![]() |
![]() |
![]() |
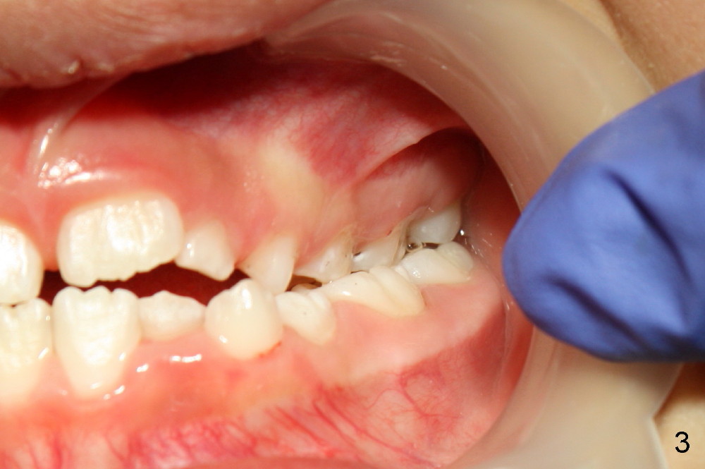
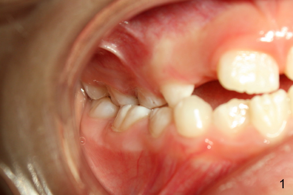
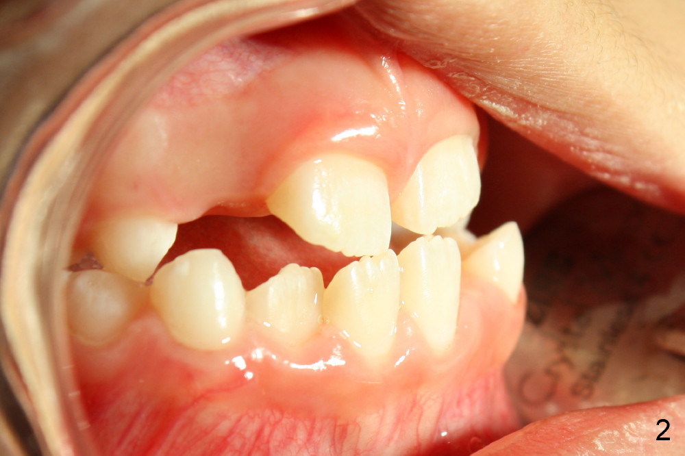
What is This Condition (I)?
A 8-year-old girl presents malocclusion (Fig.1-3). What is the initial treatment?
Jenny: The girl has cross bite of both the anterior and posterior teeth. I think that first we need to expand her palate.
Return to Ortho Cases
Xin Wei, DDS, PhD, MS 1st edition 09/01/2014, last revision 09/01/2014