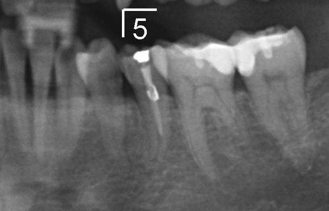
图三放大显示左下五根管弯曲,根管充填没有进入根尖,回
原文
Xin Wei, DDS, PhD, MS 1st edition
02
/
0
2/201
3
, last revision 02/02/2013