![]() |
![]() |
![]() |
![]() |
![]() |
![]() |
![]() |
![]() |
||
![]() |
![]() |
|||
Root
Torque
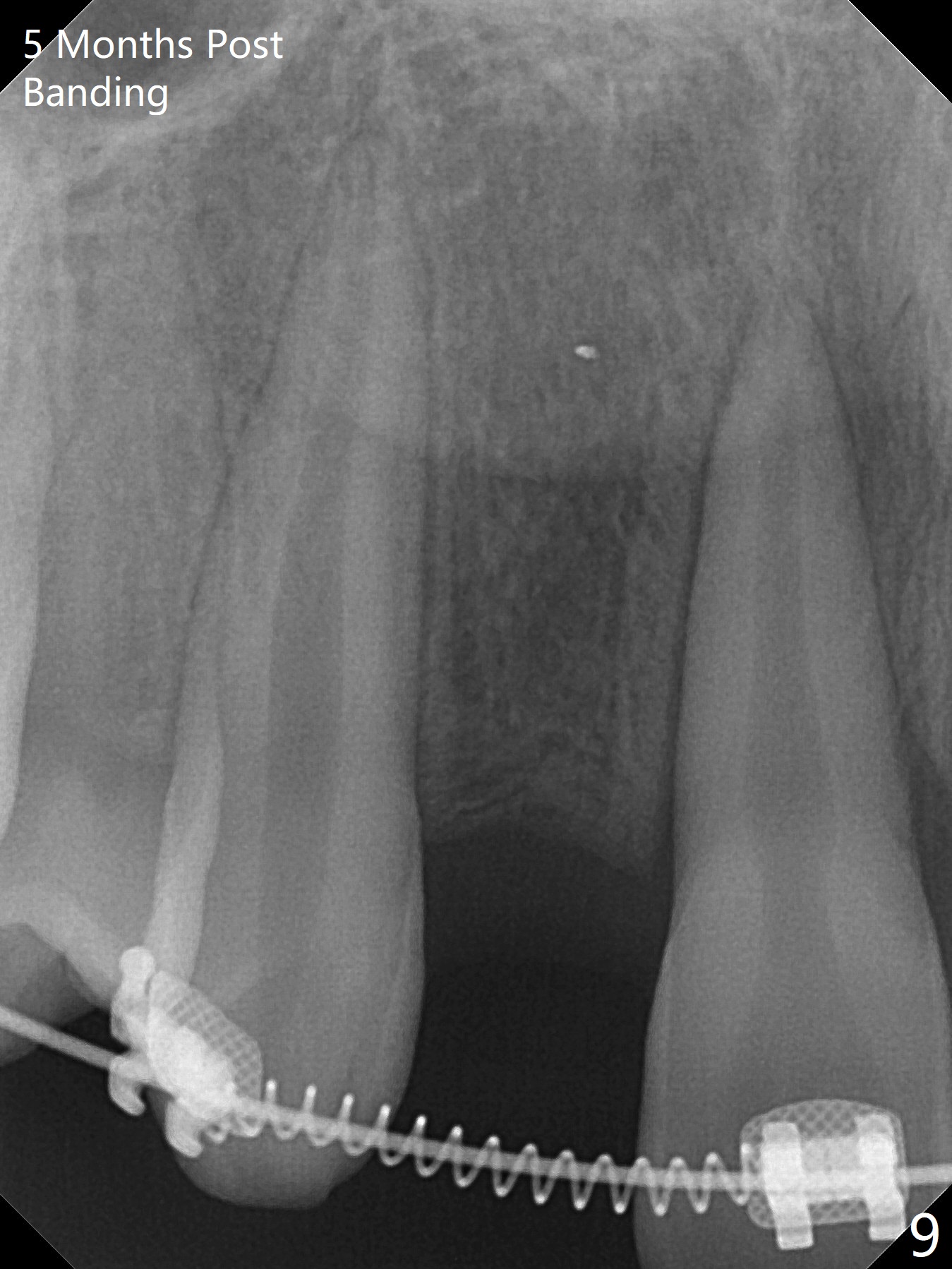
Preop cephalometric tracing shows normal skeletal relationship (Fig.1,2). The upper dental midline deviates to the right (Fig.3). To control root torque, UR1,3 bracketing is intentionally placed off (Fig.4,5, as compared to Fig.6). Take PA for UR1/3 next visit. In fact PA has not been taken. The patient has complained of UR1 turning (mesial incisal edge elongation due to bracket off placement) since the 1st appointment post banding. On the 3rd appointment (2 months 12 days post banding with 18 ss wire), the mesial incisal edge of UR1 and the distal incisal edge of UR3 are trimmed; 18 wires are reused with addition of an open coil spring between UR1-3 (Fig.7). Extra diastemata have appeared mesial and distal to UL1 (Fig.8 *), creating room to correct the upper dental midline shifting. PA is taken 5 months post banding (Fig.9). The roots of neighboring teeth are parallel with new bone formation behind. The mesiodistal space is similar to that of the tooth #10 following consolidation of diastemata on the left. More space is gained 12 months post banding (Fig.10).
Return to Ortho Cases Xin Wei, DDS, PhD, MS 1st edition 09/11/2018, last revision 10/20/2019