![]() |
![]() |
![]() |
||
![]() |
![]() |
![]() |
![]() |
![]() |
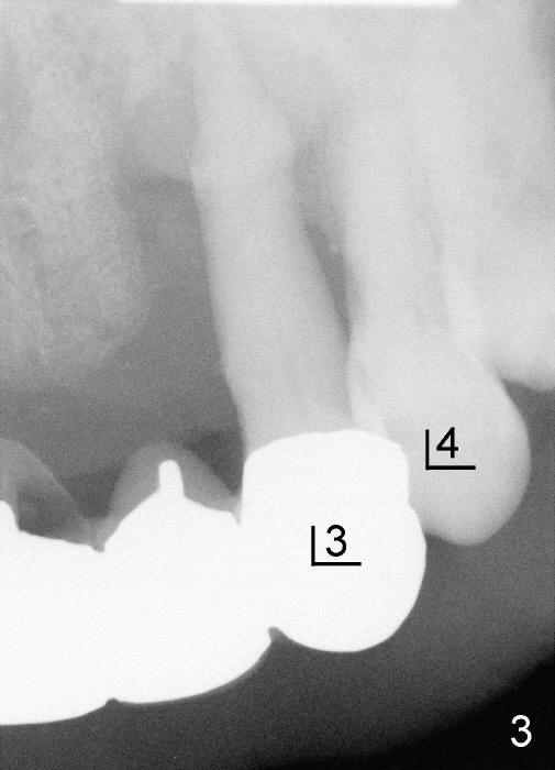
三个牙根的前臼齿
原来这个前臼齿有三个牙根(图四远中颊侧观):近中颊侧(MB),远中颊侧(DB),鄂侧(P),颊侧两个根之间有凹陷:颊侧(图五近中颊侧观:箭头),鄂侧(图六近中鄂侧观:*),凹陷处以及根分叉处充满牙槽骨,所以拔牙困难。
这种前臼齿牙根分布有点象上颌磨牙。颊侧两个根近远中宽度比鄂侧根宽(图四至图六),这个现象同样表现在X光片上(回到图一,图二),图七,图八是图一,图二放大,显示颊侧根(MB和*)比鄂侧根(P)宽,图八红线代表颊侧根根尖,黑线鄂侧根根尖。
知道这个解剖特点,对于拔牙(勇敢分根)和根管治疗(不遗留根管)都有帮助。
Xin Wei, DDS, PhD, MS 1st edition 05/04/2013, last revision 05/04/2013