![]() |
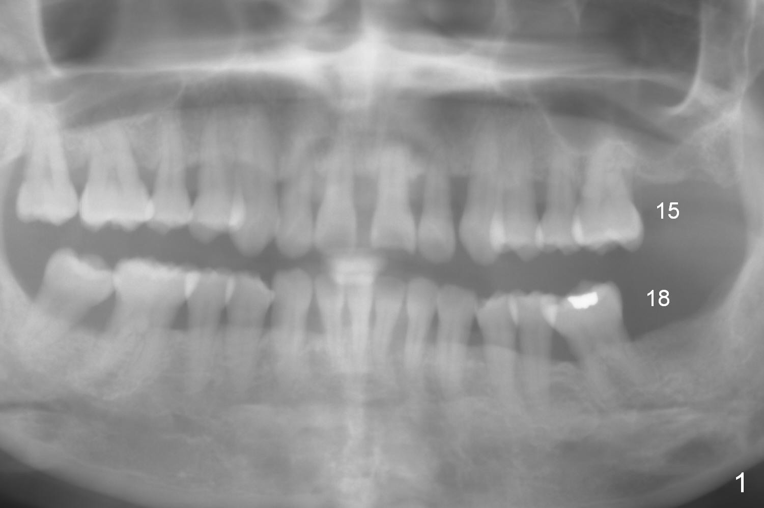
Implants Keep Posterior Vertical Height A 32-year-old woman is concerned about her upper anterior tooth flaring (Fig.1). She is eager for periodontal treatment. She masticates on the right side. The teeth #15 and 18 were extracted ~ 1 year ago. To lessen anterior flaring (take photos when she returns), implants are going to be placed at these sites (Fig.2,3). IBS and Magic Sinus Lift Kits will be used for #15. Magic Split gains access for 5 mm deep (gingival level), followed by ME 3 mm and next ME for 5 mm and Sinus lifter for 9 mm (bone level 7 mm, CMC). Or use the 4.3 mm drill from Magic Sinus Lift Kit for 5 mm, followed by Sinus Lifter for 9 mm. Insert PRF plugs into the sinus, followed by allograft (.5-1.0 mm) with Osteogen. If implant stability is low, place a healing abutment or screw. For #18 implant placement, palpate the ridge to determine the width. Trim the ridge if it is pointed. Also use Magic split for access and bone density testing. Either BEB or PBR will be adopted. The patient is interested in orthodontic treatment. Take Alginate impression and facial photos. Return to Upper Lower Molar Immediate Implant, IBS Xin Wei, DDS, PhD, MS 1st edition 11/15/2016, last revision 01/22/2017 |
|
![]() |
![]() |
|