![]() |
![]() |
![]() |
![]() |
![]() |
![]() |
![]() |
|
![]() |
![]() |
![]() |
|
Overjet
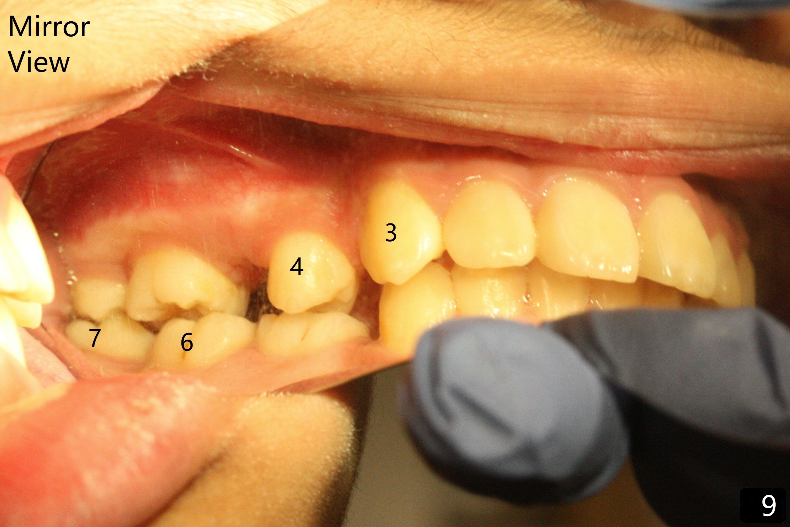
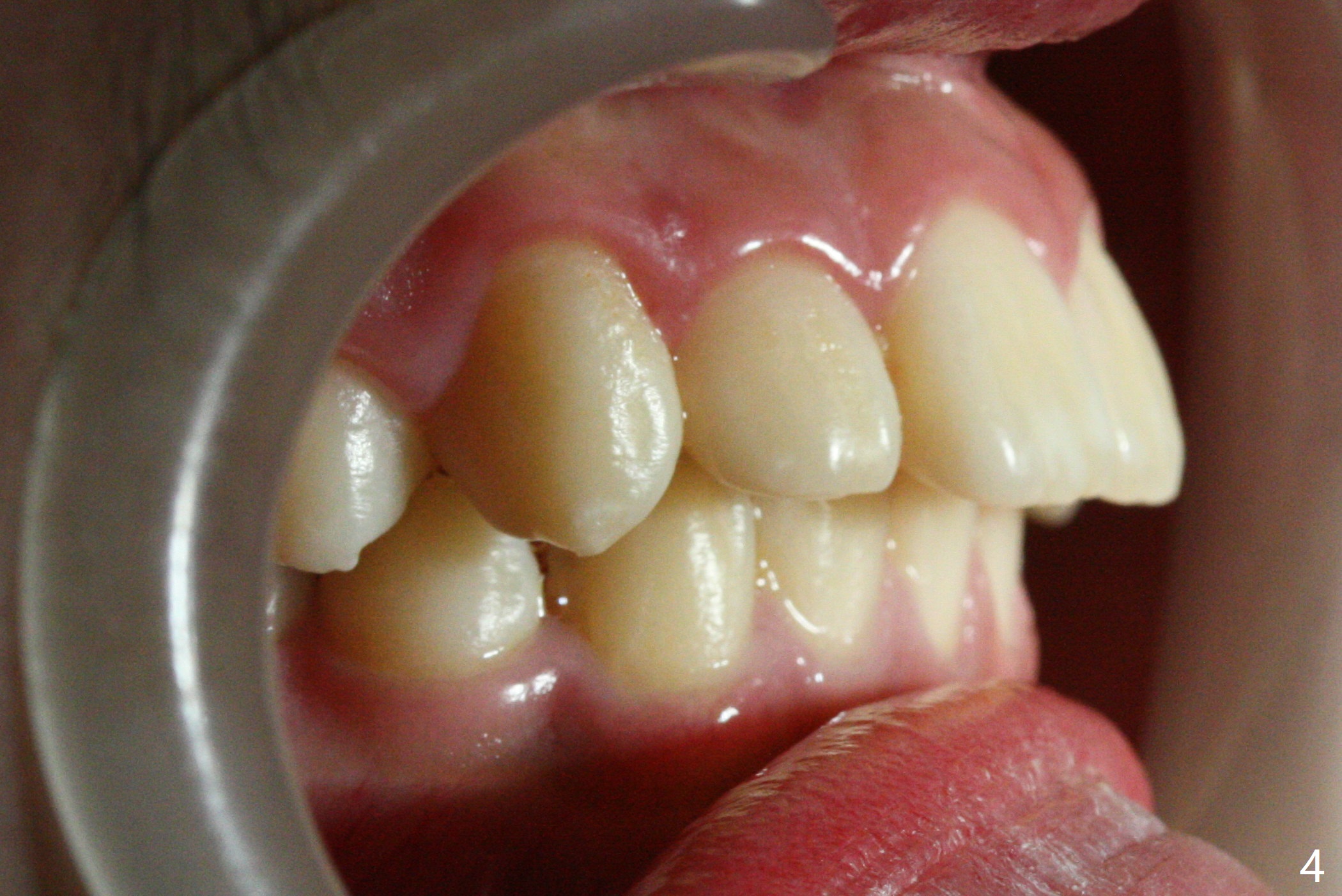
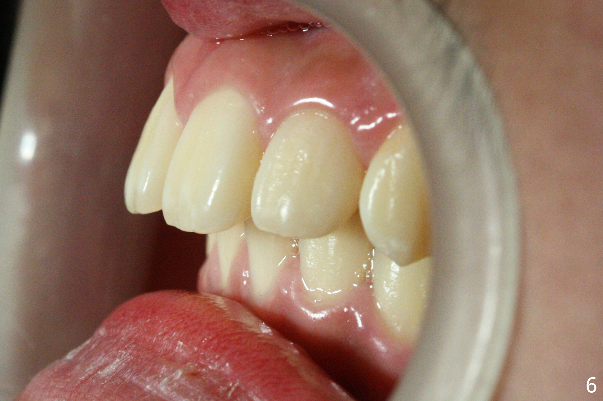
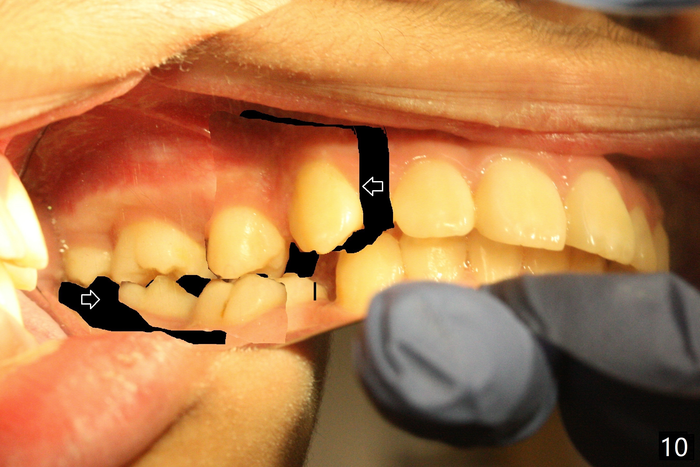
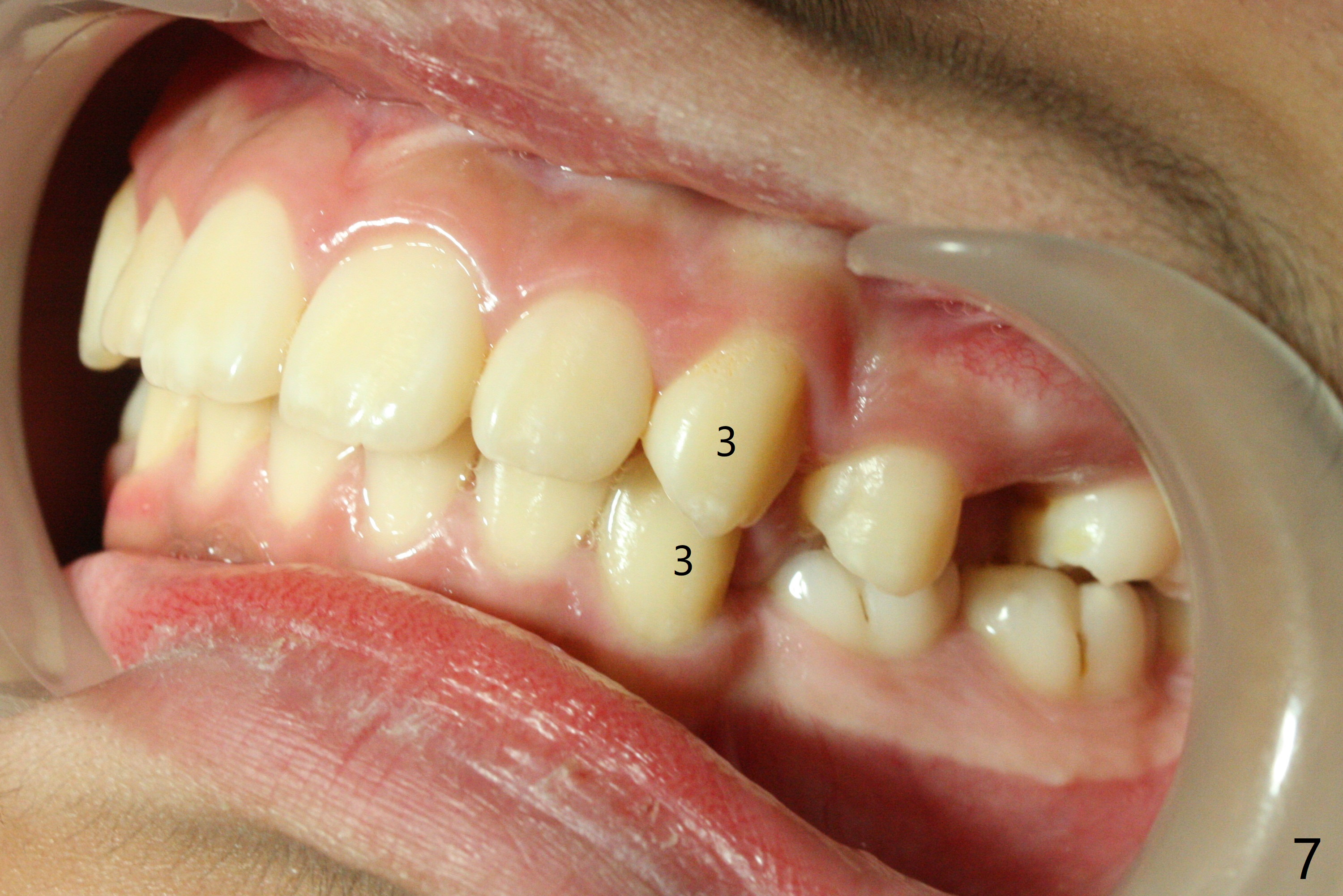
