![]() |
![]() |
![]() |
![]() |
![]() |
![]() |
Extraction and Distalization
The mini-implant in the para-sagittal palate is loose, losing its anchorage. In fact the upper incisors are pushed forward using open coils springs. The T-wire and the mini-implant (Fig.1 <) are removed. A flexible wire is placed; two upper bicuspids are extracted (#5,12).
Power chains are used to close the extraction spaces (Fig.2).
Due to lack of monitoring posterior interdigitation, the upper anterior teeth are not retracted posterior enough.
Twin force Bite Corrector Double Lock Appliance is placed mesial to the upper 1st molar (#3) and distal to the lower canine (#27) bilaterally (Fig.3).
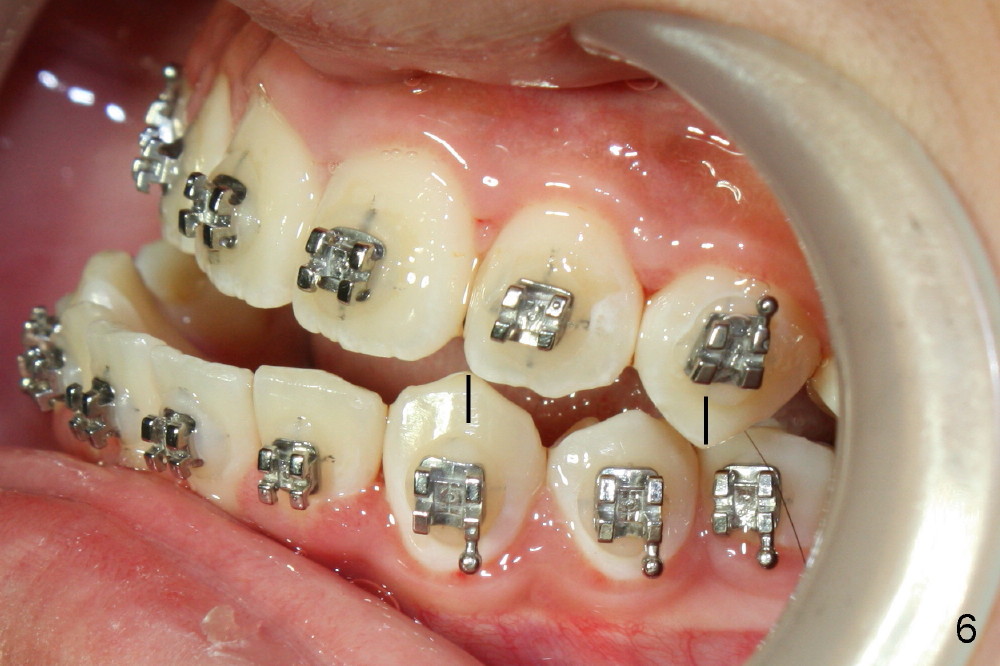
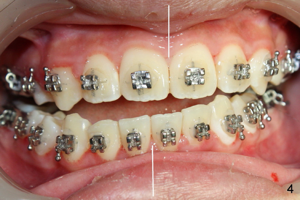
Again due to lack of close monitoring (summer vacation in China), overcorrection occurs (Fig.4-6): from Class II malocclusion to Class III (especially left side (Fig.6 black lines) with anterior open bite and midline shifting (Fig.4 white lines).
Once the distalization devices are removed, the overcorrection self corrects.
The open bite and midline mismatch are discussed
next.
Xin Wei, DDS, PhD, MS 1st edition 01/12/2014, last revision 01/12/2014