![]() |
![]() |
||
![]() |
![]() |
![]() |
![]() |
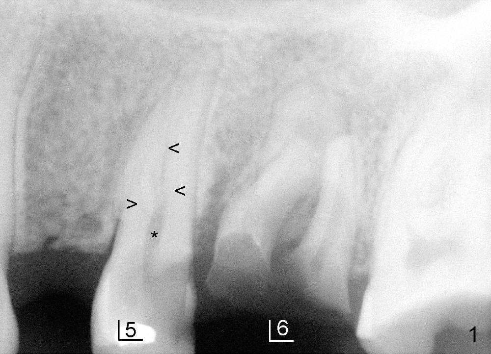
三个根管上颌前臼齿
上颌第一前臼齿一般有两个根管(颊侧,鄂侧),偶尔上颌前臼齿有三个根管,可发生于第一或者第二(本例),病人二十四岁,黑人,男,左上第二前臼齿(图一:5)髓腔(*)好像分成三个根管(箭头),仔细观察显示根尖也有三个(图二(图一放大)彩色轮廓与第一磨牙三个根对比:近中颊侧(MB),远中颊侧(DB),鄂侧(P))。因此有三个根管的前臼齿好像小型磨牙,不过颊侧两个根融合。
开髓时发现颊侧(图三B)髓腔比鄂侧(P)宽,根管口分布与上颌磨牙不差上下(图四),图三图四是镜影像。图五显示根管充填后:三个牙胶尖;AH26 Plus 糊剂超填(*),基本在第一磨牙牙槽窝(6)近中,第一磨牙两个月前拔除。根管治疗完成后九天糊剂(图六*)转移到第一磨牙牙槽窝远中,说明牙槽骨象蜂窝,糊剂,细菌自由来往,植牙周围不应该有感染。
下面文章写的更完全,不好意思浪费大家时间拜读上面短文。
www.endojamaica.com/downloads/ep_sept_
Xin Wei, DDS, PhD, MS 1st edition 05/04/2013, last revision 02/24/2018