![]() |
![]() |
![]() |
![]() |
![]() |
![]() |
![]() |
![]() |
![]() |
![]() |
![]() |
Veneer Preparation
Preparation items: photos, impression, models, suction down stents, reduction ring, anesthetic or Cetacaine, double cords (1 piece), stump and regular shades.
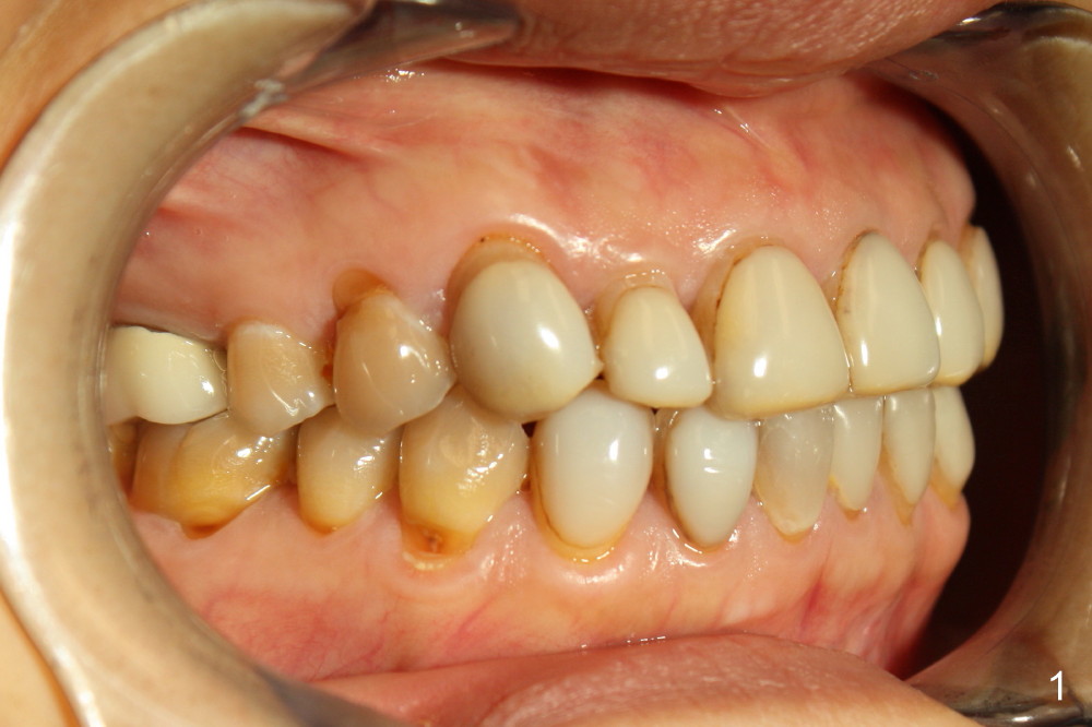
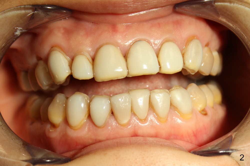
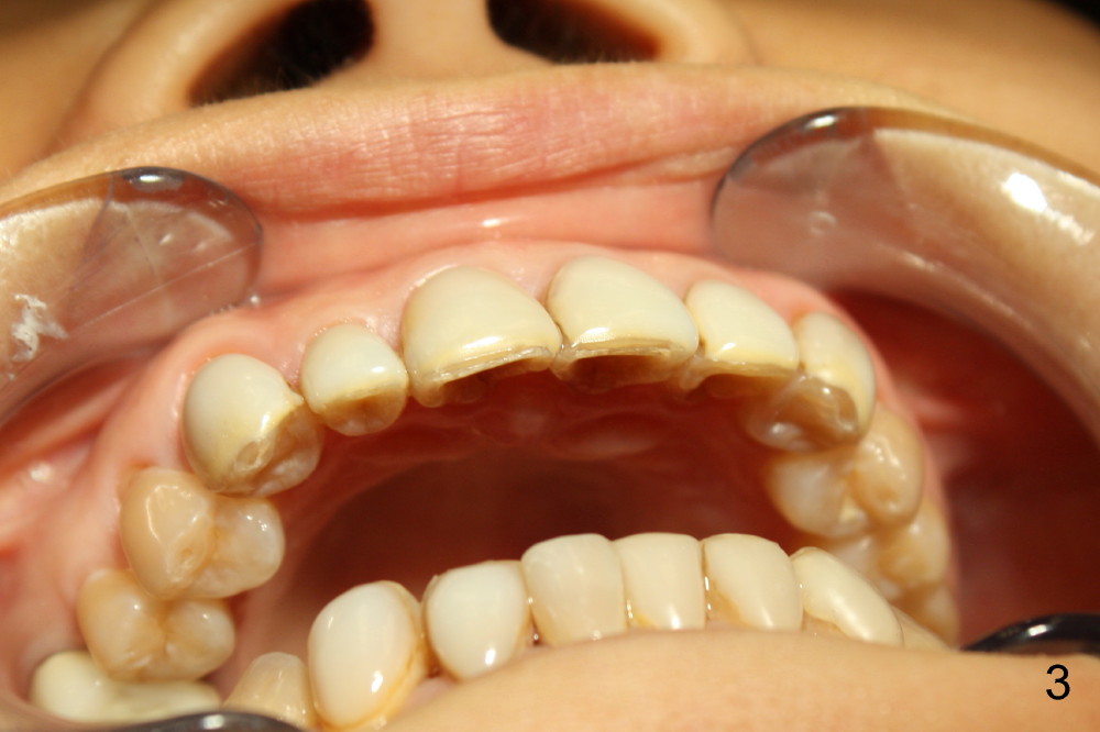
A 43-year-old lady has had composite veneers from the upper and lower canines