![]() |
![]() |
![]() |
![]() |
![]() |
![]() |
![]() |
|
照相
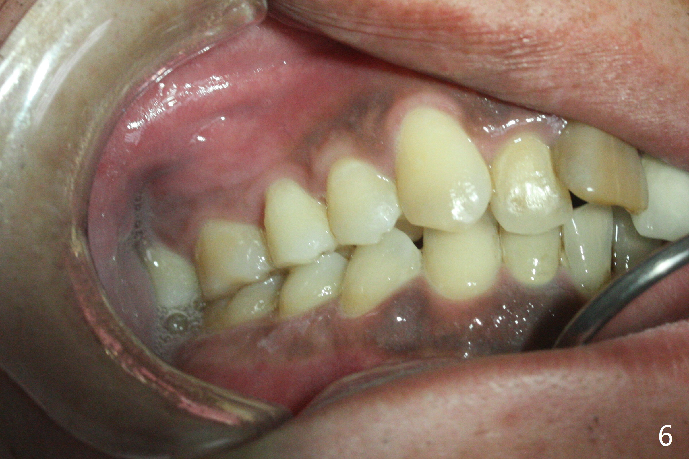
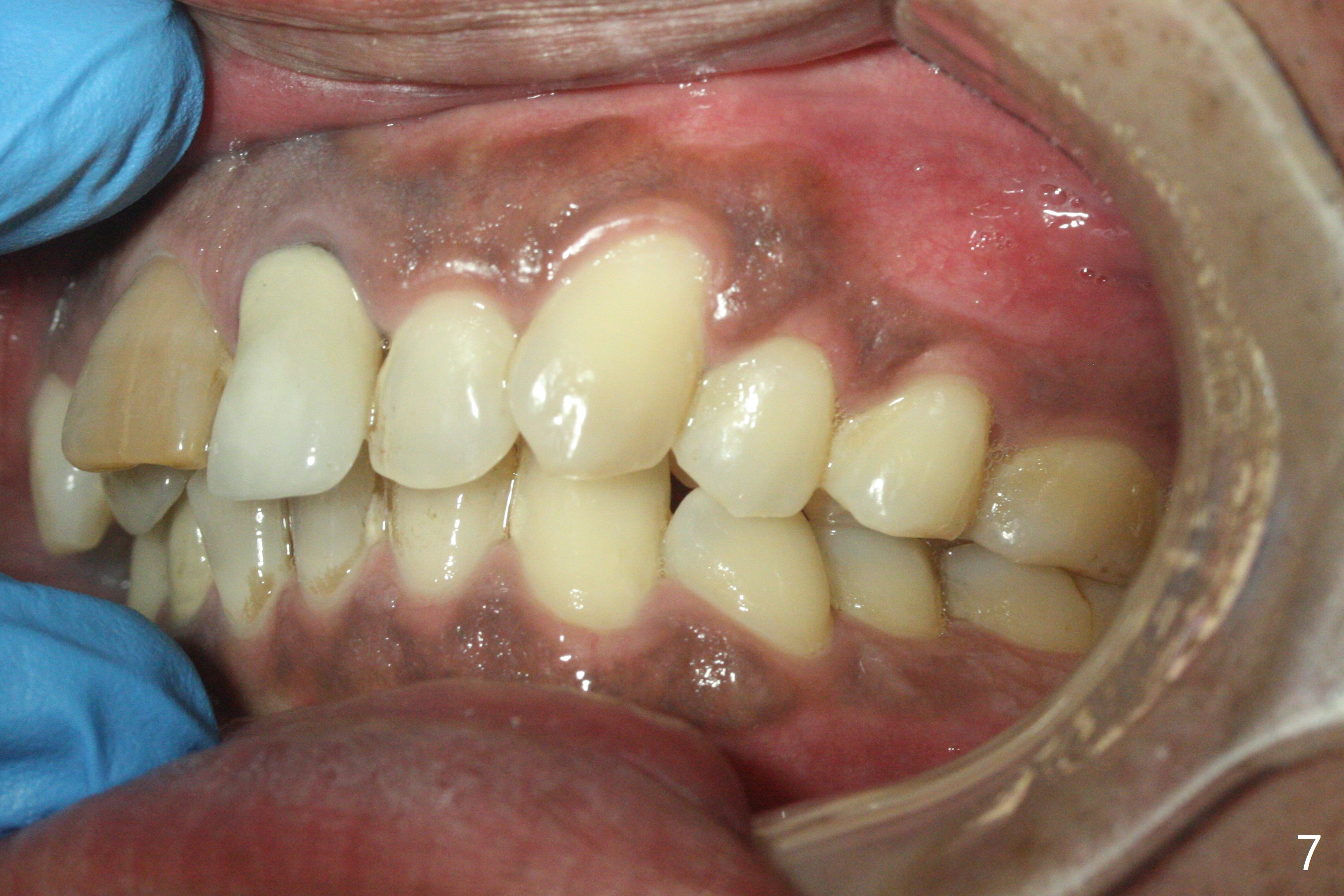
