Is It Worthy to Extrude UL5?

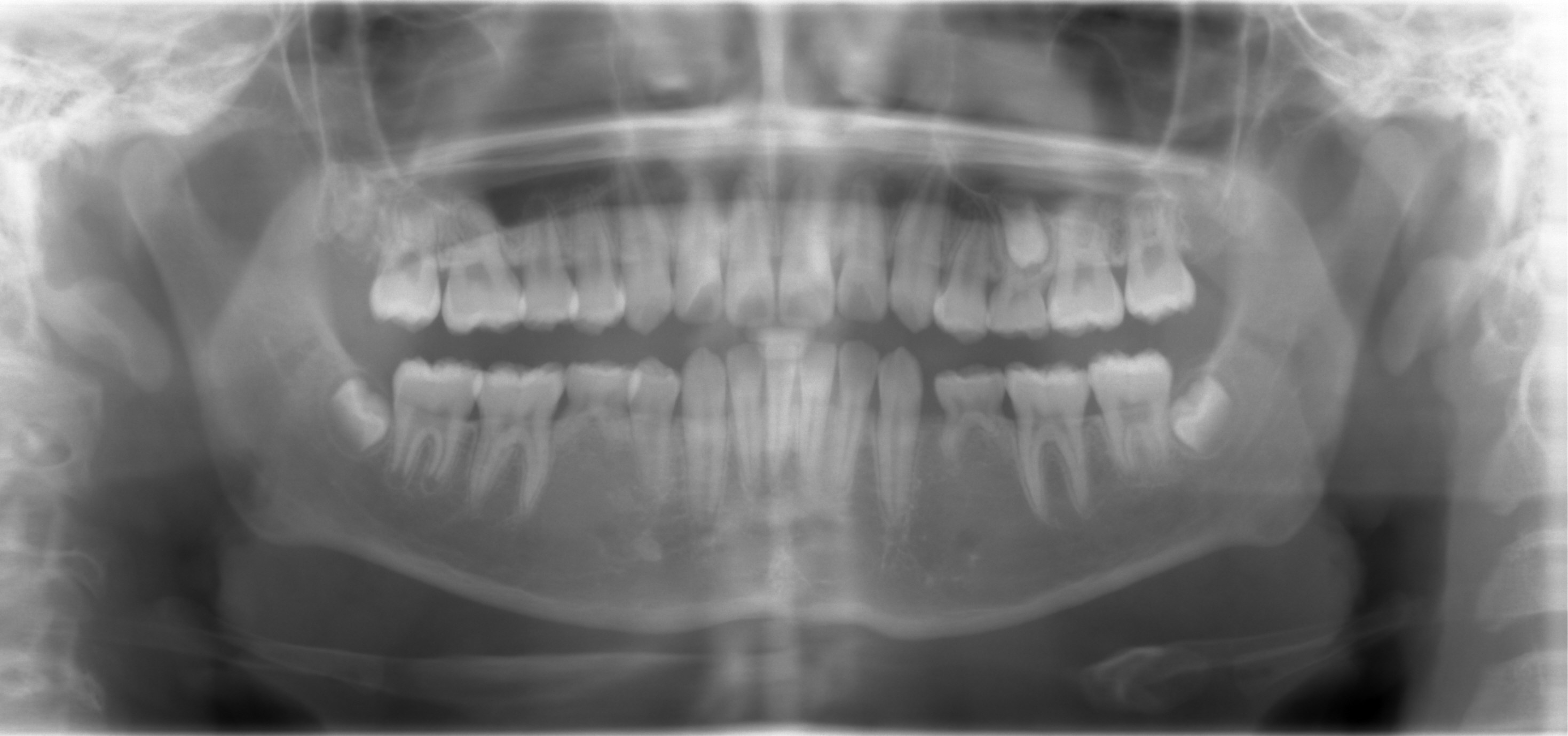
A 13-year-old man returns to clinic 2.5 years after the last one (Fig.1).  UL E is extracted with difficulty.  It appears to be ankylosed.  He returns for follow up today nearly 2 months post extraction.  The socket has healed. UL5 (microdontia) seemingly needs to be extruded orthodonti-cally.  Is it worthy in doing so?  His father having 11 implants (due to trauma and caries instead of congenital nature) is ready for an extra implant if UL5 turns out to be non-salvageable.  Can we extract LR5, mesialize LR6,7 using a mini-implant and let LR8 self mesialize?

I would normally expect the late developing UL5 to erupt. Why do you want to ext the LRE and mesialize the molars? One side only? Just curious Tim February 11, 2018 9:30 PM

Thanks for the input.  I would extract L Es if you think feasible.  Is it a good idea to extrude microdontic UL 5?  Thanks again.  

Return to Ortho Cases Final X-ray

Xin Wei, DDS, PhD, MS 1st edition 02/10/2018, last revision 11/26/2019