![]() |
![]() |
![]() |
|
![]() |
![]() |
![]() |
|
![]() |
![]() |
![]() |
|
![]() |
![]() |
![]() |
![]() |
Retraction with Anchorage M
Brackets and Bands will be placed 2 months post extraction (Fig.1-3: *). UR7 (overjet; Fig.1 (7), 2 (arrow)) will be retracted early using LR6 and 7 as anchorages. Because of good posterior interdigitation (Fig.1), U3s and LL3 will be distalized using closed coil spring between 3 and 6 (7 preferrable retrospectively). When this is finished, retract 4 incisors (each arch) together using a posted wire and the same closed spring.
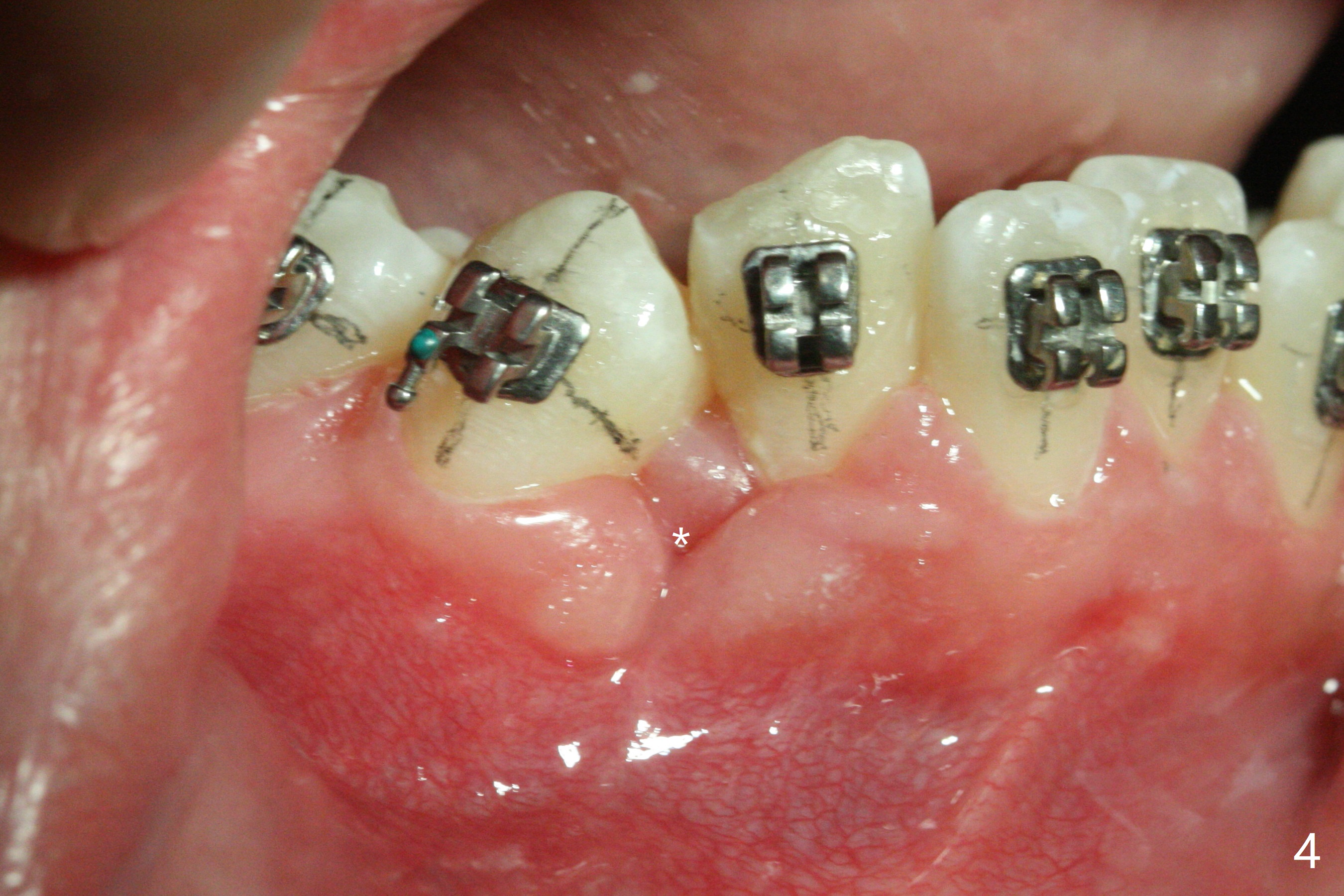
The socket of LR3 heals 2 months post extraction (Fig.4: *). LR4 is bracketed as LR3. Brackets and Bands are placed with 14 niti wires (Fig.5,6).
