![]() |
![]() |
![]() |
![]() |
![]() |
![]() |
![]() |
![]() |
![]() |
|||
![]() |
![]() |
![]() |
|||
![]() |
![]() |
![]() |
|||
![]() |
![]() |
||||
Canine Premature Eruption
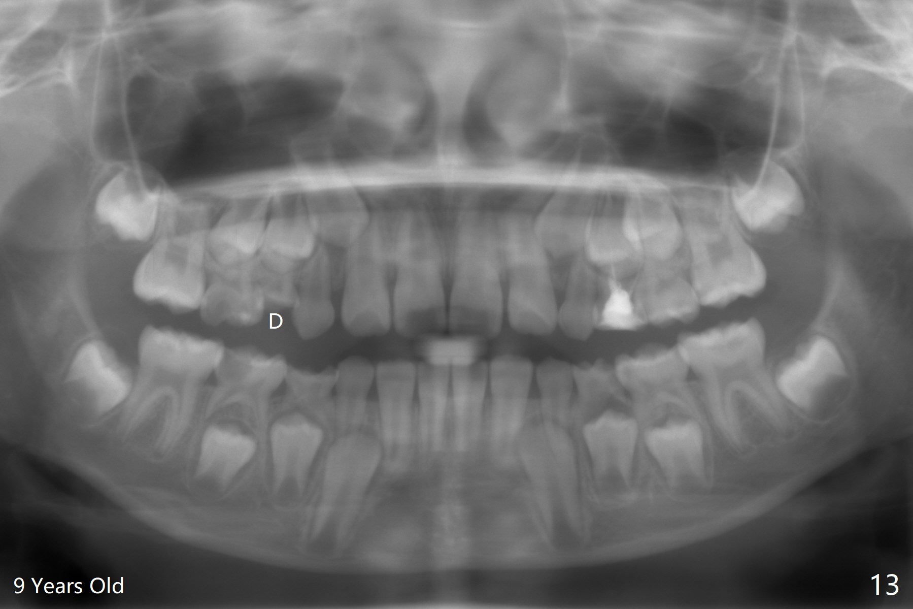
A 14-year-old woman, used to be a dental phobic (Fig.13), agrees with orthodontic treatment. Her mother is concerned about UL1 protrusion (Fig.8,11) and decalcification (Fig.8 *) and UR4 cross bite (Fig.7,10,14). There is mild lip constraint (Fig.1,3), as related to light dental protrusion (Fig.2,4), although the upper dental midline is not deviated (Fig.2). History shows that UR3 erupts before UR D is extracted, which is associated with UR4 cross bite. After arch expansion, consider proximal reduction to reduce anterior overjet if present. In fact that latter is not done; instead Class II is conducted.
Return to
Ortho Cases
Xin Wei, DDS, PhD, MS 1st edition
09/14/2019, last revision
01/02/2021