![]() |
![]() |
![]() |
|
如何选择Rotary Files
方老师:您好!谢谢再次回答,在日常工作中,我尽量用最粗rotary file(汪贻静:实在对不起,我第一,图方便,打英文快,第二,中文不好,不知道怎么翻译rotary file):选择40号,而不选择30或者20号,至于taper(锥度),尽量选择.06,而不是.04。但是如果根管长,又弯曲,我就不坚持原则了。昨天遇到这种情况,您能告诉我这样行吗?www.xinweidds.com, Professionals, Classmates, 根管治疗Column下,如何选择rotary file。谢谢。最后再向您暴露我第三缺点,专业知识不够,如果您用第一次用英文缩写,一定要全写(spell it out),第二,比较难的概念,不妨多解释些(如果您有时间),即使我非常熟悉的东西,我也会乐意读一遍。好了,让我转达汪贻静的message:
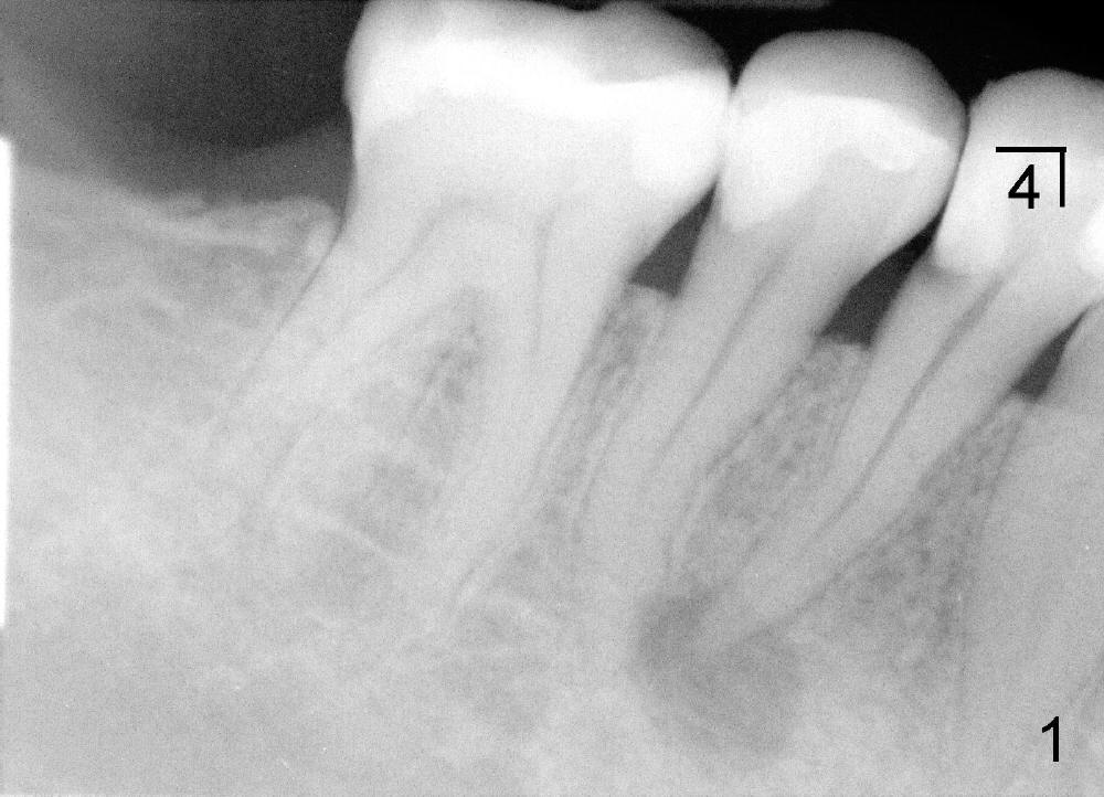
言归正传,五十一岁女人昨天第一次来诊所就诊(急诊),去年十一月在别的诊所右下第一双尖牙远中做树脂修复,术中发现穿髓,术后不时,现在颊侧根尖有压痛,根尖片显示根尖阴影(图一),多谢田智敏几天前指导,现在看根尖片,多注意些根尖弯曲,根管治疗中,不由自主地事先弯曲细小根管锉(hand files),一点没有问题,一直使用到二十号根管锉,根管长度21.5毫米(working length (WL)),下颌第一双尖牙一般单根,属于大根(方老师见解),接着用40/.06 rotary file(用了几年rotary files,大多数根管治疗好像不需要按部就班地使用crown down 技术:例如先用40/.10 rotary file,然后40/.08, 再用40/.06),问题在于这个rotary file只能进入十七毫米,突然在梦中清醒:根管是弯曲的。由于急诊时间紧,接着使用30/.04 rotary file,能达到WL,然后让漂白液浸泡根管十到二十分钟,去处理另外一个病人。回来后用30/.06 rotary file也没有问题,反复冲洗后,吸干根管,放置Ca(OH)2糊剂(图二:超冲些)。如果下次病人回来时没有疼痛症状,冲洗掉Ca(OH)2糊剂,便使用30/.06主牙胶尖充填,重新做树脂修复(老的有leakage),如果新的树脂没有leakage(拍摄X光片),我可能同意病人意见:不做牙冠。仿佛这例牙冠必要性不大。方老师,田兄,或者任何人:您们怎么处理这样病例?图三是以前拍摄的全景片,显示左下第二双尖牙根尖够弯曲的。
Xin Wei, DDS, PhD, MS 1st edition 02/02/2013, last revision 02/03/2013