![]() ![]() |
![]() |
![]() |
![]() |
![]() |
![]() |
![]() |
![]() |
![]() |
![]() |
![]() |
![]() |
Proximal Reduction If Needed
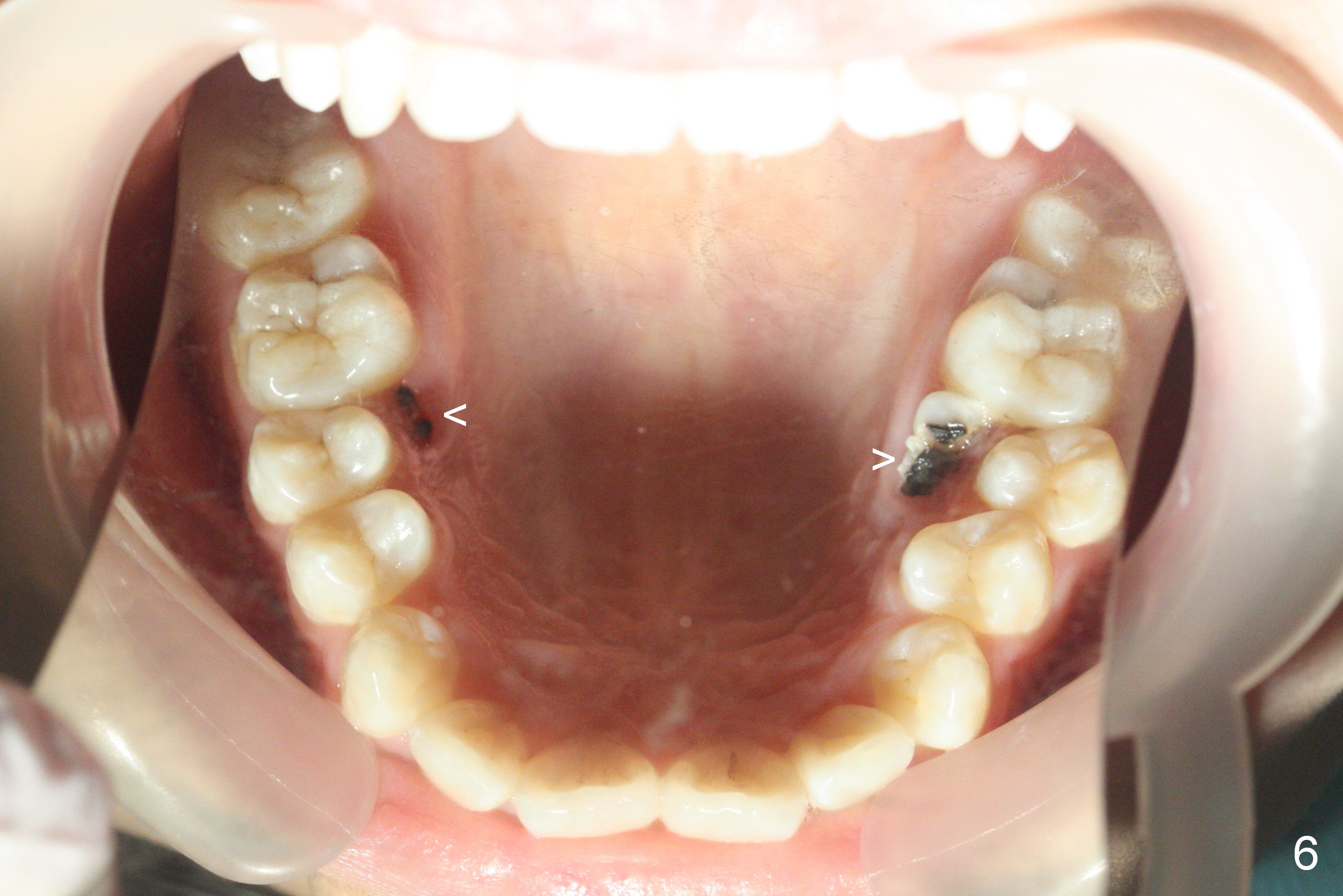
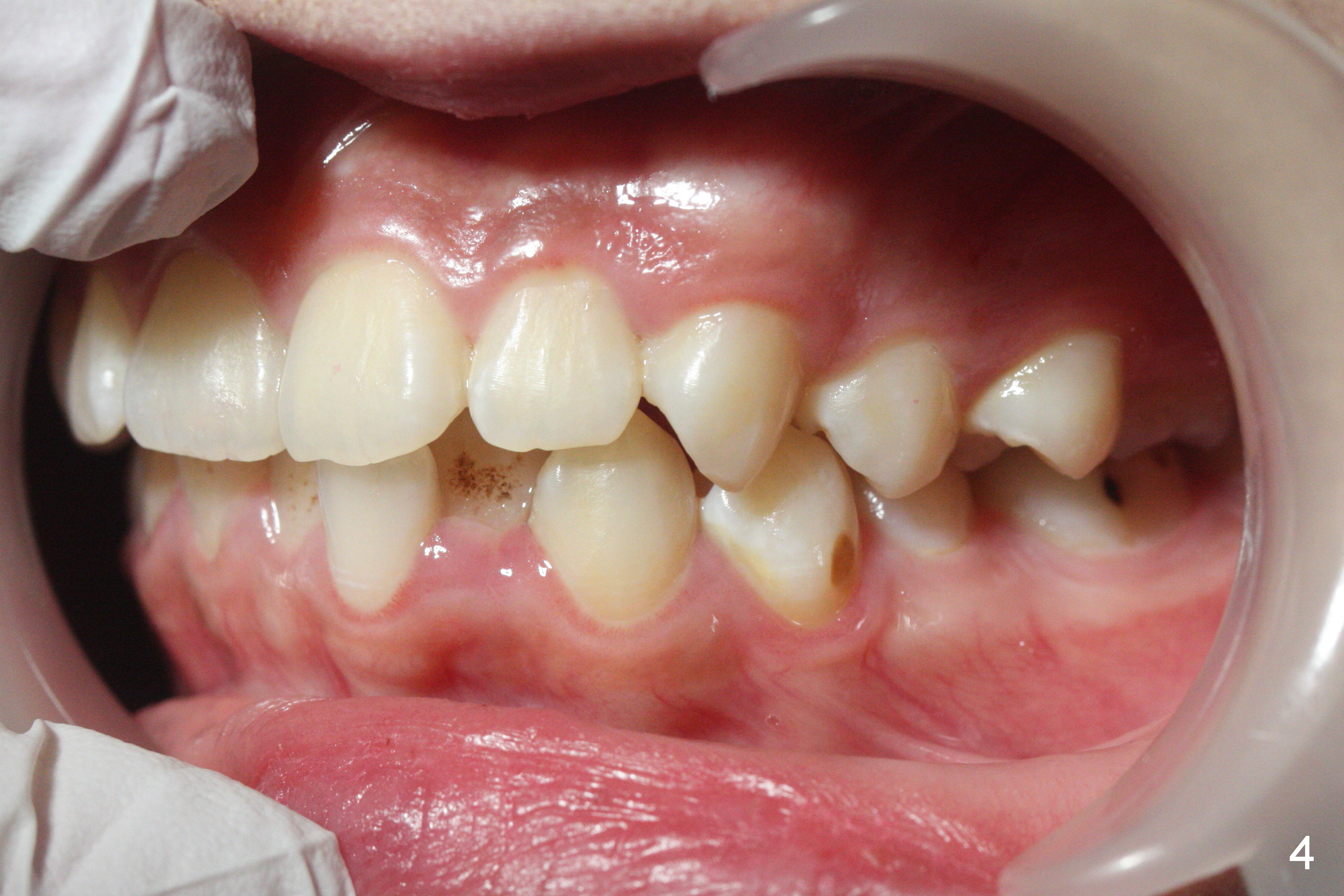
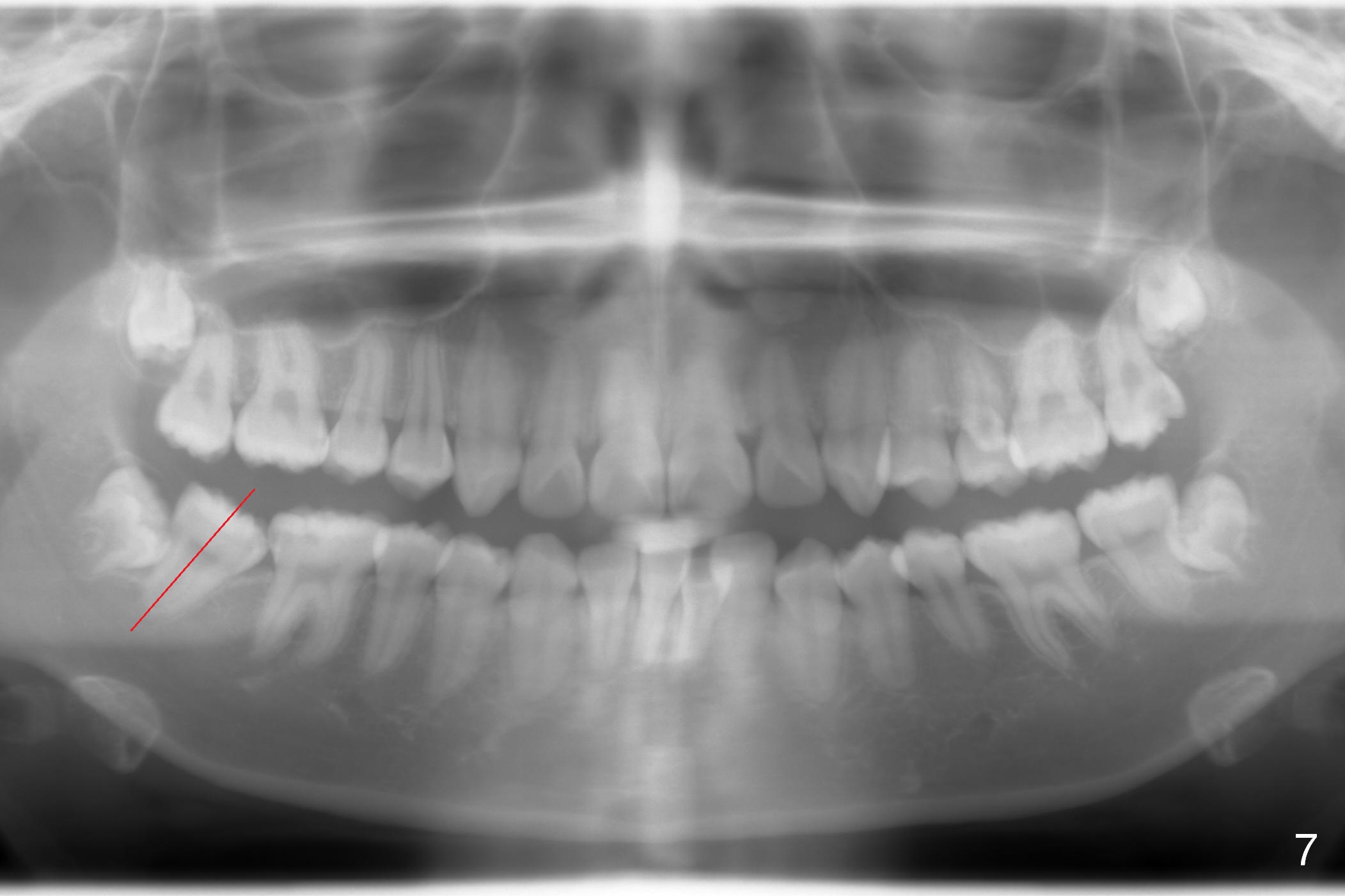
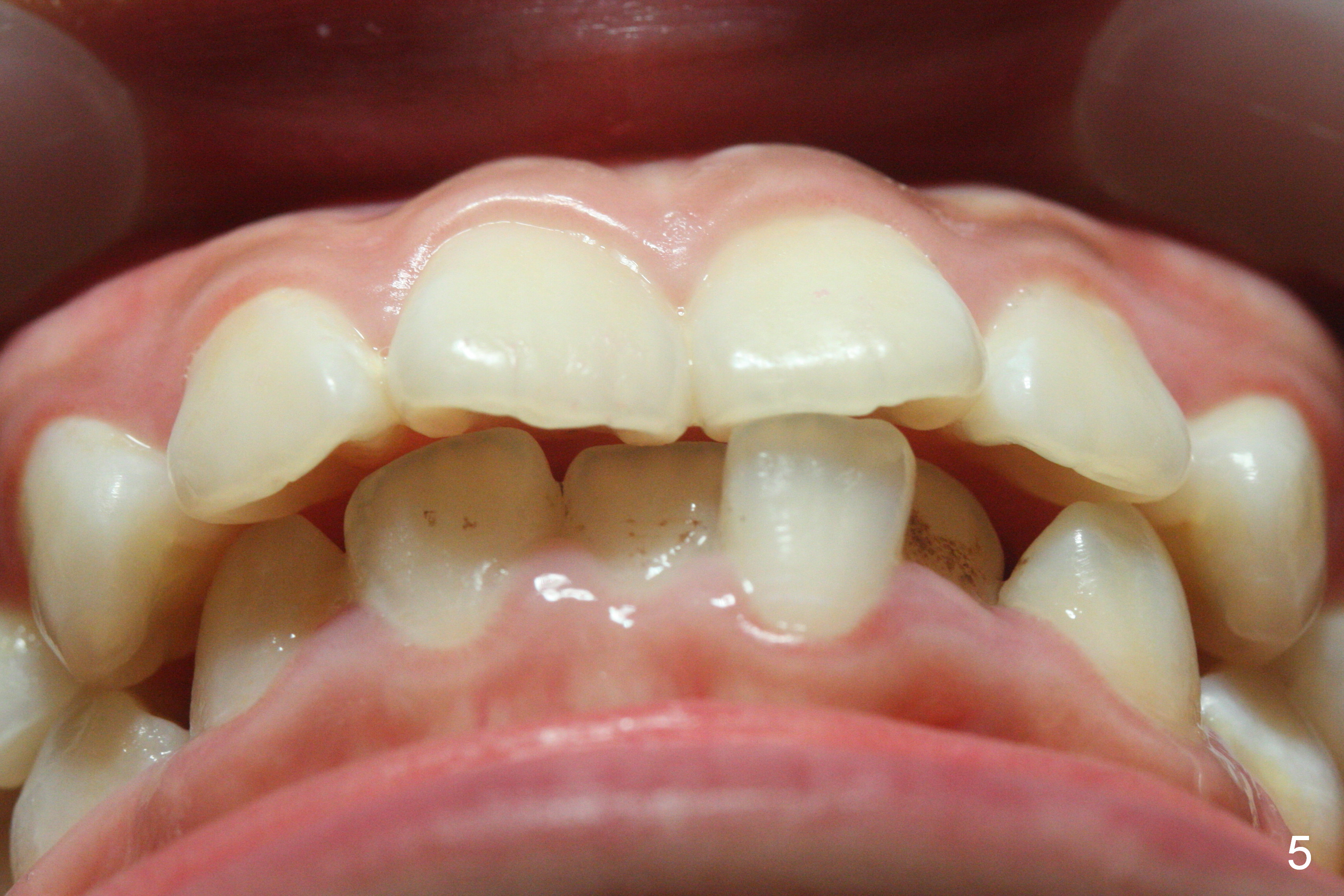
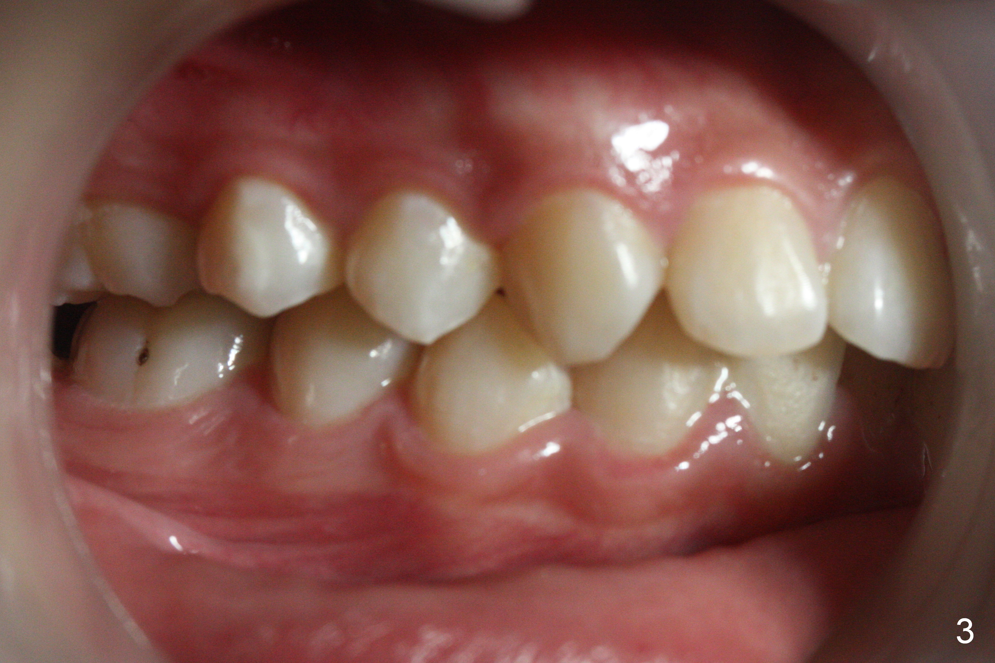
A 17-year-old woman will return for bracketing after caries control and deciduous tooth (Fig.6 arrowheads) extraction. Her profile is slightly protrusive (Fig.1,2). Crowding is more severe in the left posterior region (Fig.4) than the right one (Fig.3). The anterior crowding is also severe (Fig.5). Proximal reduction and use of power chain for constriction will be used instead of extraction of 4 bicuspids. Third molar extraction may have to be done prior to banding, especially for the lower right 2nd molar (Fig.7).
By looking at preop models (Fig.8-13), do you think whether extraction is a better option than non-extraction? Class II occlusion on the right (Fig.8), Class I on the left (Fig.10). With extraction of the 1st bicuspids, the posterior occlusion could be normal with further anterior protrusion (Fig.11). The upper arch is rounded (Fig.12); without extraction, the arch may turn out to be U-shaped. The lower arch is more crowded (Fig.13). Without space, the lower right 2nd molar may not be uprighted (Fig.7).
Return to
Ortho Cases
Buccoversion
Xin Wei, DDS, PhD, MS 1st edition 02/06/2017, last revision 04/26/2017