![]() |
![]() |
10-Year-Comparison
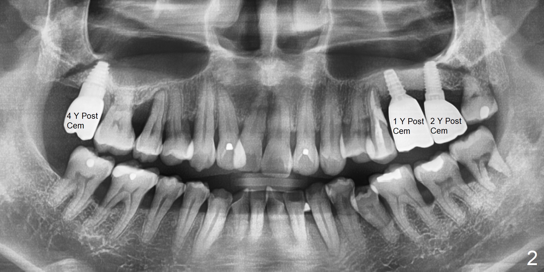
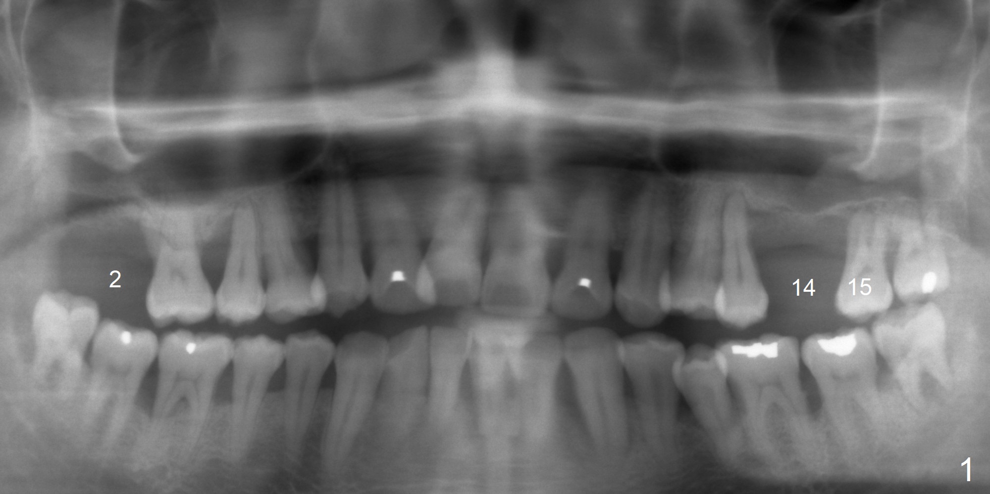
When a 38-year-old man presented to the office 10 years ago, there were 2 missing teeth #2 and 14 with 5.8 mm and 1 mm bone height, respectively (Fig.1). Later the tooth #15 was extracted. A 6x11 mm implant was placed with internal sinus lift at #2 first. Two of 5x11 mm tissue-level implant were placed with lateral window sinus lift at #14,15. The implant at #14 is loose 3 months post cementation and dislodges later. Four months post bone graft, a 5x7 mm IBS implant was placed with CMC technique. With progressive loading at #14, the crown functions 1 year post cementation with the thick bone (Fig.2 *).
Return to
Upper
Molar Immediate Implant
Xin Wei, DDS, PhD, MS 1st edition 06/03/2018, last revision 09/04/2018