![]() |
![]() |
![]() |
|
![]() |
|||
![]() |
![]() |
![]() |
|
![]() |
|||
怎么找植牙病例?
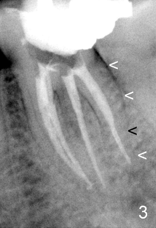
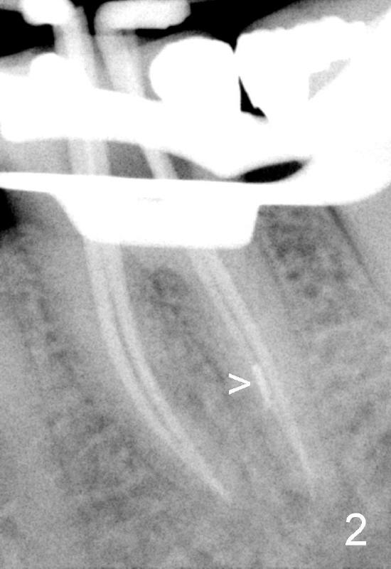
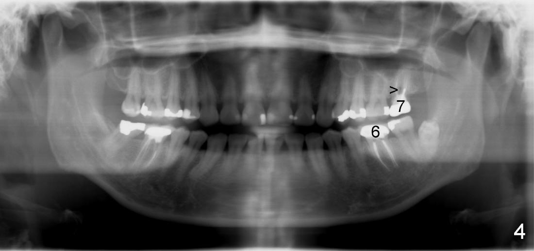
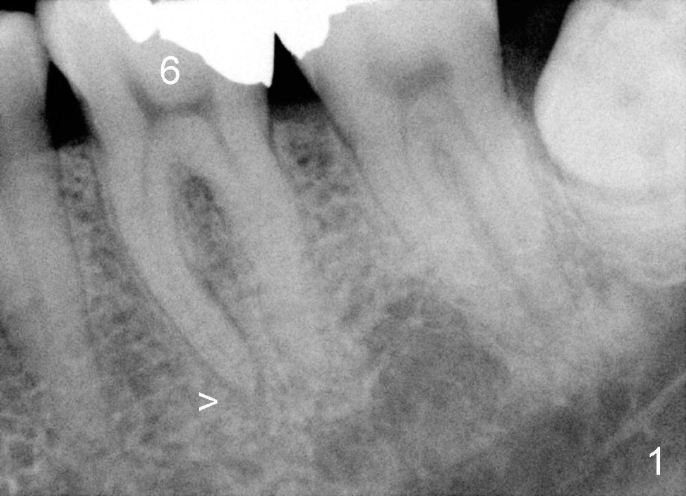
其实本文题目是如何让植牙病人找上门。冯女士四十二岁,四五年前因左下六牙痛第一次登门就诊,X光片显示牙根很长(图一),近中根根尖有阴影(>),那根牙根弯曲,总之,稀里糊涂开始根管治疗,结果有四根根管(图二),又长又弯,远中舌侧根断针(>),但是重新通过,辛辛苦苦完成根管治疗时才发现远中舌侧根弯弯曲曲(图三箭头,黑色箭头指向原来断针)。这些年来这颗牙齿没问题,但是左上七号牙老是发炎,全景片表明那颗牙齿根分叉处有阴影(图四箭头),一直劝她拔牙,植牙,上个月她终于同意拔牙,准备年底植牙。只有认认真真为病人解决痛苦,才能赢得他们信任,一旦他们需要进一步治疗,也会乐意开口。根管治疗做起来吃力,但是最能显示赤胆忠心。做好根管治疗是开展植牙第一步,愿意保留牙齿的人,视牙如金,如果我们尽力而保留不了,他们还是愿意更上一层楼;轻易拔牙的病人很少后来回来做植牙。
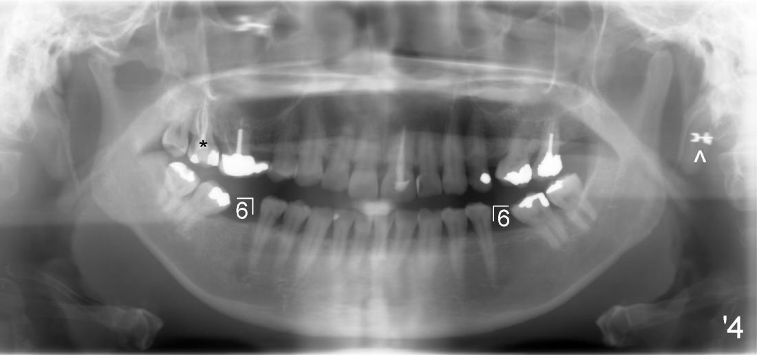
五十一岁Junita牙齿不好,右上有一个悬臂桥(图一’:5.6),她要找一位医生能解决她所有的牙科问题:右上7牙髓炎(图一’),右下,左下6植牙(图’四)。她最大问题是害怕牙科治疗,根管治疗中不太配合:牙胶尖插入后拍摄X光片,位置不对,没有显示根尖(图二’),最后根管充填效果尚可(图三’),疼痛没有了,病人的心被我们收买了,接着我们准备分期给右下,左下6植牙,但是她坚决反对,要求一次完成两个植牙,因为她非常怕痛,对钻耳环洞都害怕极了,做了一个耳环(图’四:箭头),再没有勇气回去做第二个。好了,明天做二个植牙,到时向大家汇报。这位胆小病人上战场时胆怯了,迟到一会儿,说她不愿意左右各做一个植牙,影响吃饭。由于右下近远中间隙比左下大些,我们先做右下植牙,回学术讨论园地
Xin Wei, DDS, PhD, MS 1st edition 12/03/2012, last revision 12/10/2012