![]() |
![]() |
![]() |
|
![]() |
![]() |
![]() |
![]() |
Ortho for Future Implant
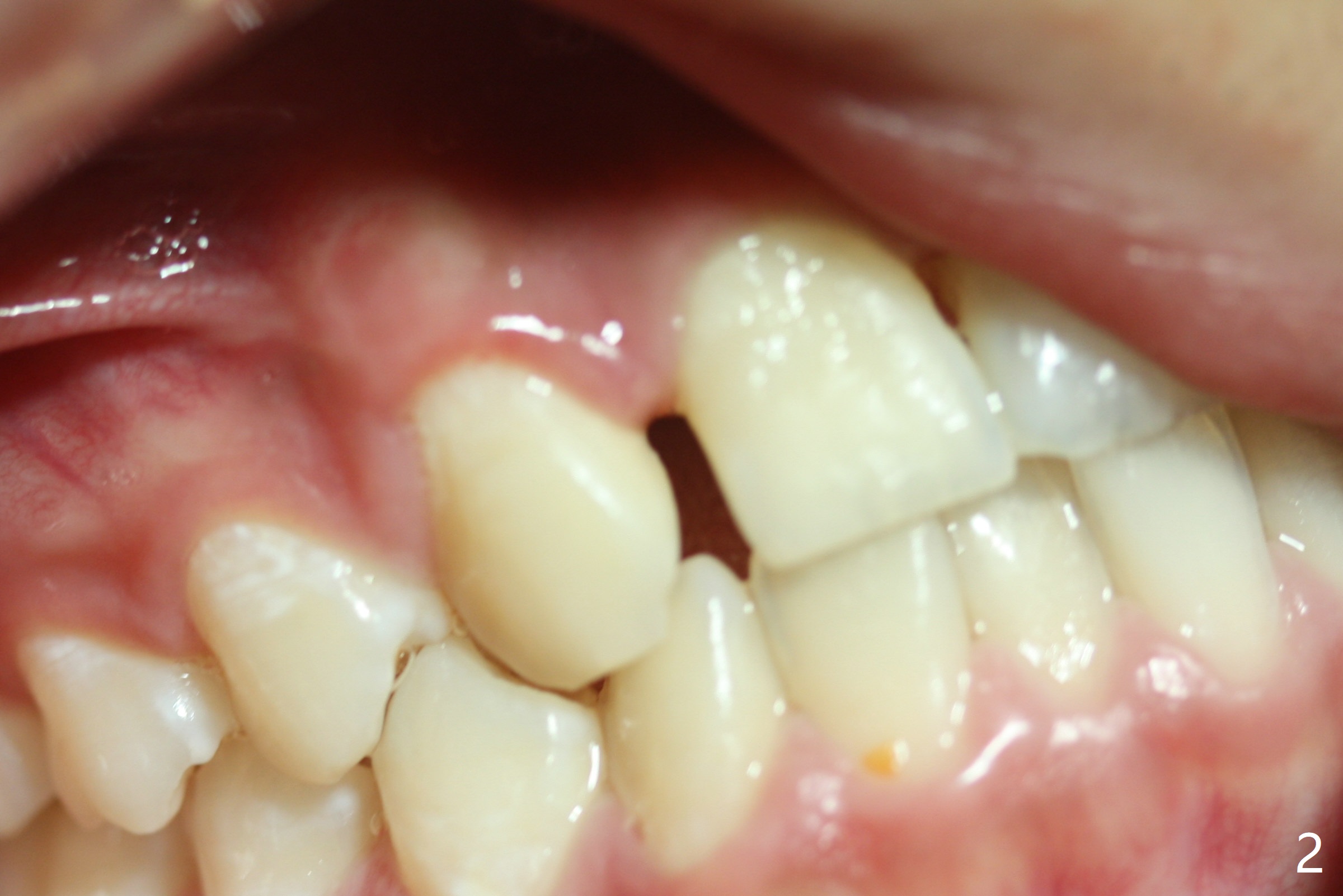
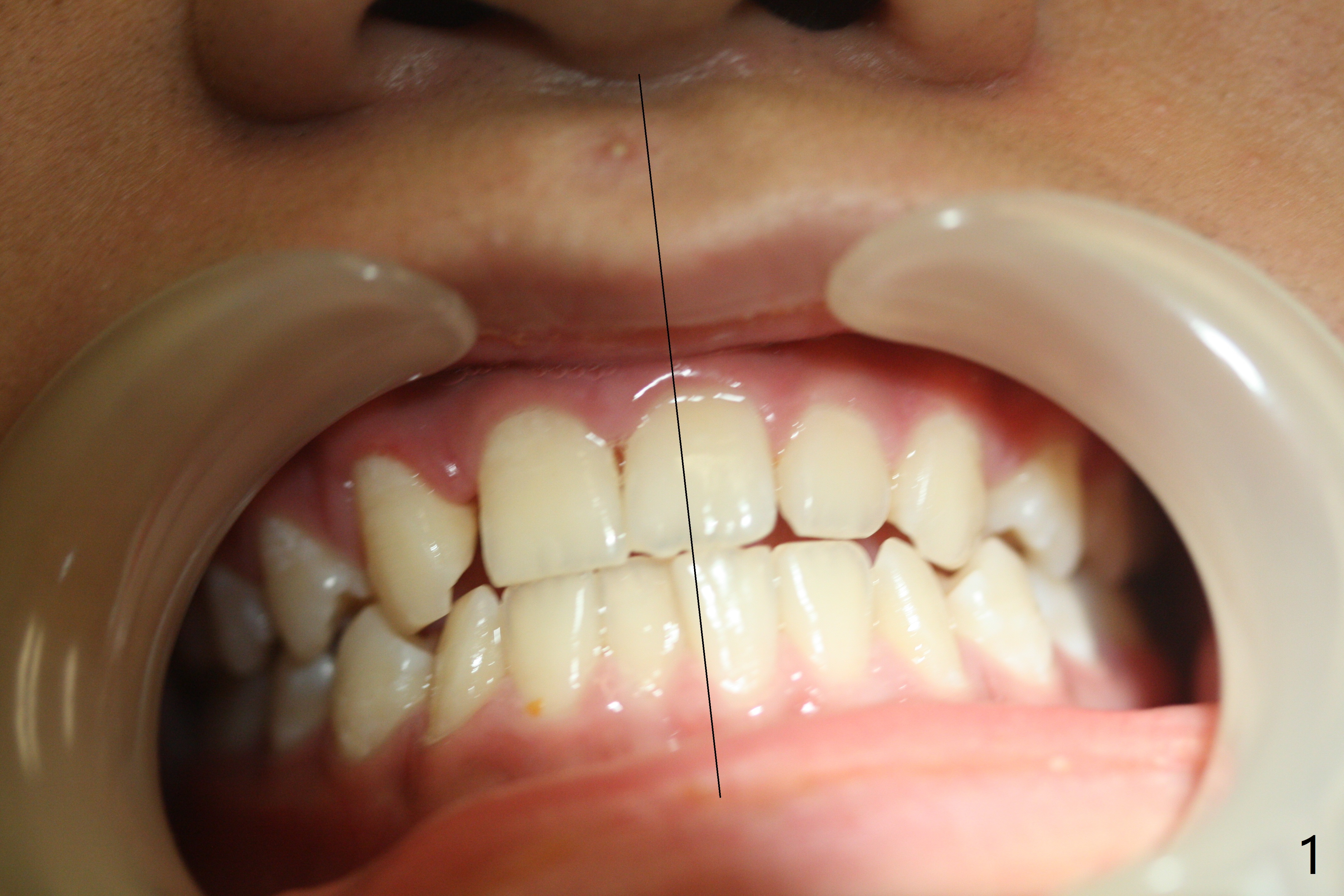
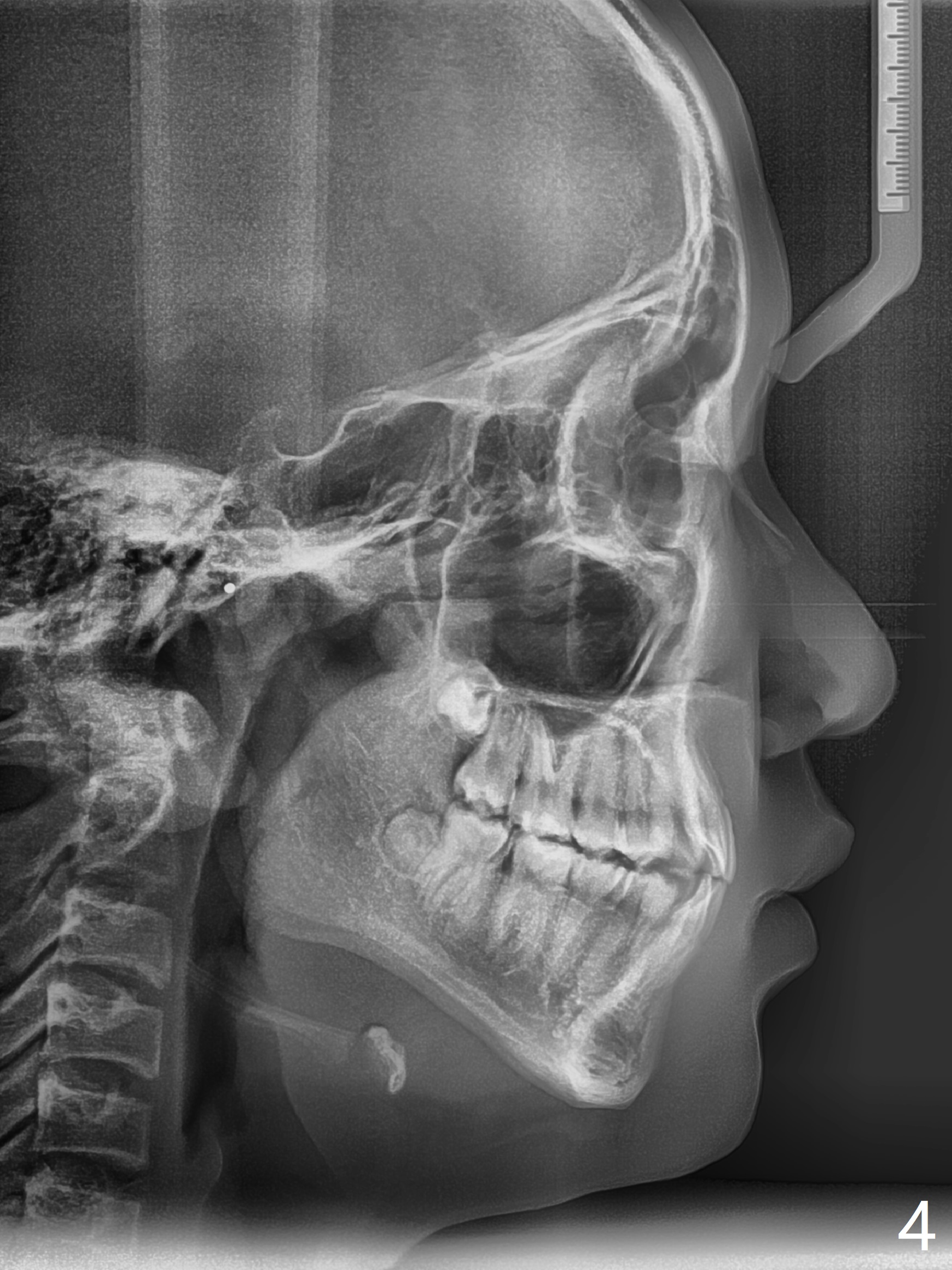
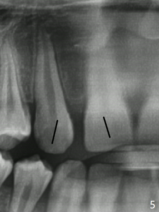
A 14-year-old man requests ortho because of crowding lower anterior and UR missing lateral (Fig.1-4). Open space for the future implant at UR2 will correct upper midline deviation (Fig.1) and change Class II malocclusion to I on the right (Fig.6, as compared to Fig.7). To control UR1,3 root torque, bracketing on these 2 teeth will be intentionally off (Fig.5). The treatment will take ~ 2 years. Prior to implantation at UR2, what type of prosthesis should be made?
Return to Ortho Cases Xin Wei, DDS, PhD, MS 1st edition 09/08/2018, last revision 09/11/2018