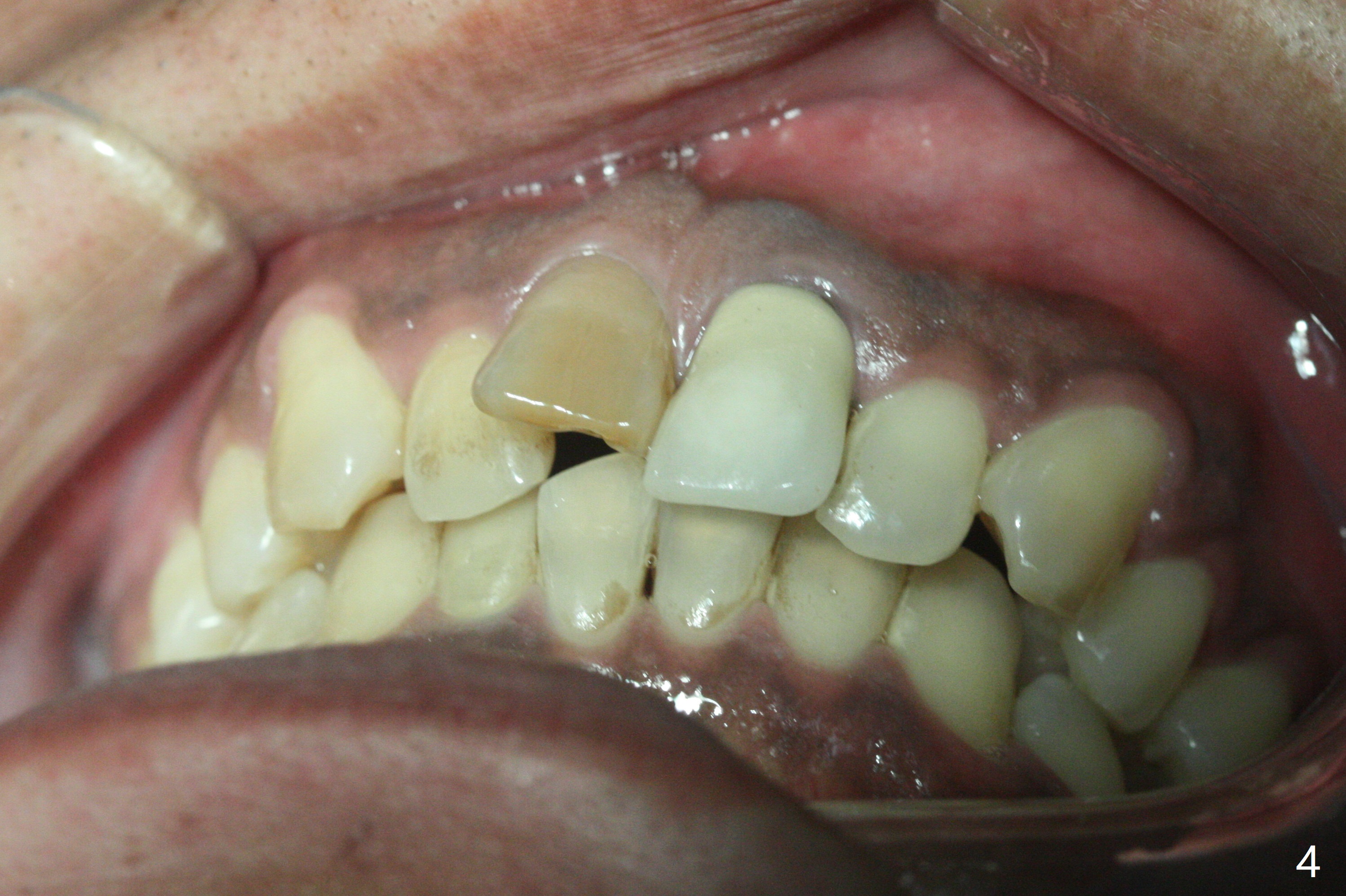
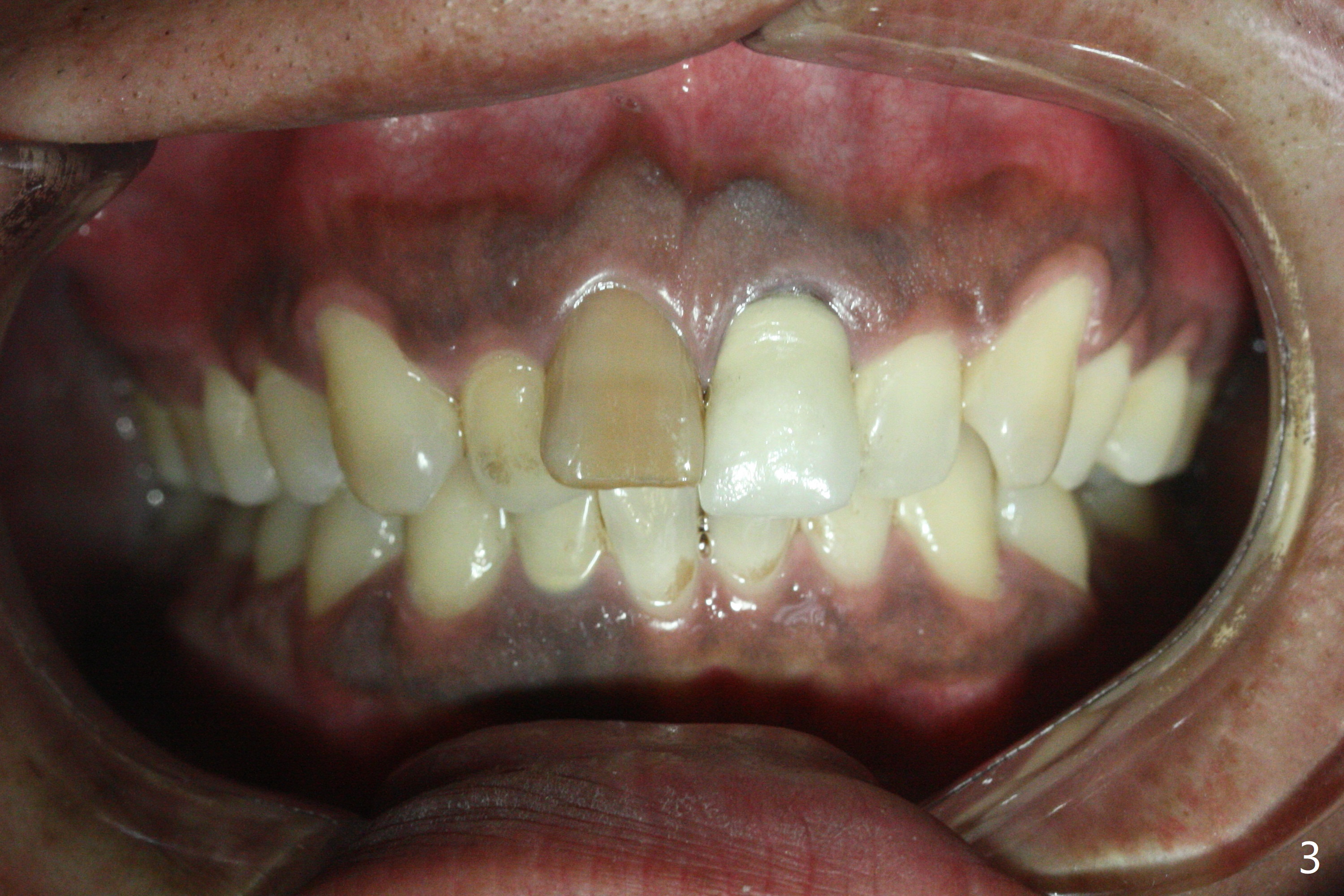
Class II半个牙。这个不用拔牙,Molar distalizaton 和expansion 就可以解决。Oral scan and submit it to Unismile. 建模后。我来帮您设计。张。两个中切牙,位置可以不用排得太完美。排到半程的位置,然后用重做的牙冠来调齐。这样,能减少一些复发的势能。Harry Hu
Return to
Ortho Cases
Xin Wei,
DDS, PhD, MS 1st edition 04/22/2021, last revision
04/25/2021