Implant & Ortho 2

Mini-Implants

  1. In our office, there are 2 types of mini-implant systems: Ancor Pro Mini-implant (Orthoorganizer) and Tomas
  2. Mini-implants are used as an anchorage (fixed point) to move the teeth.  So mini placement is a part of orthodontic treatment.  Please prepare all necessary instruments for ortho, including toothbrush, and lingual button
  3. Sensor holding device for positioning, particularly when the mini is placed between the teeth
  4. For Ancor Pro Mini-implant placement, prepare syringe, #15 and kit.  In the future, the first two items may not be needed
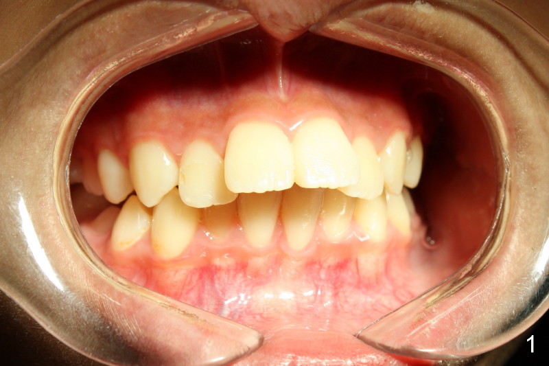
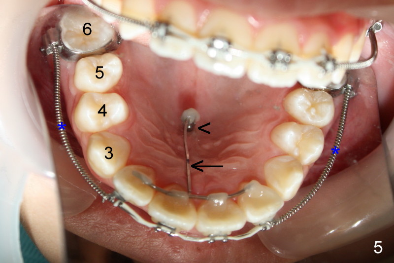
  5. For Tomas mini placement, a case is presented.  Christina has severe Class II malocclusion: upper teeth being protrusive (too forward) (Fig.1).  Ortho treatment plan is to move the upper teeth backward.  The first step is to align the upper incisors with flexible Niti wires (Fig.2 (.014), Fig.3 (.016)).  When .018 stiff stainless steel wire is used (Fig.4), the four front teeth are bound to a mini-implant (Fig.5 arrowhead: <) placed in the palatal through T wire (arrow: <--).  These 4 incisors and the mini are an anchorage unit (buccally power chain being used, Fig.4) to move the first molars (6) distally through long open coil springs (Fig.4,5: *).  When the first molar is pushed backward enough, brackets will be placed in the 2nd premolars (5).  Open coil springs will be used to push the 2nd premolars distally.  So on and on with 1st premolars (4) and canines (3).  Finally the four anterior teeth are moved backward using all of the posterior teeth and the mini-implant as an anchorage.  In due time, brackets and bands will be placed for the lower teeth
  6. The following is written by Carmen Tran for Tomas implant placement

    Mini Implants

    ·        Learn which area we are working on

    ·        We have to get the mini implants package at the sterilizing room

    ·        Prepare everything before going to the treatment room

    Preparation:

    1.     T-wire

    2.     Cetacaine Topical Liquid (or regular topical)

    3.     Implants Dentau Rum-D

    4.     Basic

    5.     Thomas Driver – Pin SD 06 LMAS

    6.     Marker

    Procedure Sequence:

    1.     Test: Try to put T-wire into a palate and adjust the side. If the T-wire is too long, cut out the excess.
    Instruments(ortho jar): Cutting pliers, Three Prong Bending Pliers, Contouring Pliers

    2.     Use a marker to make a mark and cut

    3.     Apply Topical liquid on the palate

    4.     Put on the implants inside a palate and use a special screw (in the implant packet)

    5.     Use the Etch, Bond, Composite, light Q

    6.     When done, put everything inside the paper box on the top in the sterilizing room.

    Carmen Tran

    The mini-implant in this case does not work.  The upper 1st bicuspids are extracted.

Return to Assistant Page, Ortho Case, Implant & Ortho 2

Xin Wei, DDS, PhD, MS 1st edition 02/24/2012, last revision 05/07/2017