to canines for ~ 20 years (Fig.1-3). Due to gingival recession, she requests porcelain veneers. The upper ones will be done first.
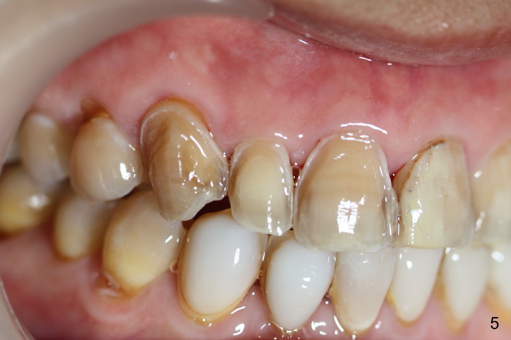
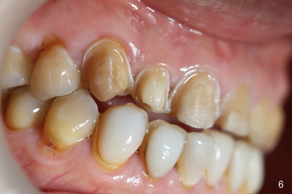
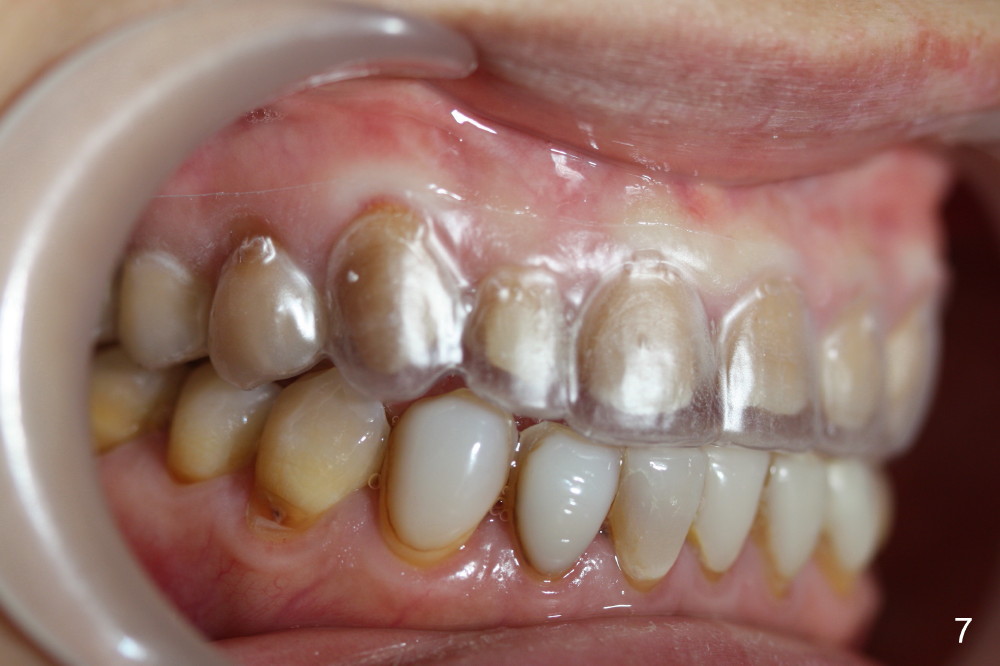
The composite veneers are removed (Fig.4). Initial labial reduction is finished from #6-8 (Fig.5), followed by incisal reduction (Fig.6). When prep for #6-11 is done, aa stent is tried in (Fig.7) for provisionals.
