![]() |
![]() |
![]() |
![]() |
|
![]() |
![]() |
![]() |
![]() |
![]() |
Sinus Lift for Perio Patient
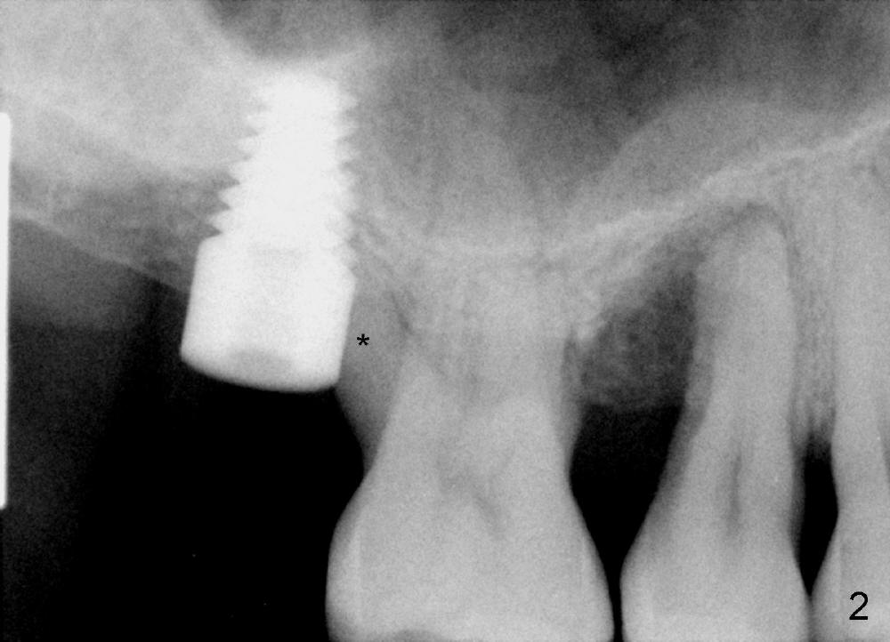
Mr. Kong is 43 years old. He has perio disease, for example #4 (Fig.1). The bone loss may be related to traumatic occlusion. The teeth #2, 14, and 15 are missing. Our primary goal is to restore these missing teeth as soon as possible. The bone height at the site of #2 is 5.8 mm. The Hounsfield units in the oral cortex, medullary and sinus floor are 400, 200 and 500, respectively. A trephine bur with outer diameter of 4 mm was used to start osteotomy (1,2). Probably due to limited access and dense bone, the trephine bur penetrated bone approximately 2 mm. A 2 mm pilot drill was used for further penetration, followed by 2.5-4.0 mm Bicon reamers for cylindrical osteotomy. A 4.5x11 mm tapered tap was used for bone expansion and sinus lift, followed by 5x11 mm tap (Fig.1). At higher magnification, it appears that the sinus floor had been lifted (Fig.1': *). A six by eleven mm tap was used. The apical end of the osteotomy felt to be intact and solid with a slender surgical curette. There was no sign of sinus membrane perforation, as confirmed by nasal blowing test. Harvested bone (from trephine bur and reamers) was pushed as apical as possible. A 6x11 mm implant was placed (Fig.2). It seems that taps/implant-related sinus lift increases the bone height to about 8 mm (Fig.2'). The thread portion of the implant is 6 mm. It appears that the 5x11 mm tap (Fig.1) and the 6x11 mm implant (Fig.2) invade the distobuccal apex of the first molar (*). Clinically there was some distance between them. Preop CT (axial section) may show the point (Fig.3: red circle stands for the implant; *: distobuccal apex of the first molar). The patient returns to office for follow up 1 week postop. The wound is healing normally around the stable implant. There is no percussion tenderness of the tooth #3. No bone resorption is observed 5.5 months postop (Fig.4), 7 months (Fig.5, Jan, 2015), 3.5 years (Fig.6) or 5 years 1 month (Fig.7) post cementation. At #14, bone height is 1-2 mm. Implant placement with sinus graft fails.
Assistants Sinus Lift #14 10-Year-Comparison Xin Wei, DDS, PhD, MS 1st edition 11/15/2013, last revision 06/05/2019