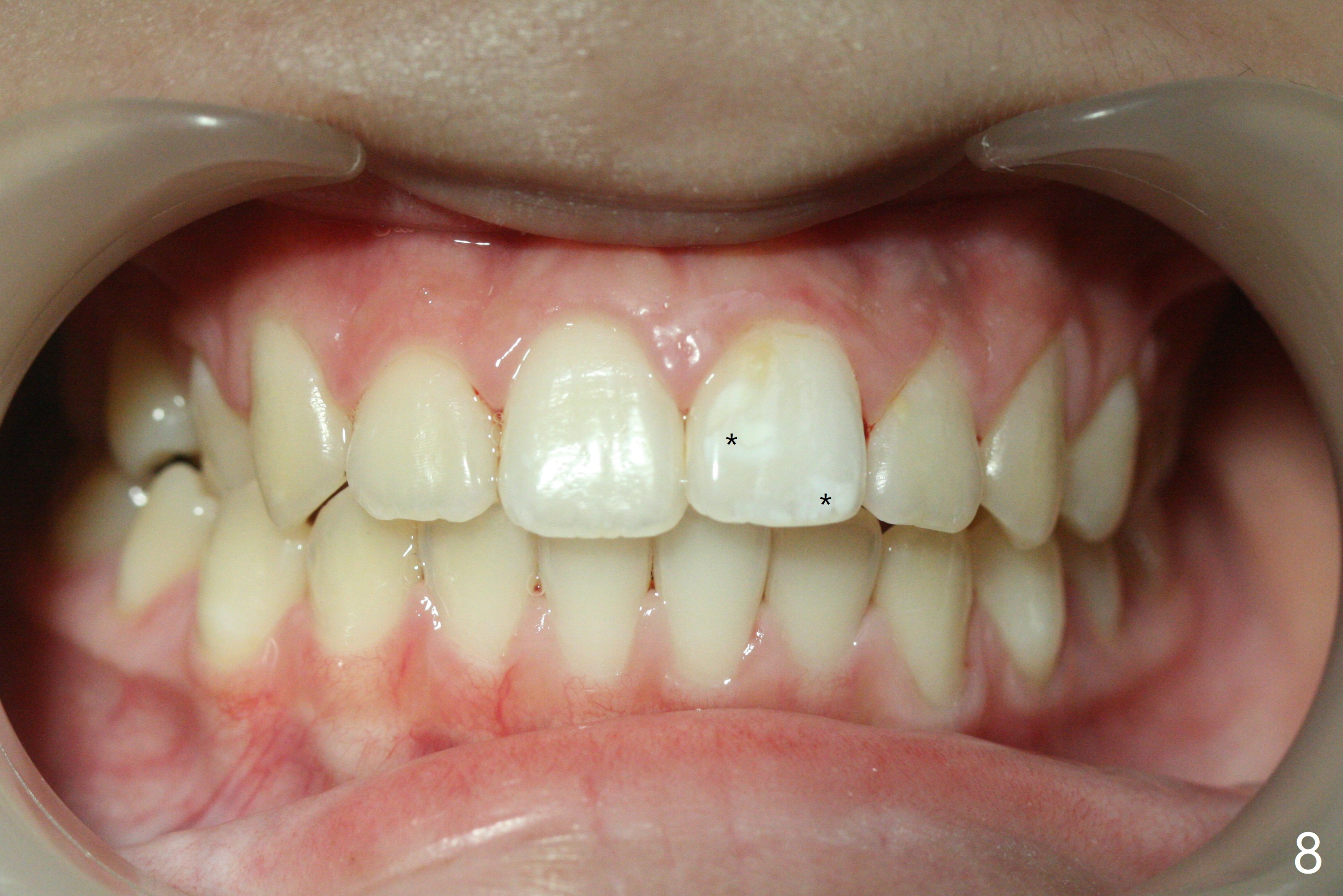
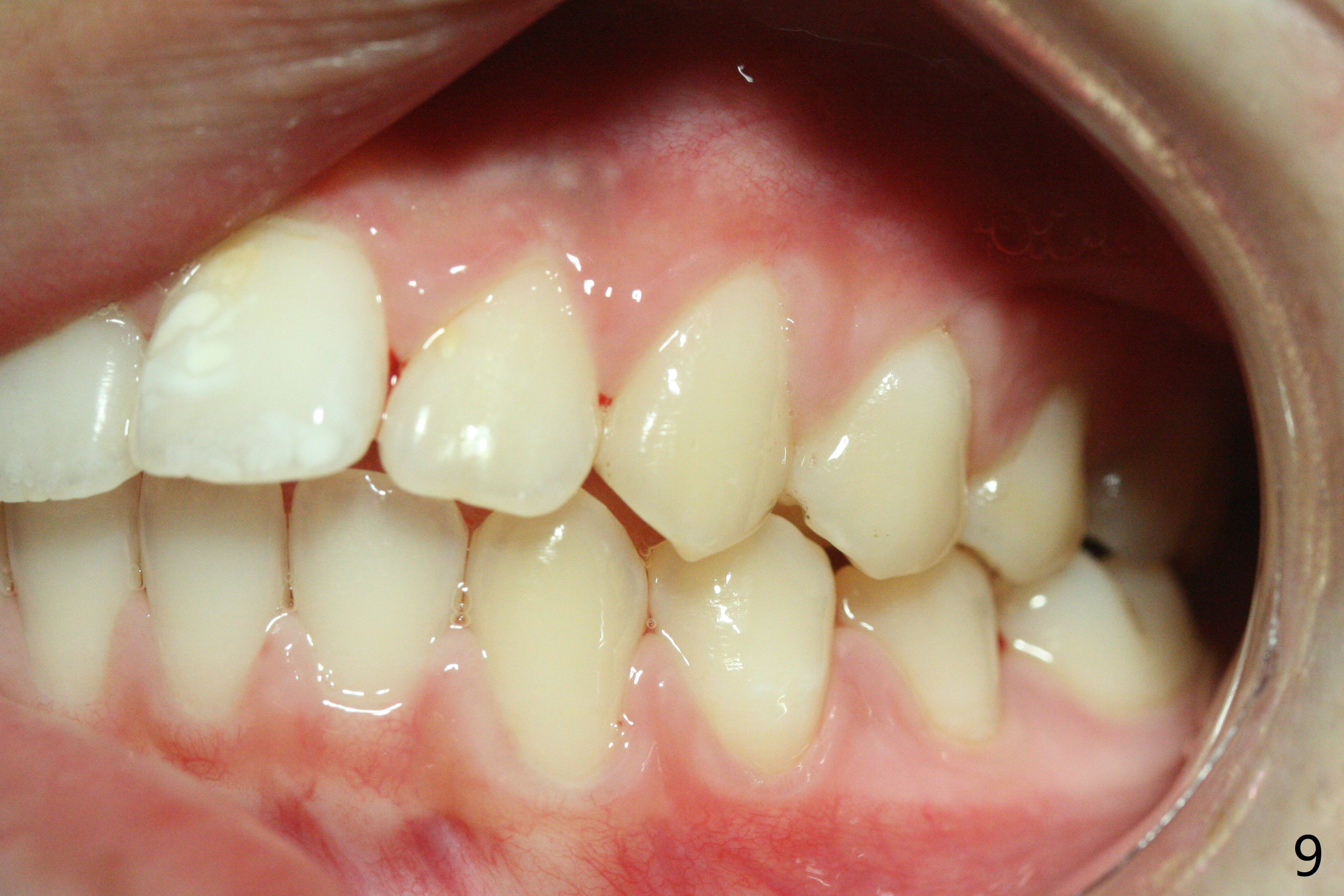
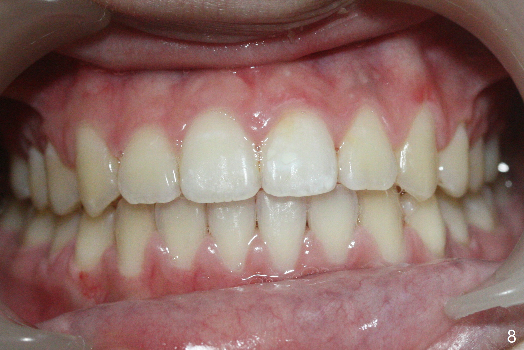
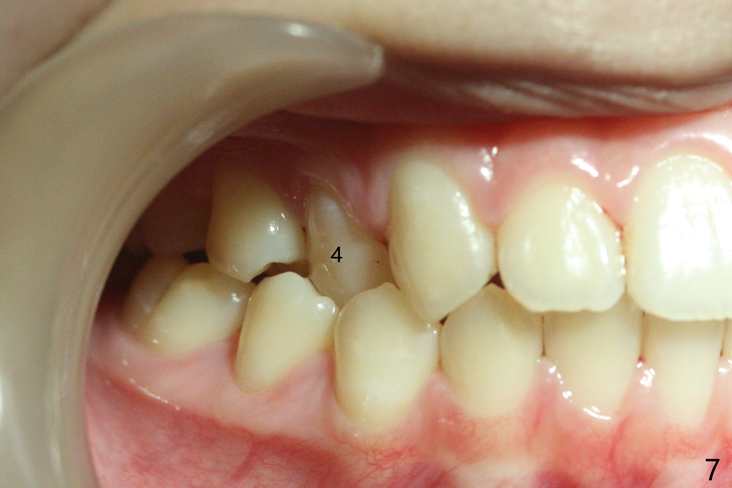
Before & After

一年一个月完成治疗

Return to Ortho Cases  模型对比
Xin Wei, DDS, PhD, MS 1st edition 01/18/2019, last revision 01/18/2021