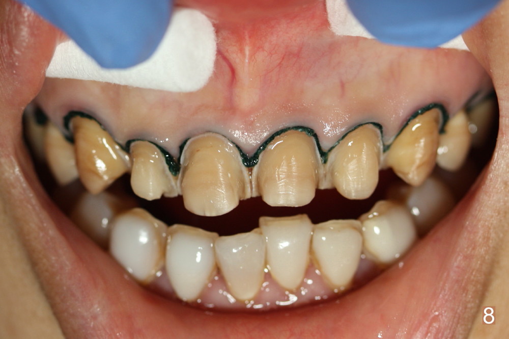
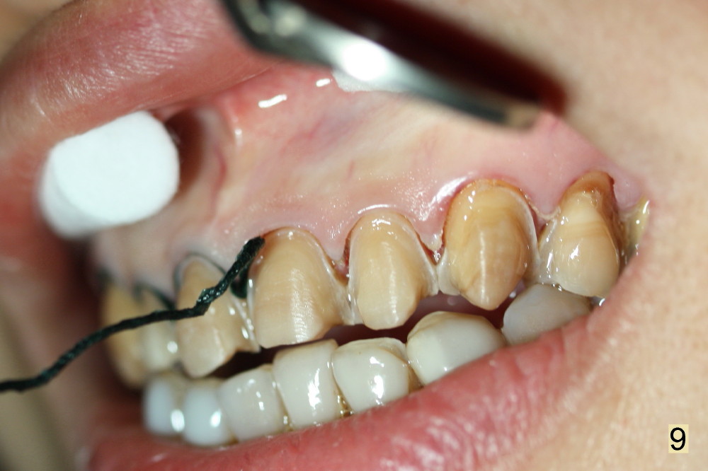
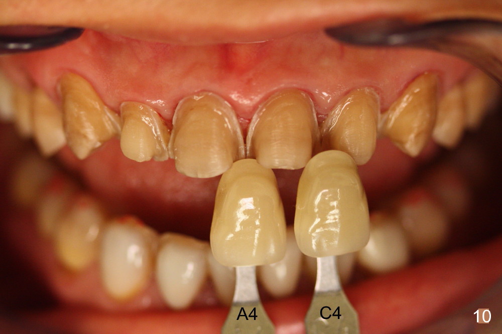
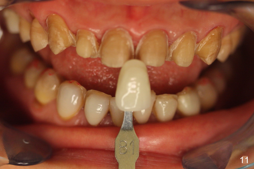
In the 2nd appointment, the upper premolars are also prepped and double cord technique is employed (Fig.8). When the 2nd cord is removed in 1 piece (Fig.9), PVS impression is taken, followed by stump (Fig.10) and regular (Fig.11) shade selection. One year post bonding, the patient wants to have veneers for the lower anterior teeth.
Return to
Assistants
Xin Wei, DDS, PhD, MS 1st edition 12/14/2014, last revision 01/07/2017