简单病例快速结束

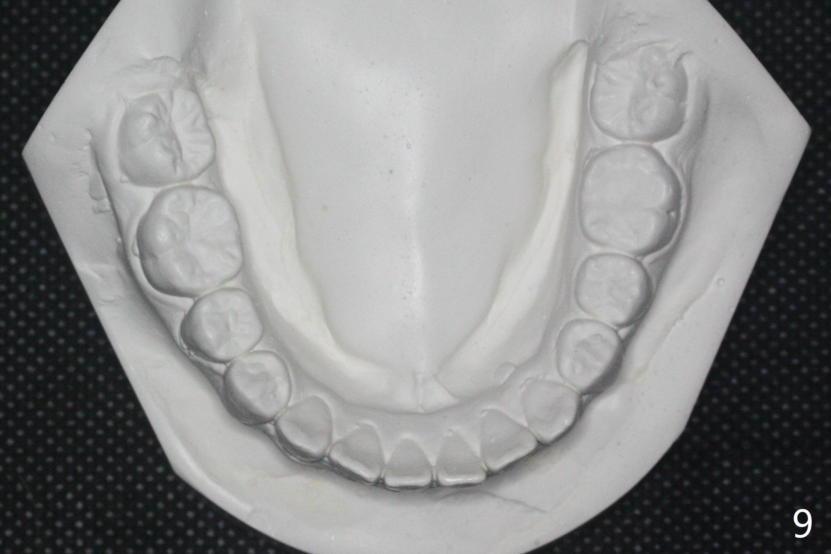
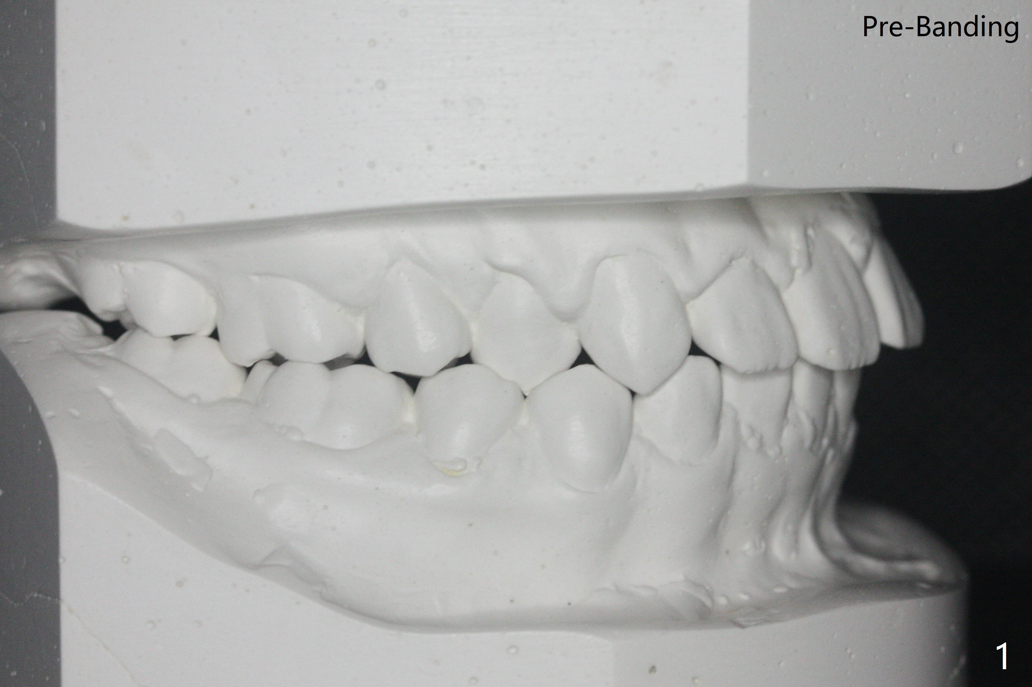