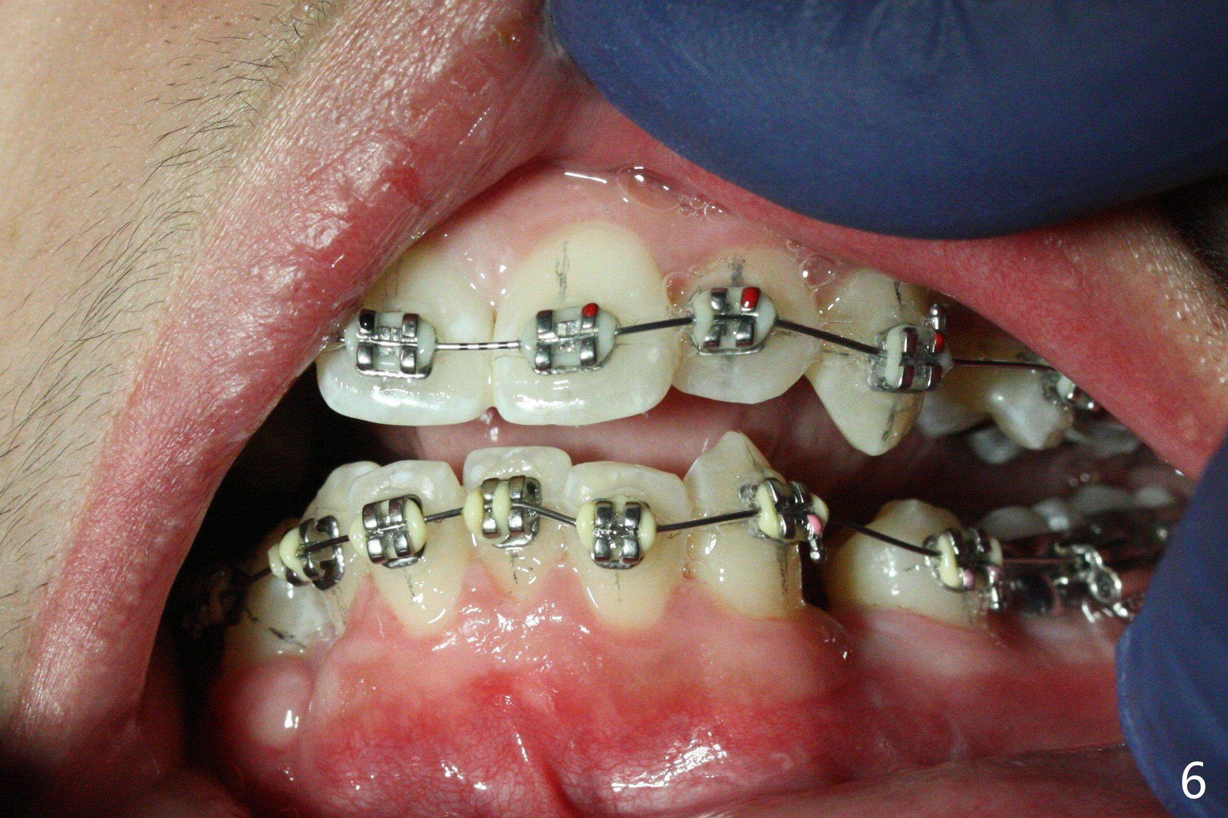
Tooth alignment is near finish 10.5 months post banding; elastics have been used for one appointment to shift the lower midline to the left (Fig.7-9).
After use of segmental wires (Fig.10 ) with posterior interdigitation, diastemata between U3/5 re-appear with the upper dental midline deviation to the left.
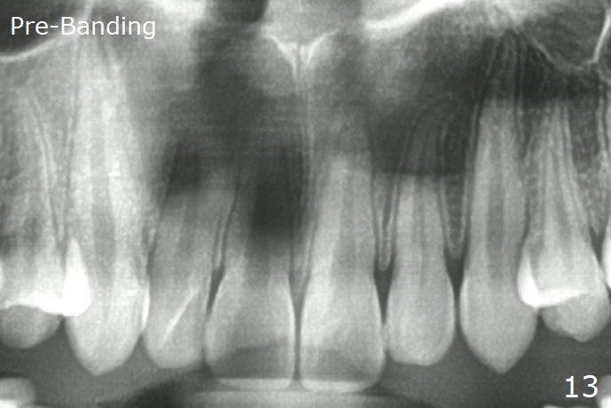
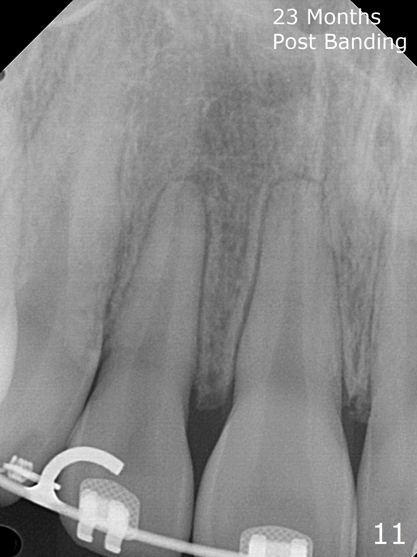
Anterior overbite and overjet and posterior interdigitation are satisfactory, while the roots of the upper incisors look shortened 23 months post banding (Fig.11,12, as compared to pre-banding (Fig.13). Brackets and bands are removed.
Return to
Ortho Cases
Younger Brother
Xin Wei, DDS, PhD, MS 1st edition 02/25/2018, last revision 03/19/2020