![]() |
![]() |
![]() |
![]() |
![]() |
![]() |
![]() |
![]() |
![]() |
![]() |
LR5 Rotates
The lower right 2nd bicuspid of a 10-year-old woman seems to rotate before eruption (Fig.1: 5) and remains so when it erupts (Fig.2, at the age of 12).
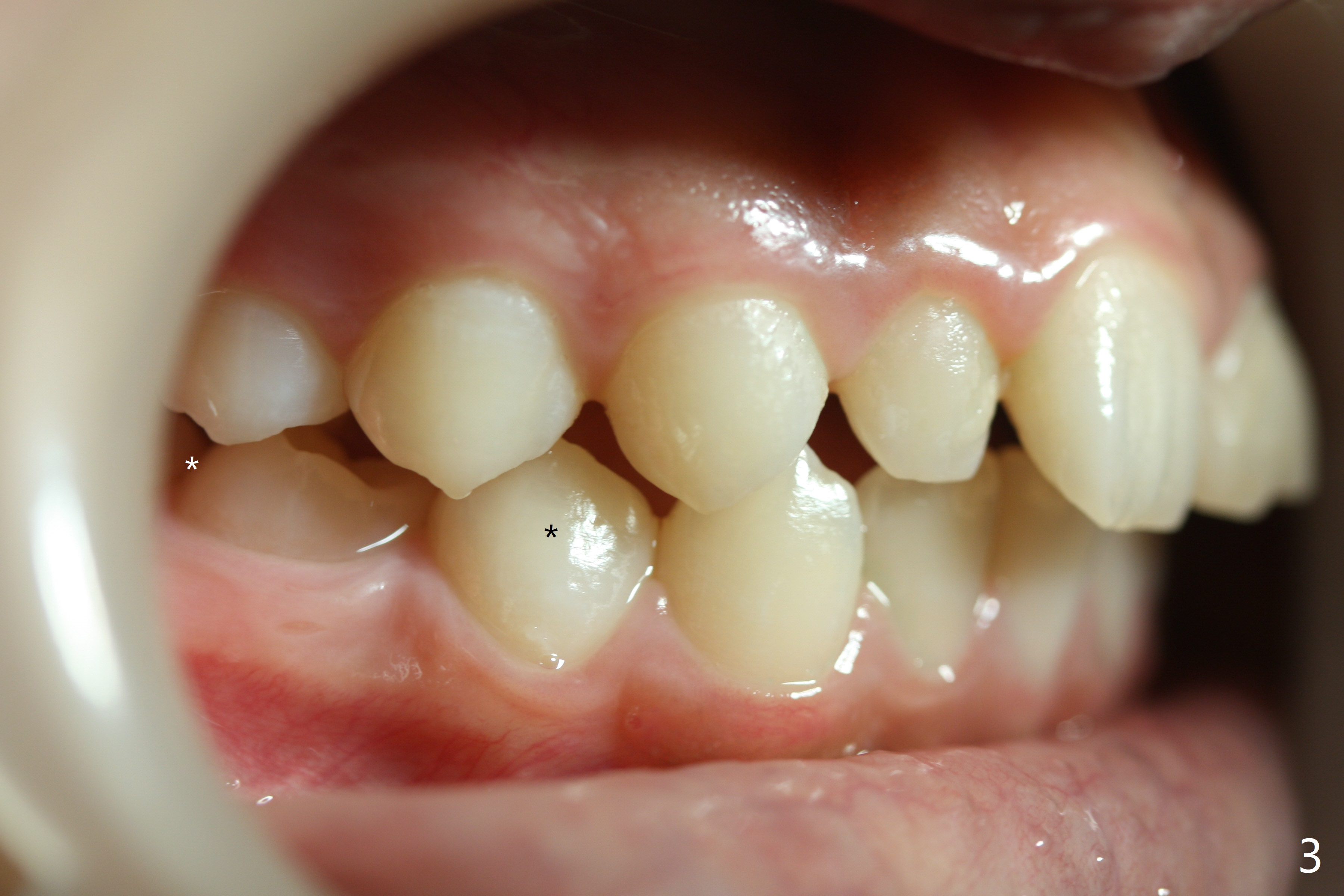
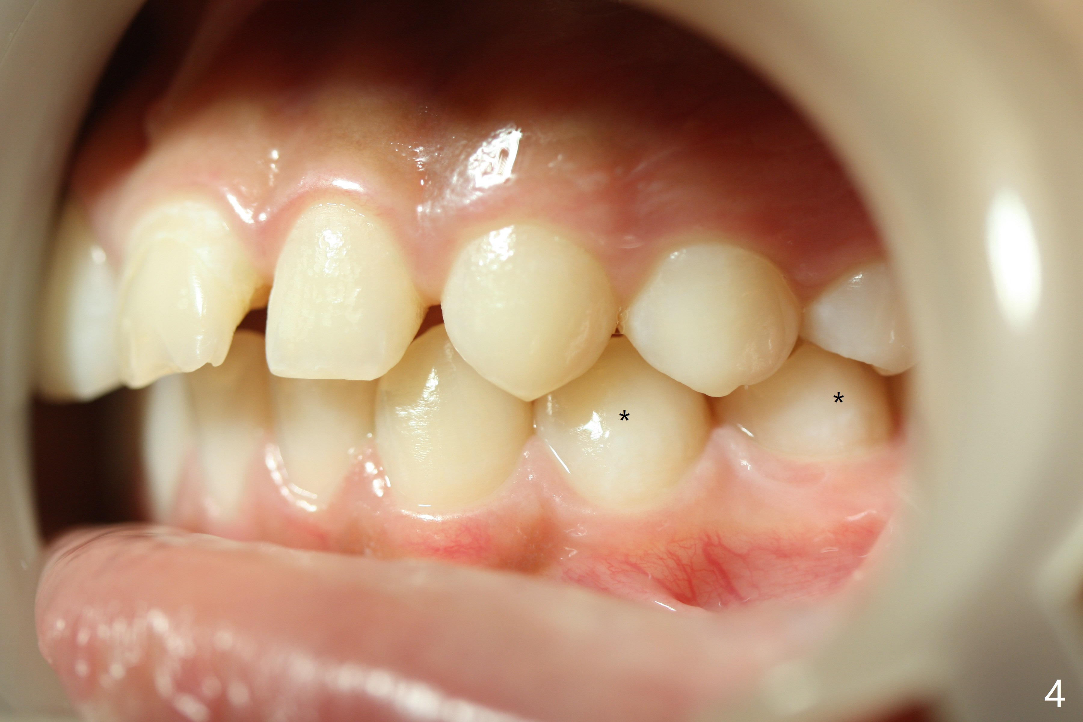
LR5 rotation appears to be associated with poor interdigitation on the right side (Fig.3), as compared to the left (Fig.4). * in Fig.3-6 indicates height of contour of a lower bicuspid, where a bracket should be placed.
After banding, power chains of 3 are immediately placed between LR3-5 to facilitate de-rotation (data not shown). It appears that lingual buttons are not essential in de-rotation. Bracket clearance has been checked carefully to prevent de-bracketing. LR4 does not de-rotate much with buccal power chain 4 weeks post banding; a lingual button is placed with power chains (x3, Fig.7) while 14 niti wire is reused.
Nearly 6 months post banding (16x16 wires), LR5 has been overcorrected, while the upper dental midline appears to shift to the right (Fig.8). UL2 is going to be distalized (Fig.9). One months later, UL1 is to be distalized. Next appointment, check molar occlusion before any procedure. Panoramic X-ray taken 6 months post debanding shows no rotation at LR5 (Fig.10).
Return to
Ortho Cases
Porcelain Veneers
Xin Wei, DDS, PhD, MS 1st edition 09/28/2017, last revision 10/26/2019