![]() |
![]() |
![]() |
![]() |
![]() |
![]() |
![]() |
![]() |
![]() |
![]() |
![]() |
![]() |
Ortho for Periodontitis
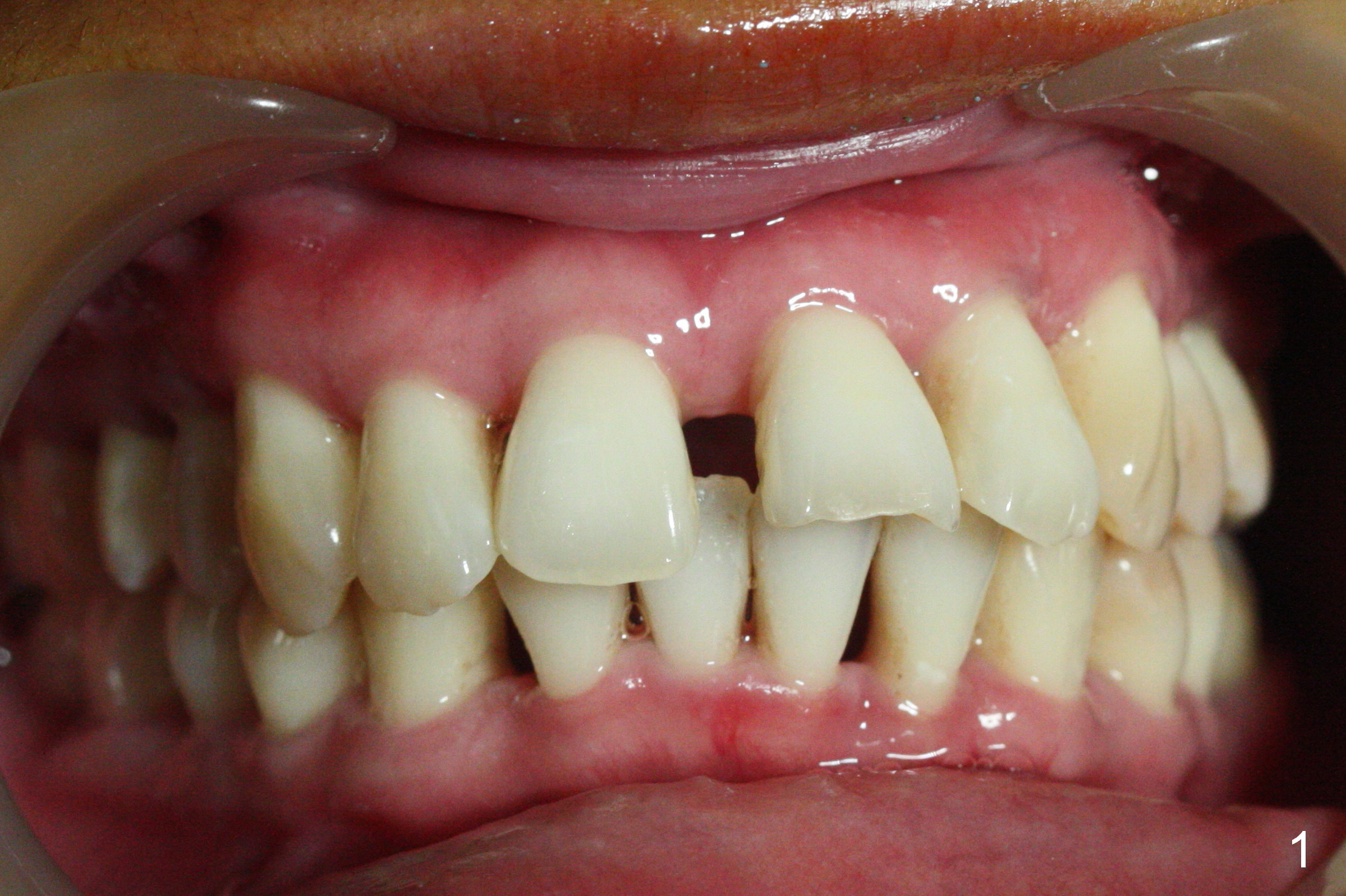
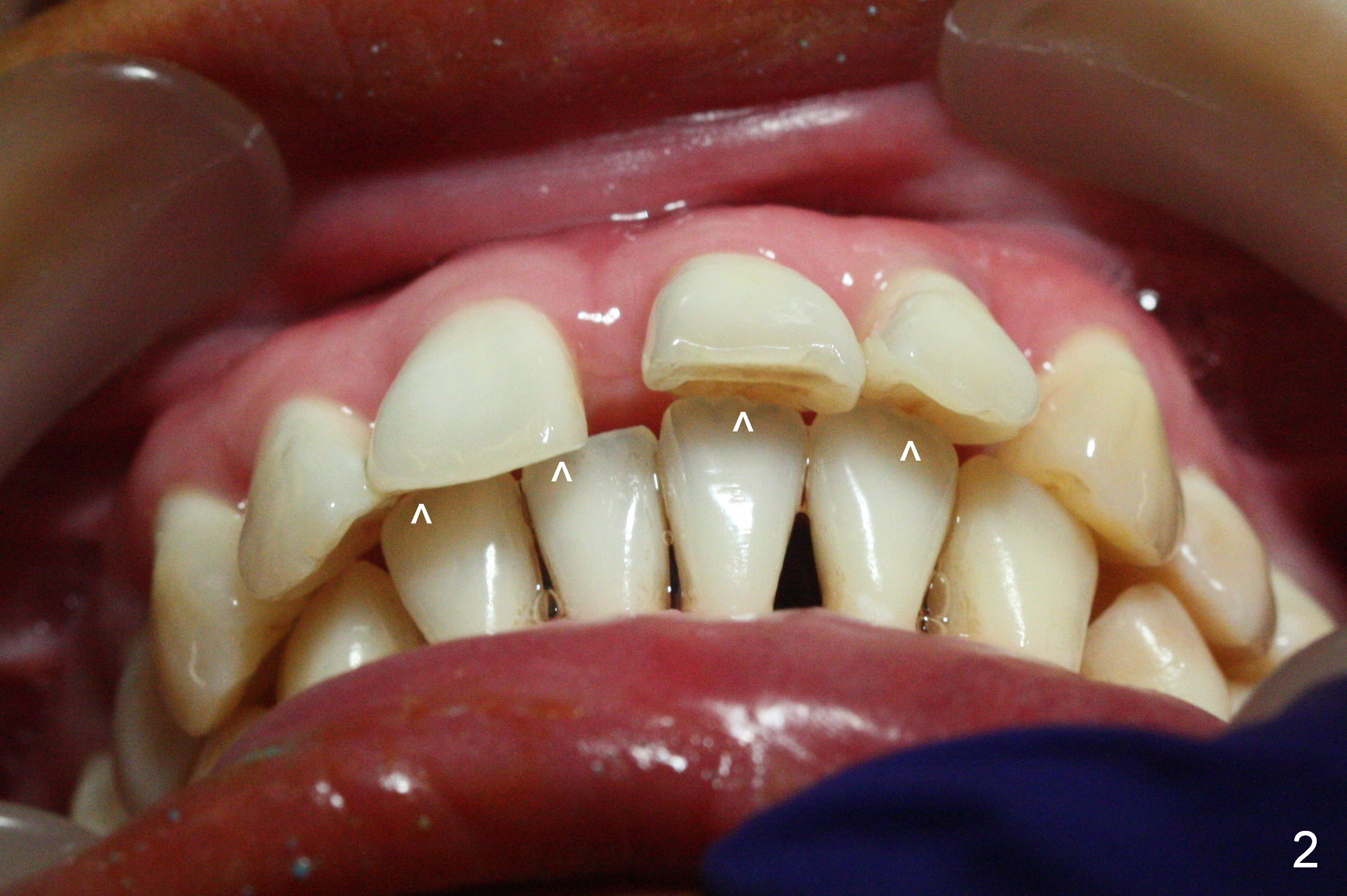
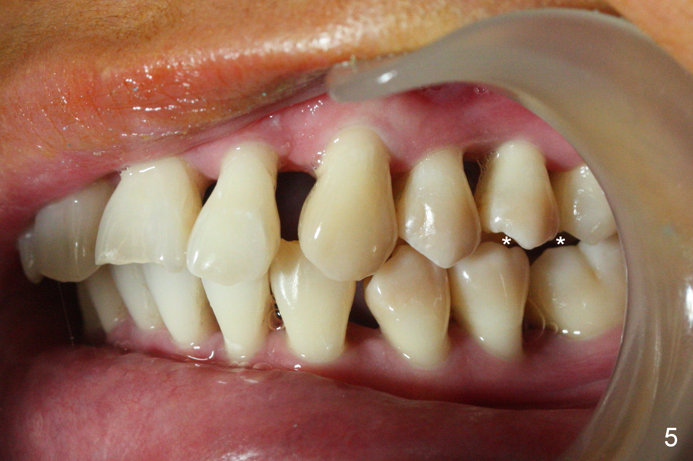
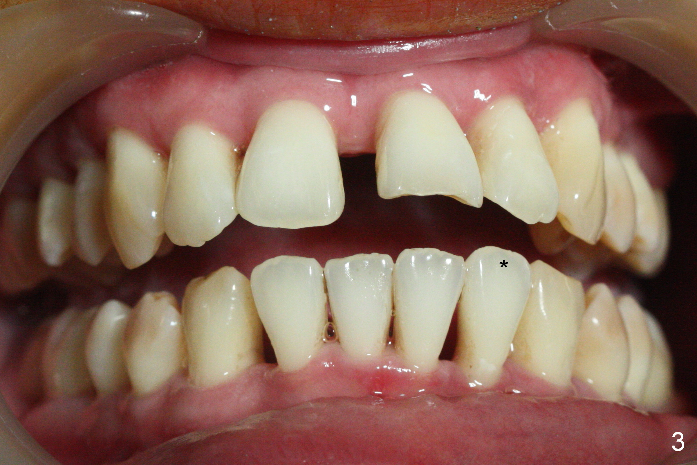
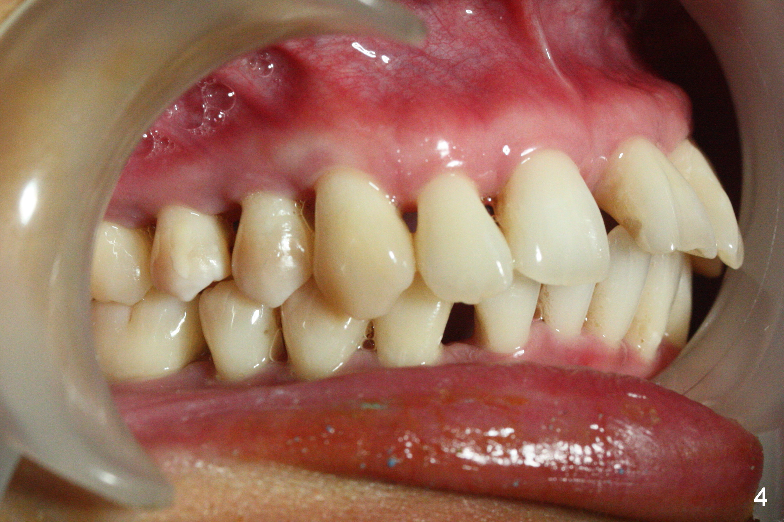
Orthodontic treatment is usually contraindicated for chronic periodontitis. Anterior tooth flaring of the 32-year-old lady (Fig.1) is also associated with excessive over bite and over jet (Fig.2) and supraeruption of the lower incisors, particularly LL2 (Fig.3 *). Differential bracketing should resolve the occlusal trauma (Fig.2 arrowheads). The oral hygiene of this patient is pristine. Even though orthodontic treatment may worsen the bone loss, normal alignment of the dentition will make implant placement easier and more cosmetic. The poor interdigitation on the left (Fig.5 *) should improve as well as that on the right (Fig.4). Model surgery will demonstrate the feasibility of the orthodontic treatment (Fig.6,7 (preop)). Intrusion of the lower anterior teeth (Fig.8 arrows) creates room (Fig.9) to lingualize the upper anteriors (Fig.10-12).
Return to
Ortho Cases,
IBS
Xin Wei, DDS, PhD, MS 1st edition 01/22/2017, last revision 03/05/2017