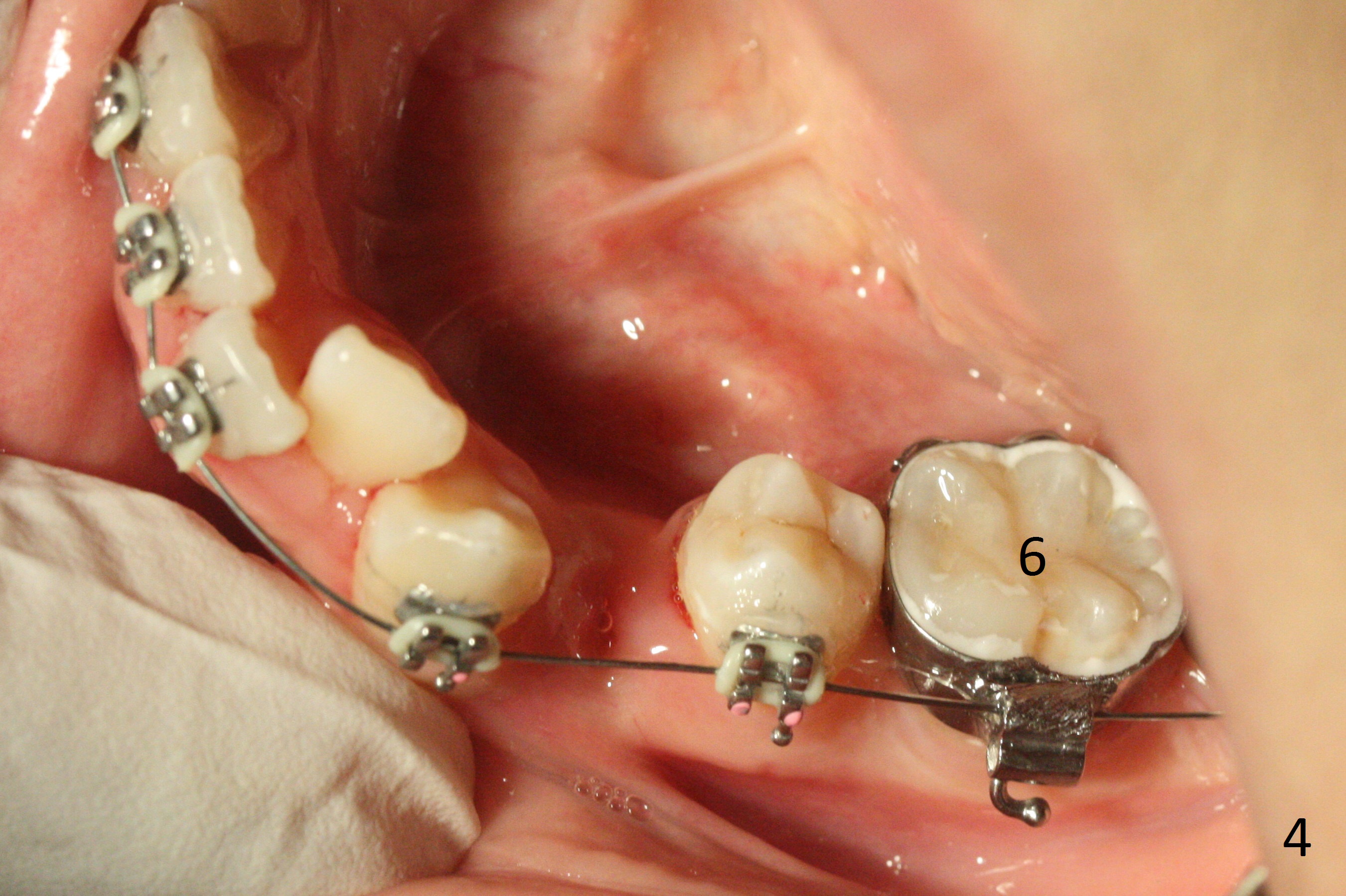
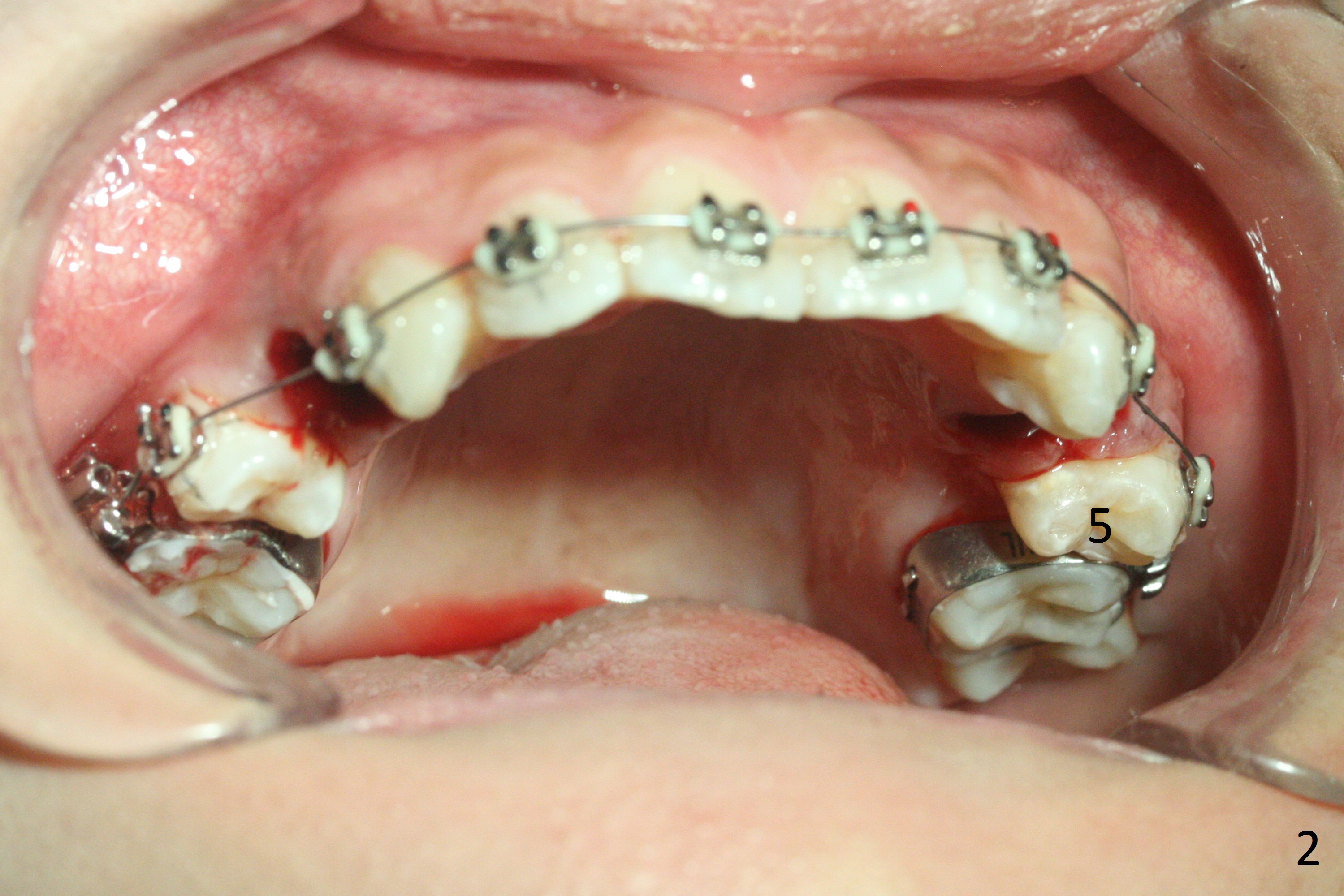
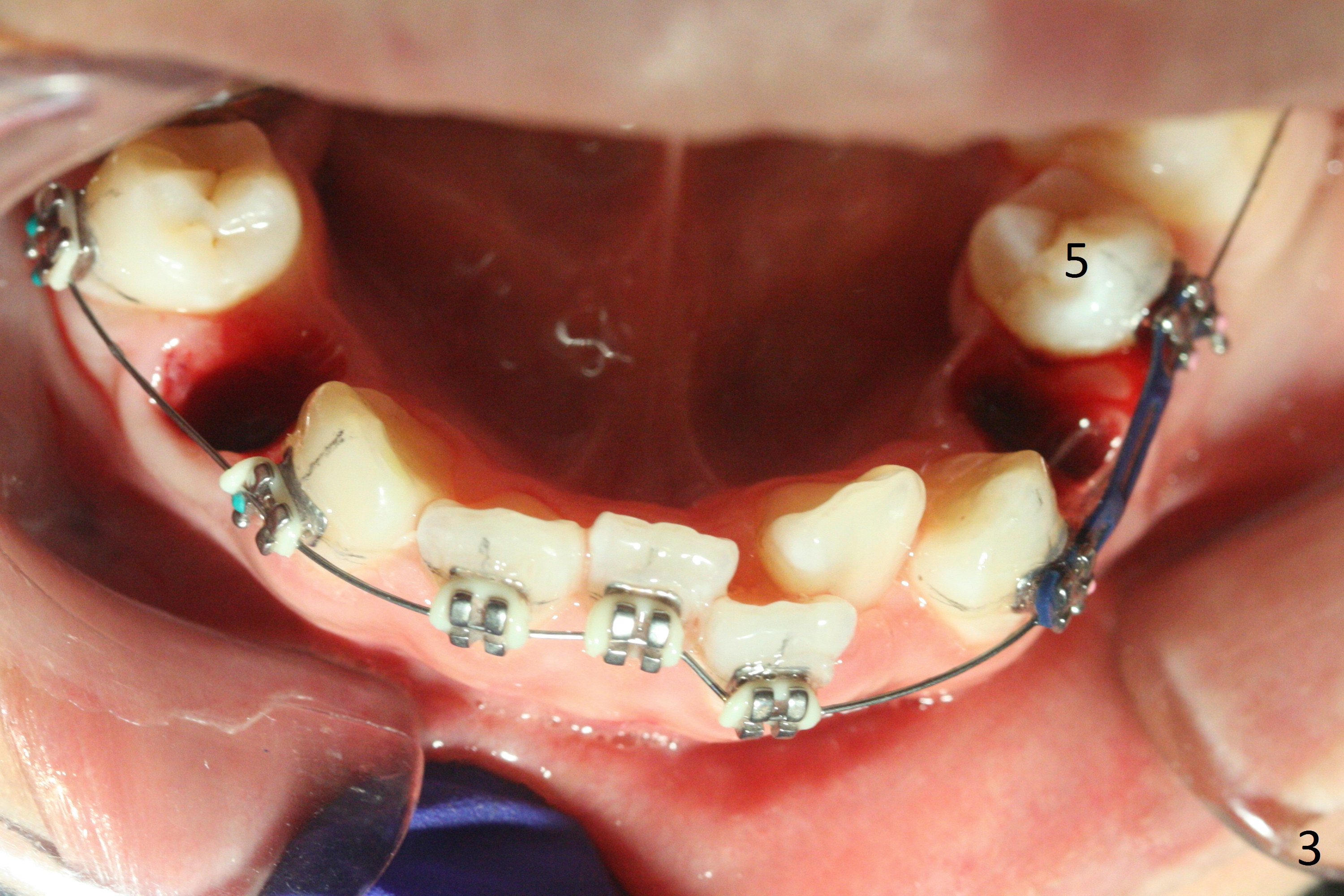
For the lower left quadrant, a band is placed at 7, but not at 6, since the space between 5 and 6 is not enough. A new separator is placed between 6 and 7, while power chains are placed between 3 and 5 (Fig.3). The patient will return for banding at 6 next week.
To tackle the 1st issue, there are 3 options. First, extract the 1st bicuspid in advance and let the 2nd bicuspid lingualize by itself. Second, simply extract the displaced 2nd bicuspid. Third, also place power chains between 3 and 5 after extraction of the 1st bicuspid.
Question: what do you expect to see in the lower left 2 weeks later?
In fact there is enough space for banding at LL6 with reuse of 12 niti (Fig.4). Anterior crowding improves 1 month post banding (Fig.5, as compared to Fig.1-3); there is no difficulty in place 14 niti wire between UL 5 and 6 (Fig.6, as compared to Fig.3), since UL5 has been lingualzied.
