![]() |
![]() |
![]() |
|
![]() |
![]() |
![]() |
|
拔牙矫正决定需要CT?
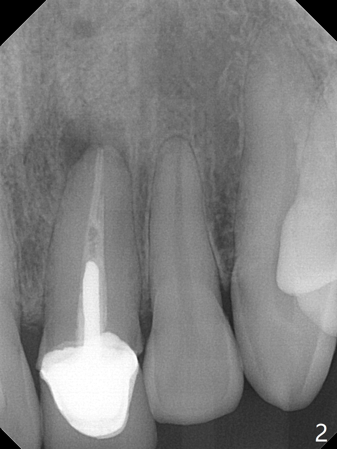
42岁男,小的时候做过矫正,据说智齿萌出后,畸形复发(图一至三)。临床检查显示:上前牙前突,下门牙拥挤,磨牙二类咬合。头颅侧位定位片证明Class II Division I Malocclusion (图四至六):SNA 84.63, SNB 76.11, ANB 8.52。 下周病人复诊,将拍摄照片,取模。正在考虑是否需要拍摄CT,排除上,下切牙是否位于牙槽骨唇侧,有利于做出拔牙决定。
Return to
Ortho Cases
Xin Wei,
DDS, PhD, MS 1st edition 04/15/2021, last revision
04/25/2021