| Before | After (15 y/o, 1 Month post debanding) | ||
![]() |
![]() |
![]() |
![]() |
![]() |
![]() |
![]() |
![]() |
![]() |
![]() |
||
![]() |
![]() |
||
![]() |
|
||
Before & After
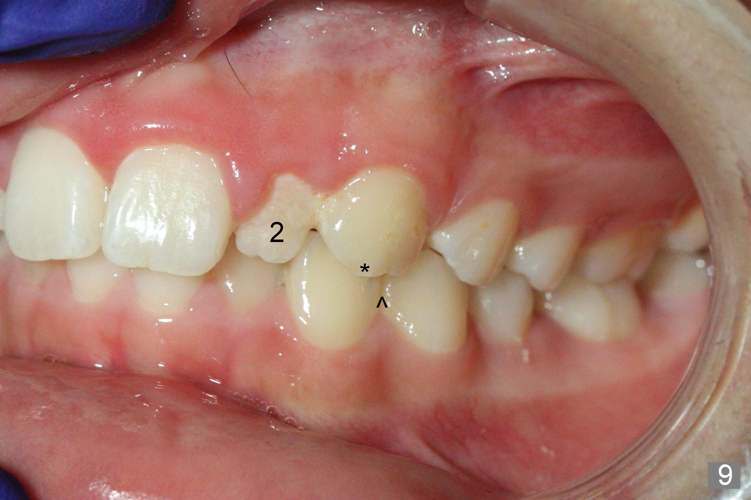
Without extraction, the lip strain remains. Return to
Ortho Cases
Xin Wei, DDS, PhD, MS 1st edition 01/01/2017, last revision 09/09/2018