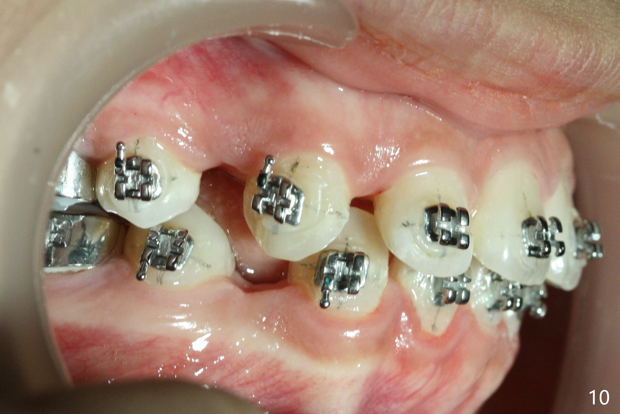
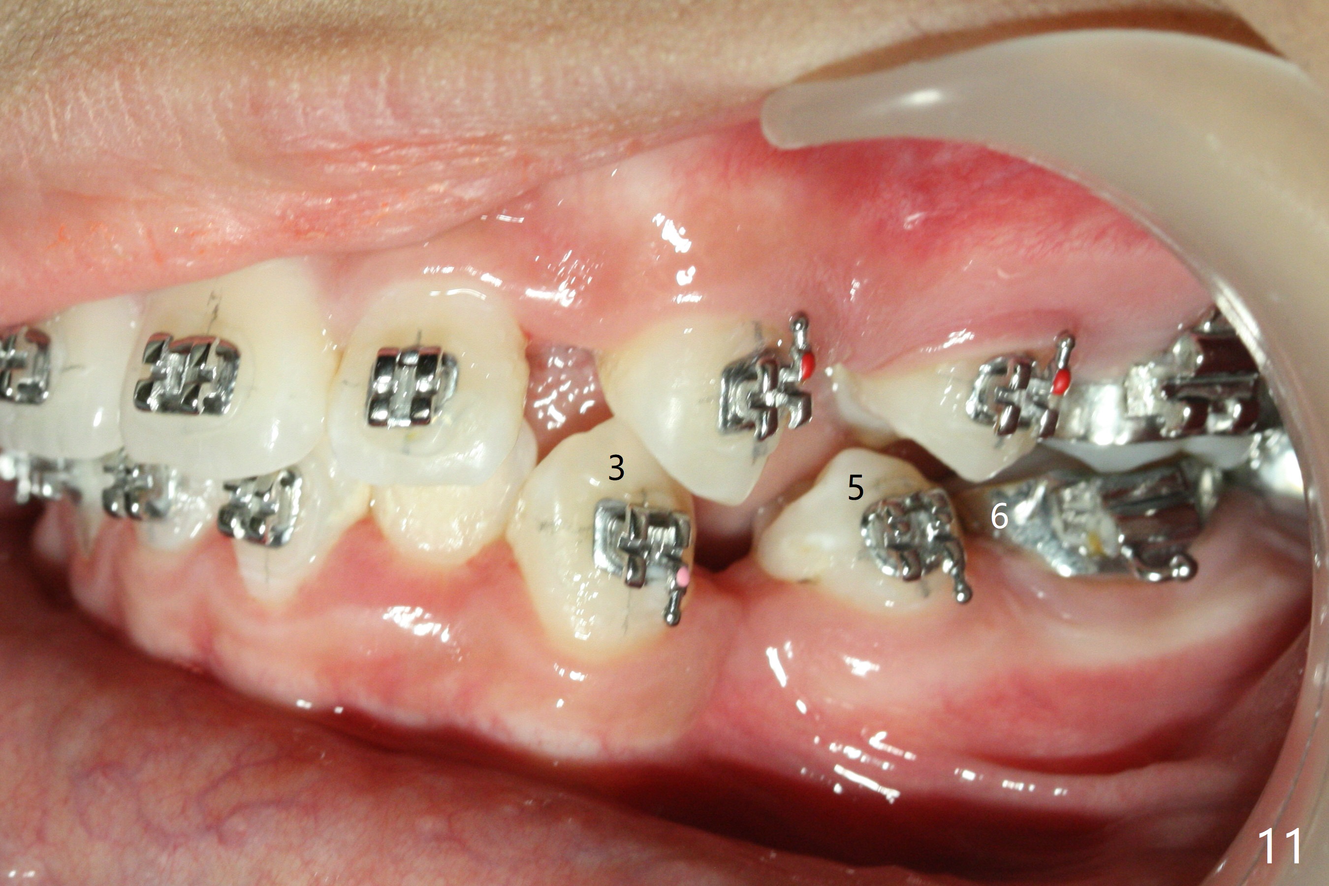
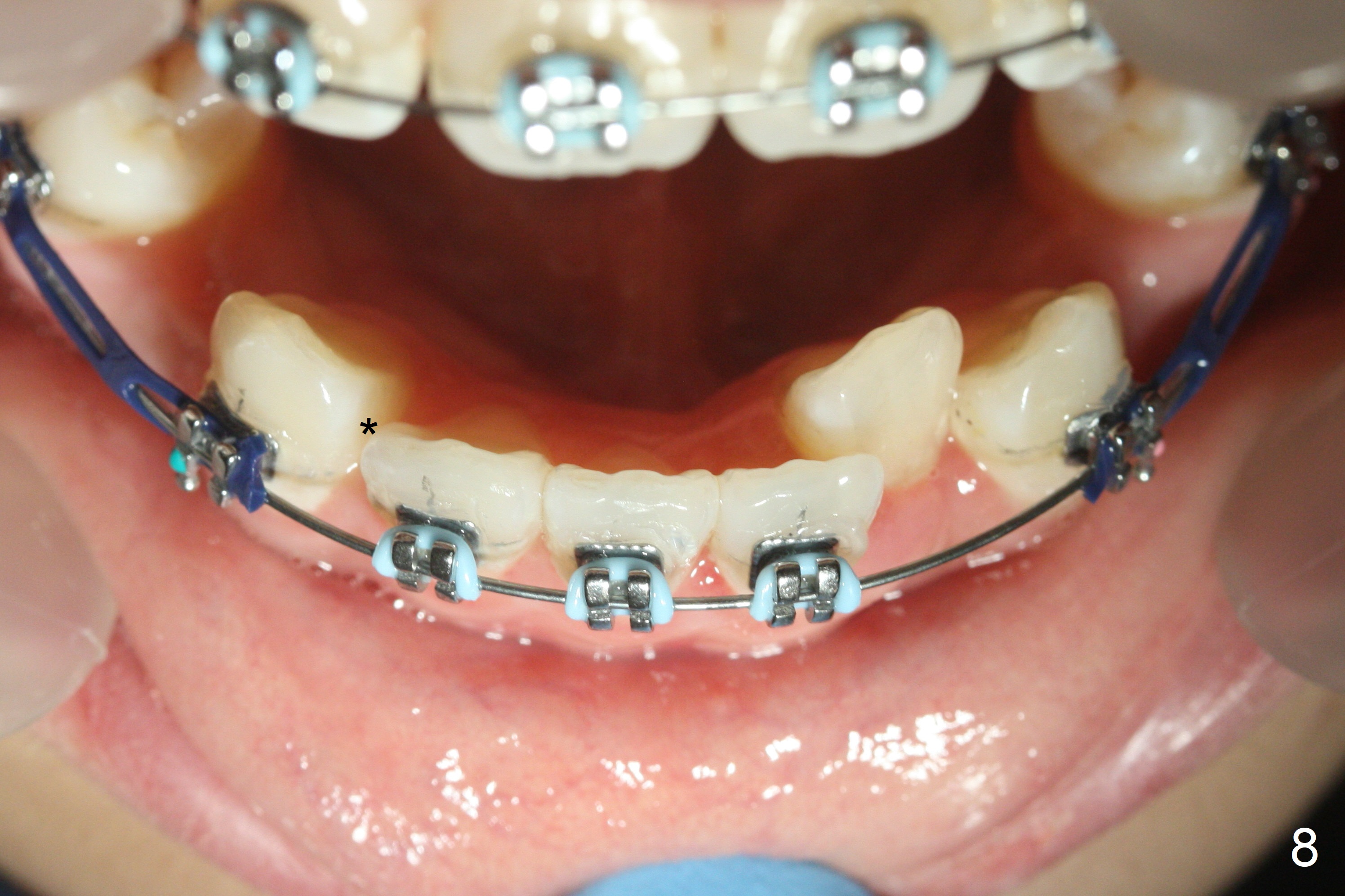
Nearly 3 months post extraction, UL 3 (Fig.7 arrow), LR 3 (Fig.8 *) and UR 3 have distalized by themselves. After changing 16 niti wires, power chains x 4 are placed between 3 and 6 (Fig.7,8) to lay foundation to reduce upper anterior overjet and lower crowding (including LL2 linguoversion). When the space between LR 2 and 3 increases (Fig. 8 *), it will be easy to shift the lower midline (Fig.5) to the right as an open coil spring will be placed between LL 1 and 3. Check the facial and dental midlines next visit before removing the wires.
