![]() |
![]() |
![]() |
![]() |
![]() |
![]() |
What is Next Treatment (II)?
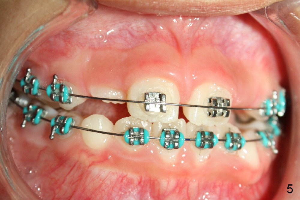
Three months since initial treatment (Fig.1-3), the malocclusion has improved (Fig.4-6, taken after wires are installed). Upper brackets/bands were placed first with Nitanium Palatal Expander. A month or two later, lower brackets/bands were placed.
What is the next treatment according to your observation (Fig.4-6)?
Hint: 14 niti wires were re-used in the last visit because the wires were not fully engaged to J, 23,26 brackets. Today, the upper wire was found partially dislodged from J bracket.
Return to Ortho Cases
Xin Wei, DDS, PhD, MS 1st edition 09/01/2014, last revision 09/03/2014