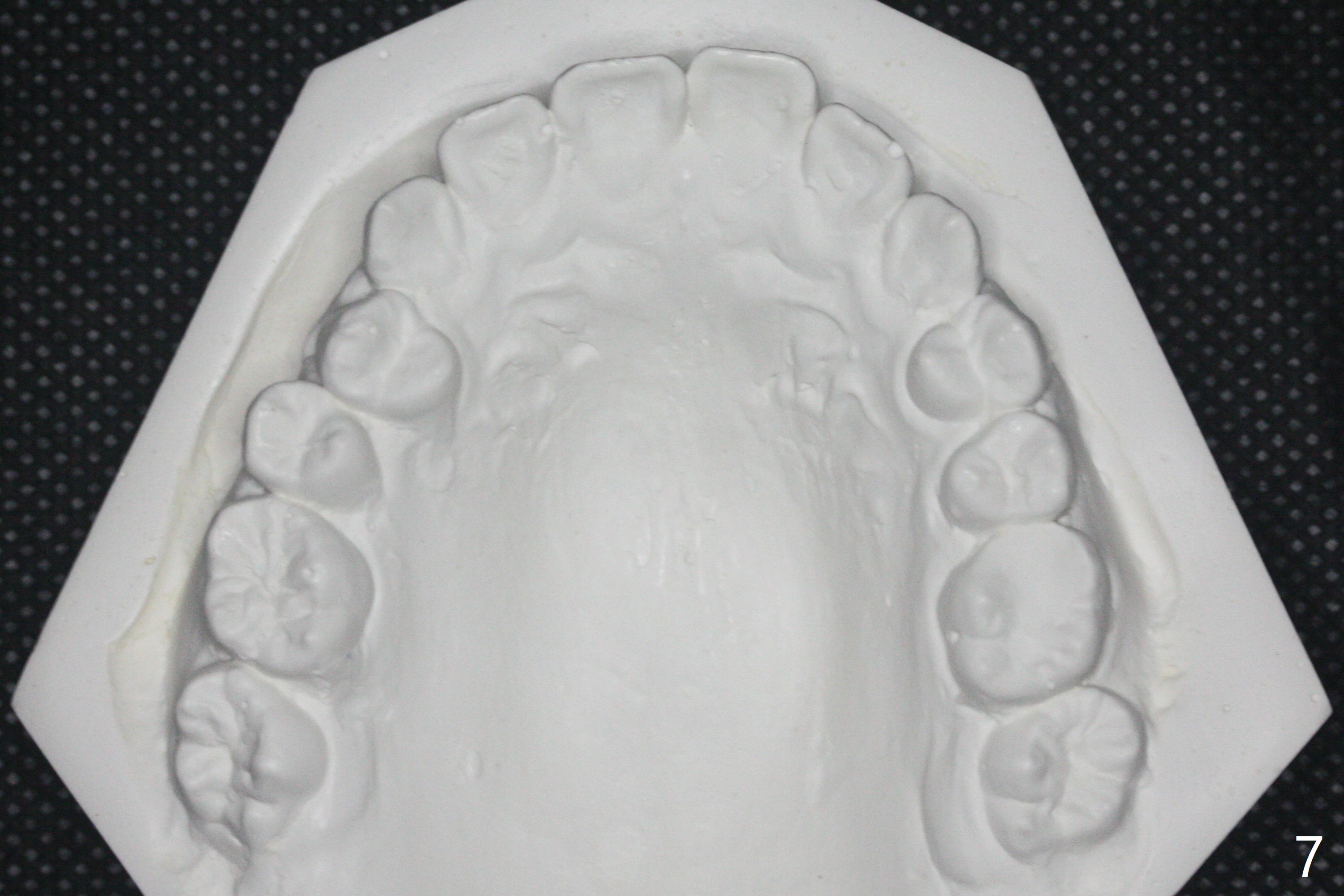
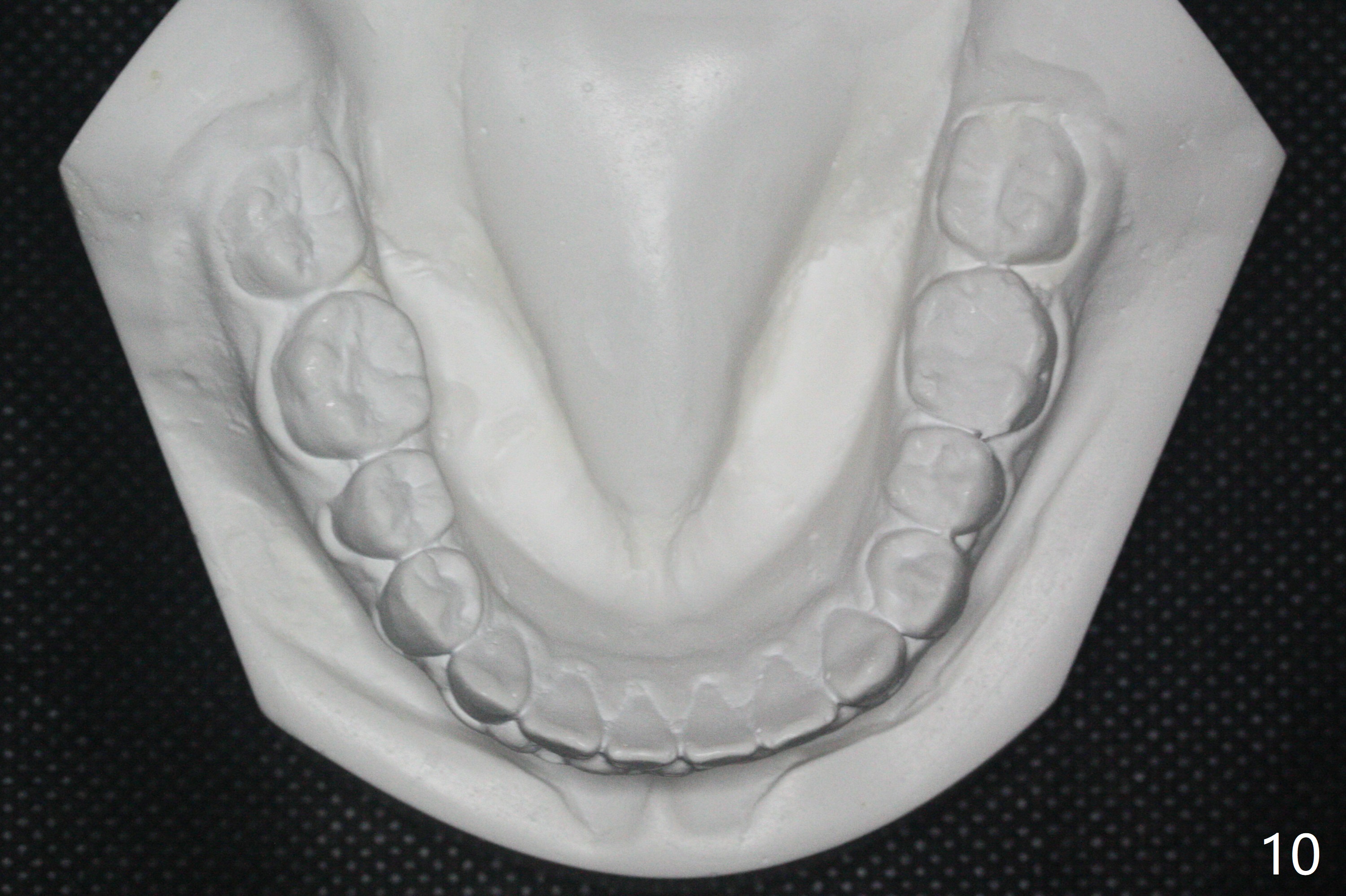
15岁女孩1年1个月完成矫正,临床上美观改善比模型显著,右上4反合纠正,深覆合减轻(比较图一,二)

Return to Ortho Cases
Xin Wei, DDS, PhD, MS 1st edition 12/23/2020, last revision 01/18/2021