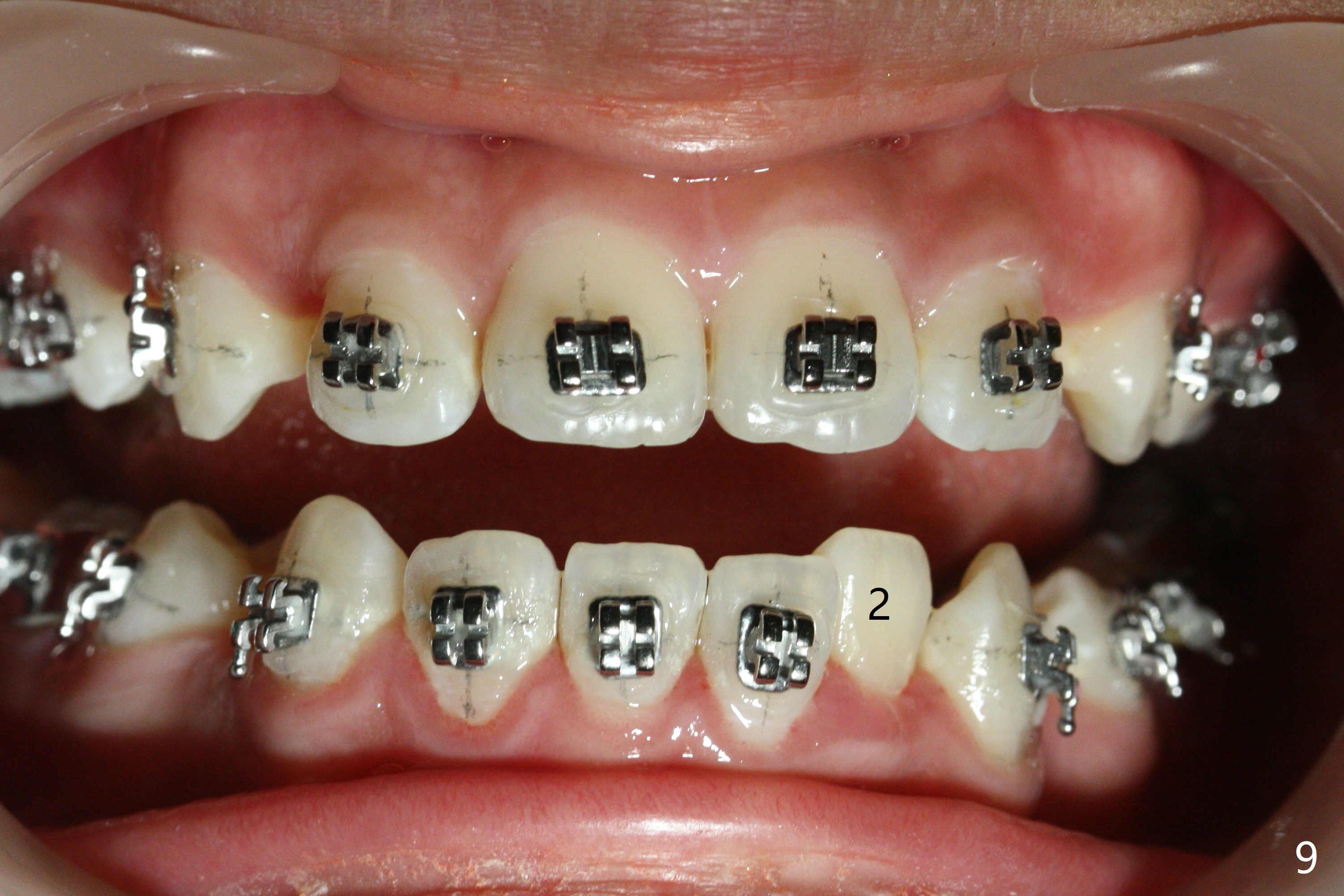
Due to moving out of state, the patient returns 2.5 months post last visit (5 months post banding). No sufficient space has been created for LL2 (Fig.9), while U3s have been distalized (quicker than the lower counterparts (because of soft bone)). The upper wire is changed to 18 niti without power chains, while the lower one remains 16 niti. Ligature wire is applied to LL5 and 6 as an anchor, while power chains of two are placed between LL3 and 5. Next visit add open coil spring between LL 1 and 3 for the lower midline correction as described above.
Return to
Ortho Cases
Xin Wei, DDS, PhD, MS 1st edition 04/26/2017, last revision 09/30/2017