![]() |
![]() |
![]() |
|
![]() |
![]() |
![]() |
![]() |
![]() |
|||
断针处理
二十九岁辛小姐张口时左下颌骨疼痛要求治疗,出国前左下第一磨牙杀神经(图一),近中有断针(箭头),牙齿有扣痛,我们建议专科诊治,但是她不肯去。只好打肿脸孔充胖子,似乎从来没有处理过别人造成的断针,不知断针在颊侧还是舌侧。事先讨论过各种并发症,特别是TMD,根管治疗重做时间长,可能加重TMD,病人仿佛理解。心想最坏拔除植牙。
第一第二磨牙牙冠连在一起(图一;*:第二磨牙牙冠远中边缘坐在银汞充填物上),首先除去第一磨牙牙冠和冠髓腔松软充填物,后者有若干年久违丁香油气味,很容易找到远中颊舌侧(DB, DL)根管口,扩大也没什么问题(直到30/.06)。扩大针容易插入近中颊侧根管(MB),但是根尖三分之一有些阻塞,近中舌侧根管(ML)冠三分之一就阻塞,说明断针在舌侧根管,用Piezo超声波和diamond tip扩大近中舌侧根管口,也使用二号Gates-Glidden,然后使用C6, 8 扩大针慢慢地通过断针(bypass),最困难却是根尖三分之一阻塞部分(颊舌侧,尤其是舌侧),可能是断针原因。
远中根管插入两个30/.06主牙胶尖,二十号,八号扩大针分别插入近中颊侧,舌侧根管(图二),拍摄根尖片(图三),近中舌侧扩大针还没有达到根尖,但是没有出现问题(例如perforation)。取出近中扩大针,再次拍照(图四),远中主牙胶尖冠部比较平行,不互相干扰(access比较大方:尽可能大些),而根尖处牙胶尖好像融合(图三)。
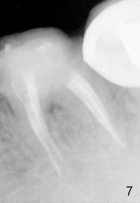
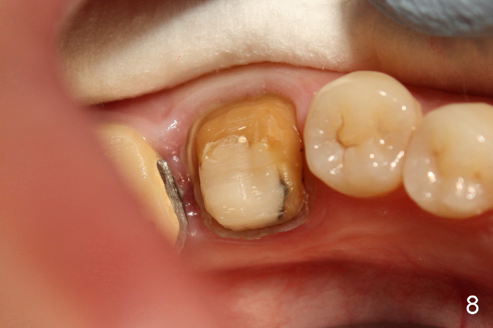
近中根管扩大麻烦,只能慢慢来,逐渐失去working length,X光片证实(图五:MB:30/.06主牙胶尖; ML:十号扩大针),之后继续努力,向根尖进军。近中舌侧根管主要使用hand files,直到三十号,尽量往侧壁拉,让断针松弛,最后利索通过rotary file 30/.06一次,充填前再拍摄一张根尖片,希望无意中断针被冲洗出来(病人期待能把断针取出,她胆小,好不容易下定决心重做根管治疗),结果白日做梦,断针还在原处(图六),偶尔能取出自己造成断针,这次却不行,反正丑媳妇不怕见公婆,在二点五倍loops下,断针始终看不见。最后完成根管充填(四个根管都用30/.06主牙胶尖)和buildup(图七),充填好像不尽人意,这时精疲力竭,好在病人还感激,接着制作临时牙冠,打发病号。术后一两天病人还有些疼痛,只好观察,后来把她忘却。今天术后两周她突然回诊所,昨天把临时牙冠咬断(图八),我们重做临时牙冠,用永久性粘固粉,她准备明年做两个牙冠,想充分使用牙科保险钱。最振奋人心的是她张口痛完全消失,看样子术前没有TMD,虚惊一场。
根管治疗重做虽然辛苦,但是收买病人的心,但愿她成为我们终身病人。有植牙做后盾,再难手术也无所畏惧了。
Xin Wei, DDS, PhD, MS 1st edition 04/17/2013, last revision 04/18/2013