![]() |
![]() |
![]() |
|
![]() |
![]() |
||
![]() |
![]() |
||
Simple Ortho
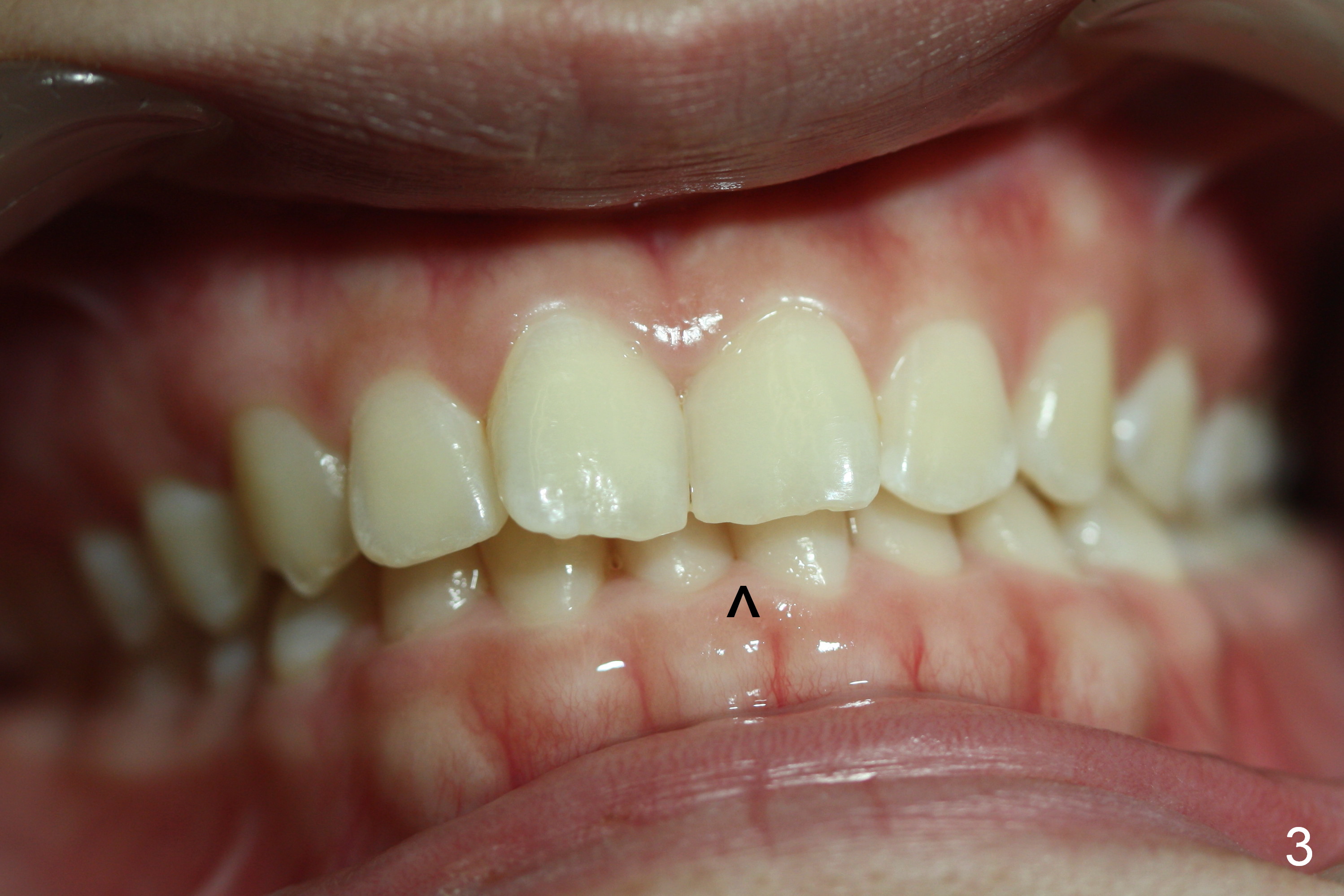
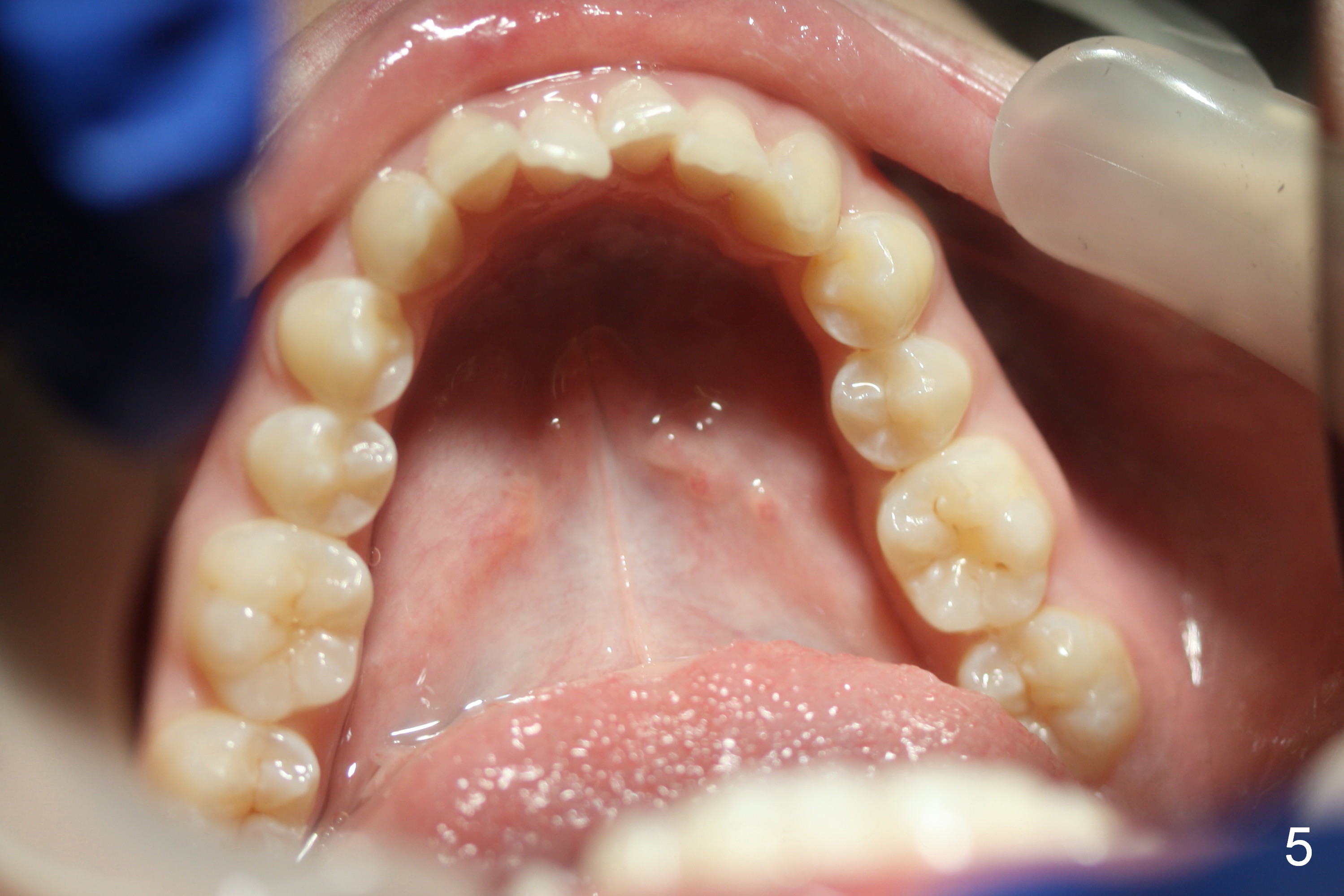
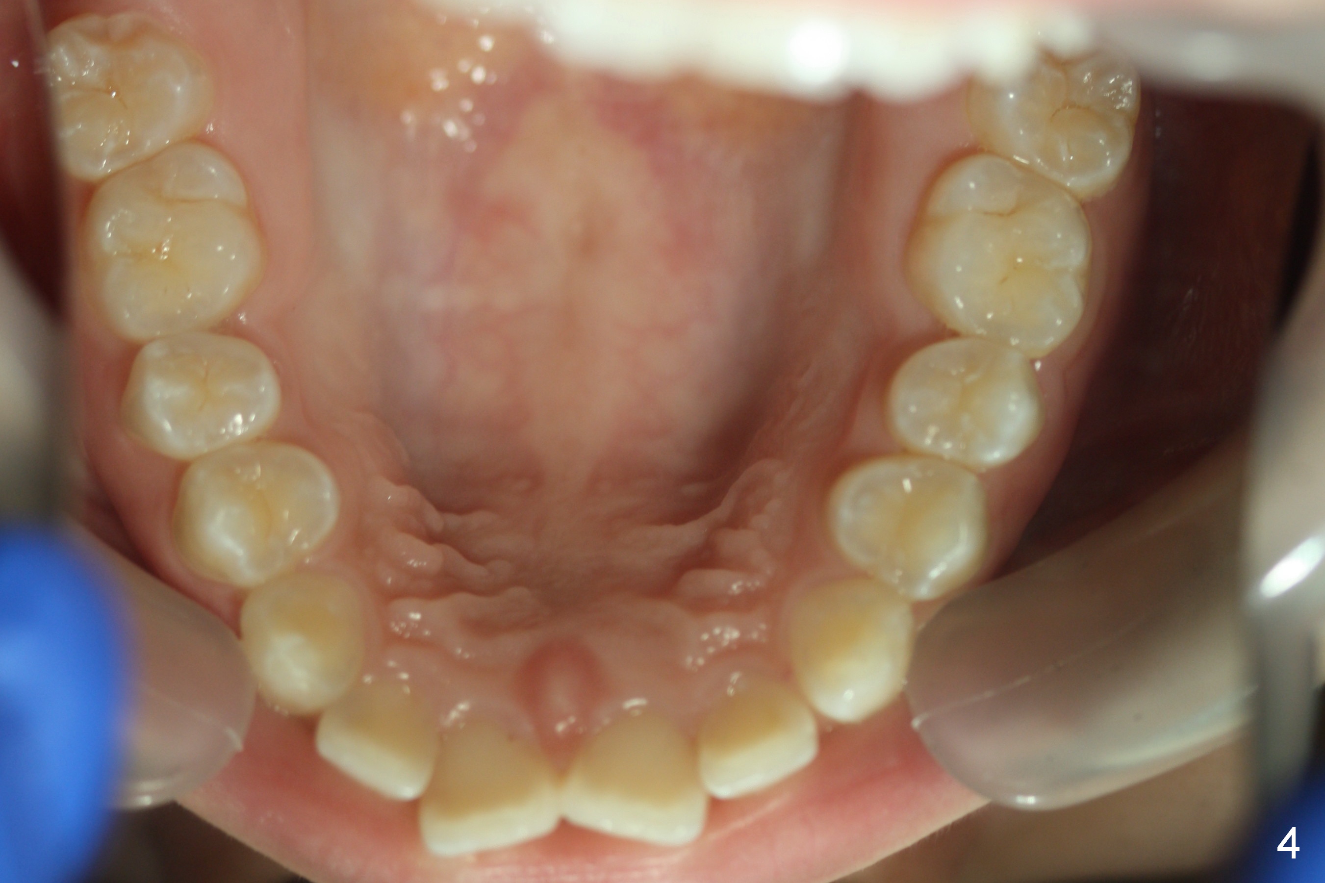
A 16-year-old girl wants to correct anterior crowding. The deviated chin (Fig.1 *) and the lower dental midline (Fig.3 ^) do not appear to get worse in the last few years. The arches look constricted (Fig.4,5). Arch sequence should be able to round them up effectively. The molars and Canine are in Class I occlusion (Fig.6,7). There is no need to place 2nd molar bands. The first wires will be .014 niti or .0175 twisted. Place rotation wedges on the upper and lower central incisors (distal wing). Arrange every 3 week appointment. Her oral hygiene is excellent and should follow elastic instruction faithfully if necessary. The case should be finished within 9 months.
Return to Ortho Cases
Xin Wei, DDS, PhD, MS 1st edition 08/29/2015, last revision 08/30/2015