Recession Canine M

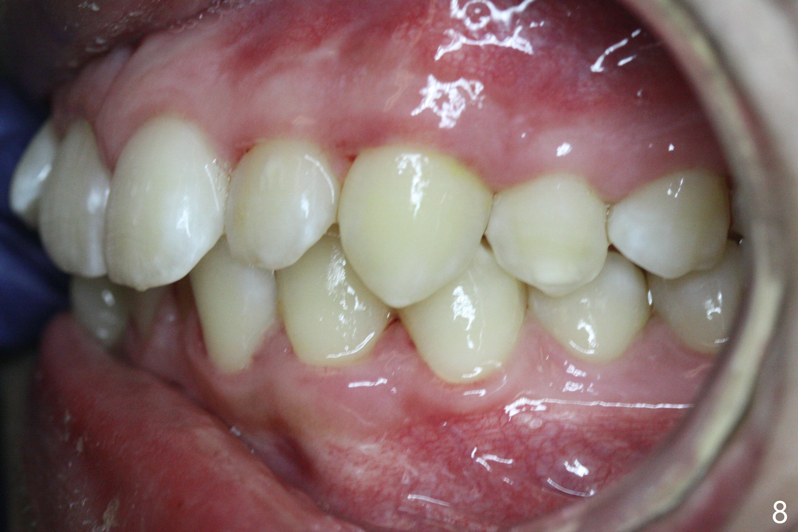
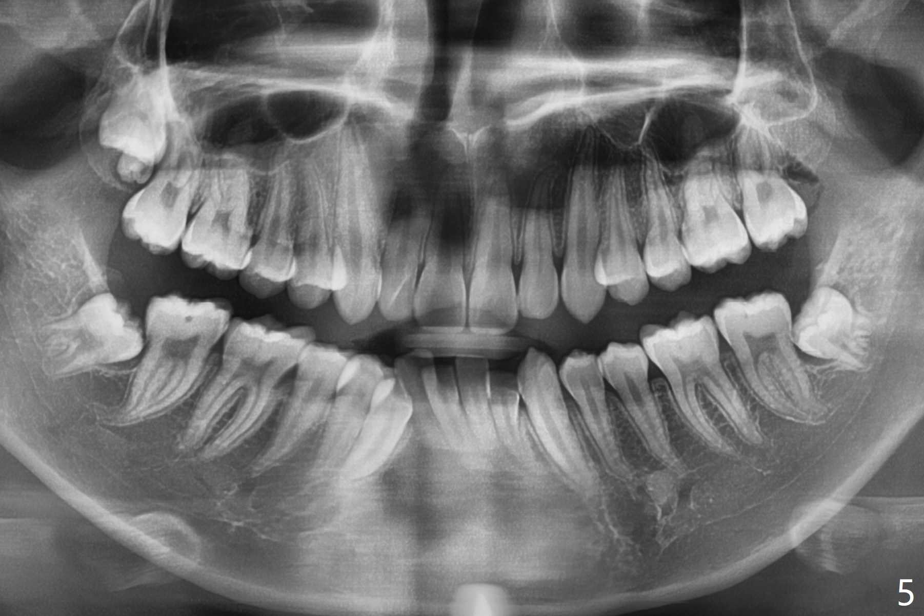
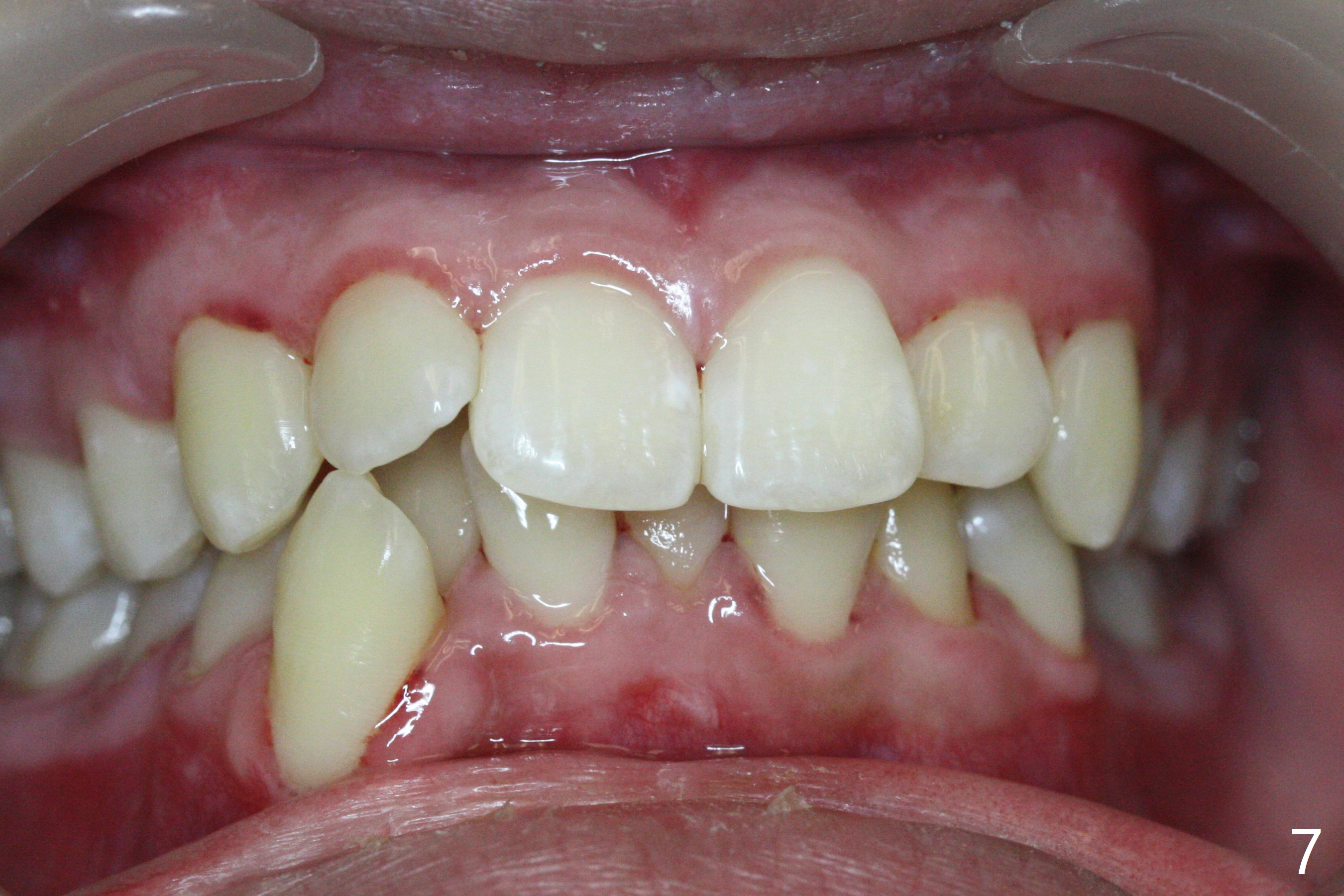
A 15-year-old man requests orthodontic treatment and agrees with extraction.  It appears that the maxilla is more protrusive than the mandible (Fig.1-4, 6,8).  The lower right canine has severe gingival recession (Fig.6,7,10).  Can we extract U4s and LR3 or 2 instead, considering relatively normal alignment in LL (Fig.8, occlusal view)?

Hi Xin, If the patient is protrusive enough (and Class I) to warrant extraction therapy, you will extract one dental unit in each quadrant, normally all four 4s. The wild card in this case is the LR3 recession and the root length being no better than the LR4. So, I would consider extraction of U4s, LL4, and LR3. Bottom line, your LR4 becomes your canine in this case.  Tim Monday, February 5, 2018 9:15 AM

In fact, extraction of LR3 is easier than the other three, because of its labial socket (Fig.10 * (loss of the labial plate), as compared to Fig.9).  Nevertheless, the root of LR3 is the longest (Fig.11).

Return to Ortho Cases Younger Brother

Xin Wei, DDS, PhD, MS 1st edition 02/04/2018, last revision 03/19/2020