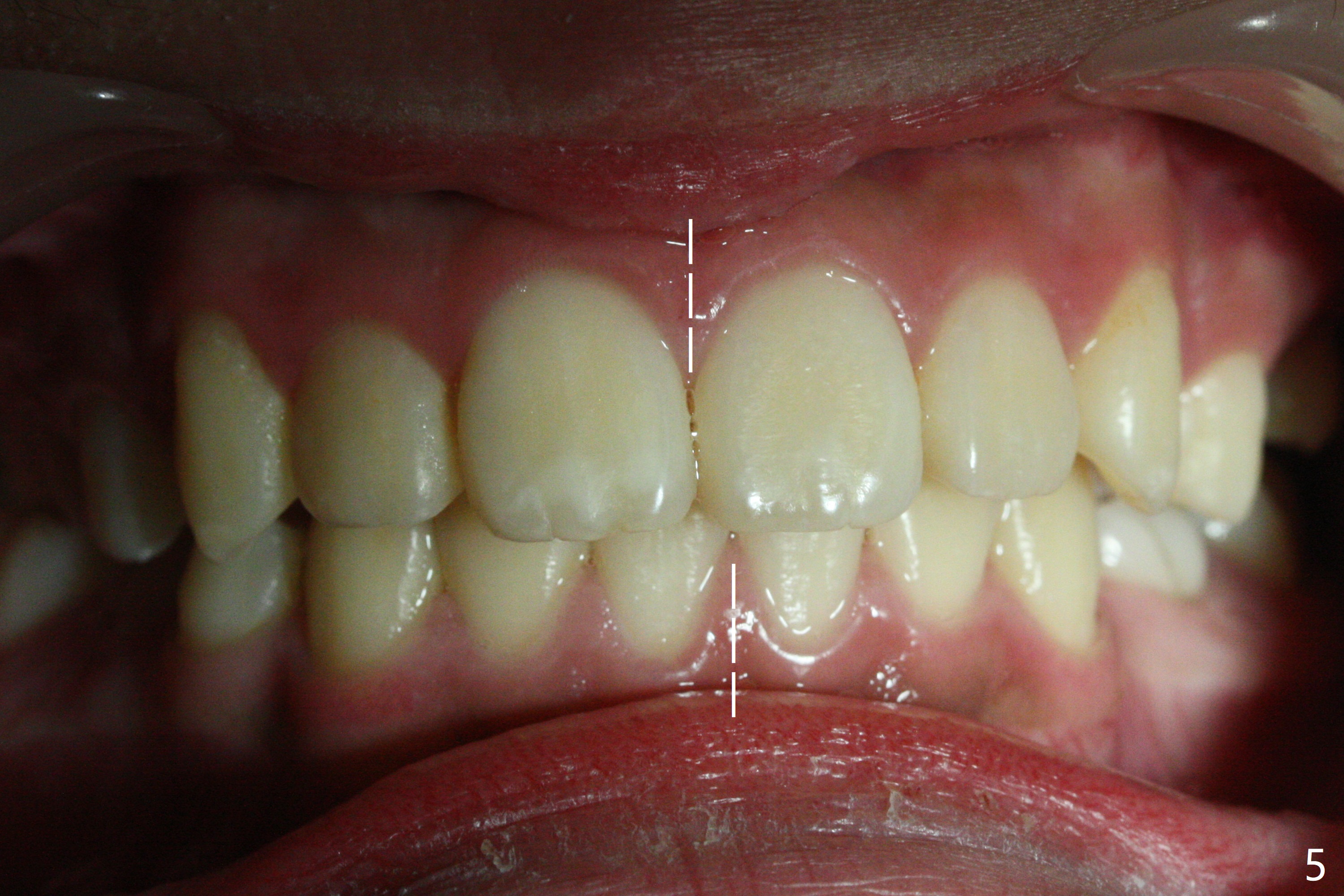
The 13-year-old man with one impacted and three missing bicuspids has mild protrusive lips (Fig.1,2). Malocclusion (noncrowding) consist of anterior overjet and overbite (Fig.3,4,6-10) and dental midline mismatch (Fig.5). After alignment, Class II retraction will proceed to correct the overjet. The impacted bicuspid will be extracted. The retained primary molars will be extracted, while the lower molars will be mesialized (compare Fig.9 and 10) with minimplants to be placed mesial to the most distal lower anterior teeth (LR4, LL3). The procedure will allow the lower third molars to occlude with the upper 2nd molars. An implant will be most likely placed in the LL bicuspid area (Fig.10 I).
Return to Ortho Cases Xin Wei, DDS, PhD, MS 1st edition 03/12/2018, last revision 11/24/2018