![]() |
![]() |
![]() |
![]() |
![]() |
![]() |
![]() |
![]() |
Wax Up for Lower Anterior Veneers
A 46-year-old woman has Tetracycline teeth. She is pleased with upper veneers and wants to do the same for the lower anterior teeth, which are crowding (Fig.1,2). Wax up (Fig.3,4) lays foundation for fabrication of reduction and provisional stents.
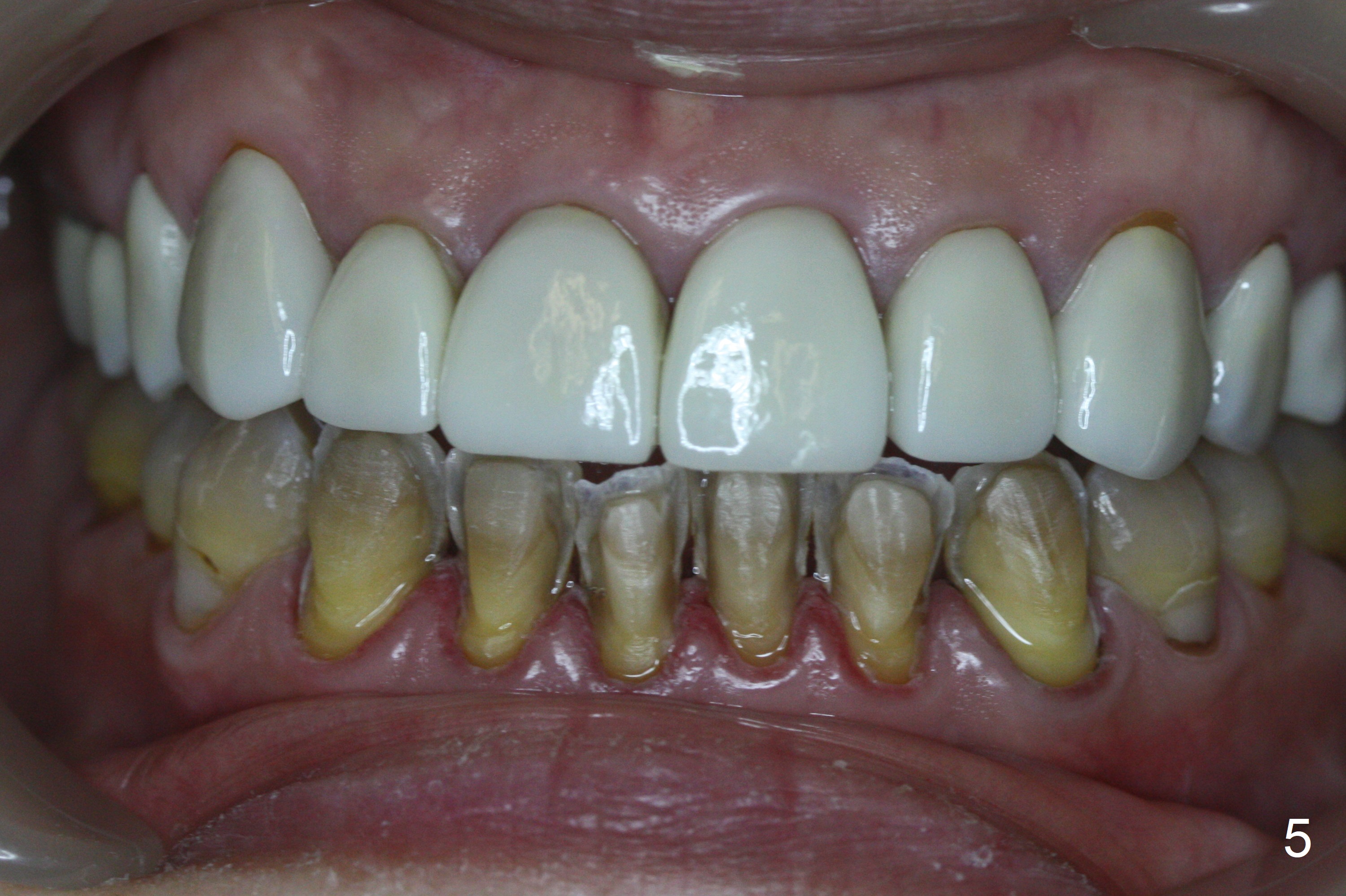
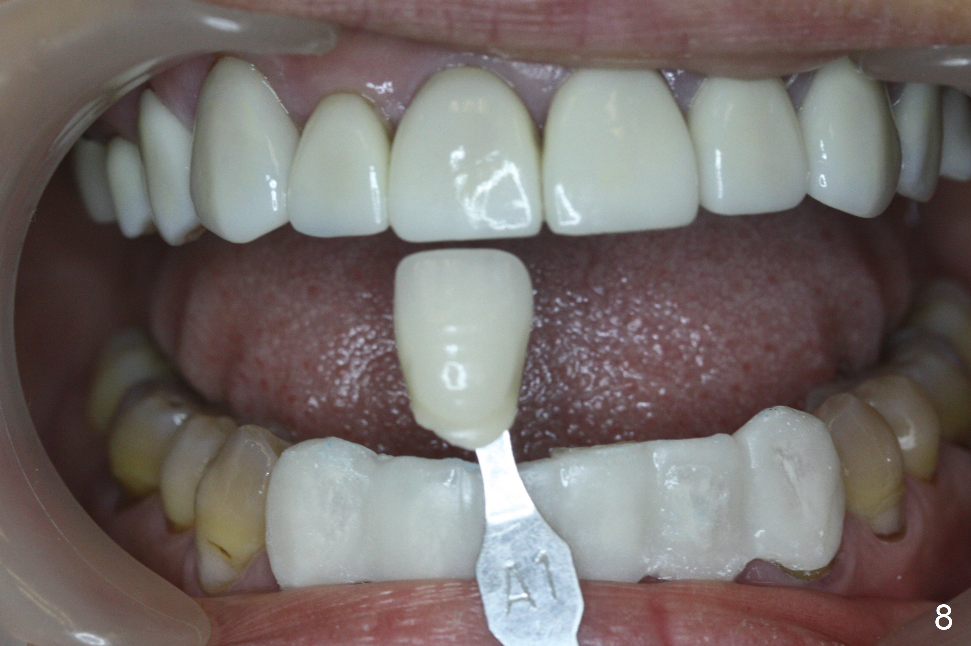
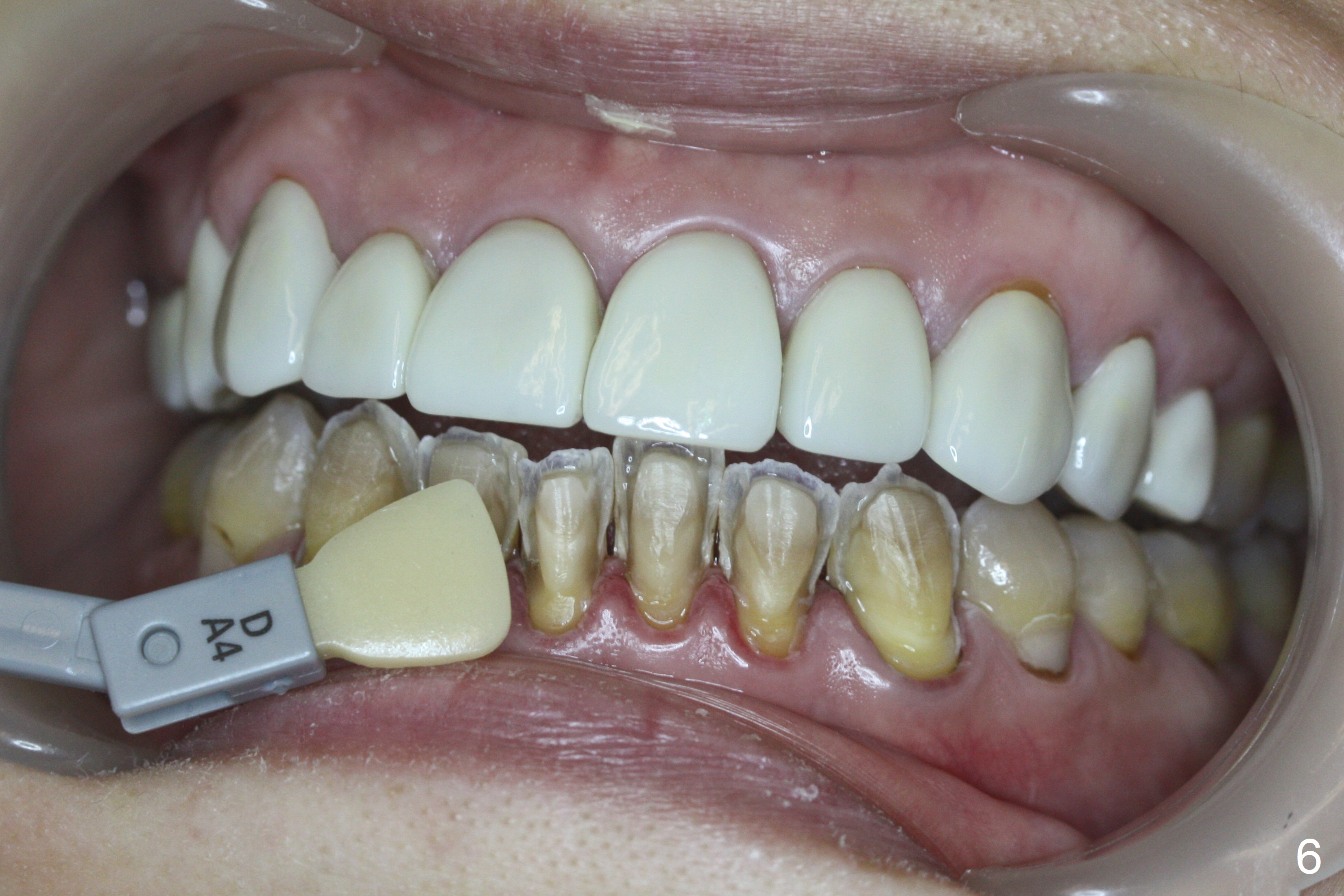
After prep (Fig.5), stump shade is chosen (Fig.6). Although B1 was selected for the upper veneers (Fig.7), the patient prefers to have A1 for the lower ones (Fig.8).
Return to
Assistants
Xin Wei, DDS, PhD, MS 1st edition 01/07/2017, last revision 08/02/2017