![]() |
||
![]() |
||
![]() |
![]() |
![]() |
This is not a Simple Implant Placement
A 50-year-old man needs comprehensive restoration; our first goal is to place an implant at the site of #19 (Fig.1). The surgery is not complicated (Fig.2 I; 6x17mm). The implant appears to have osteointegration in 6 months (Fig.3), but restoration is challenging.
After the challenge is tackled, a definitive restoration is cemented. There is cortical bone formation around the implant 1 year post cementation (3 years postop, Fig.4).
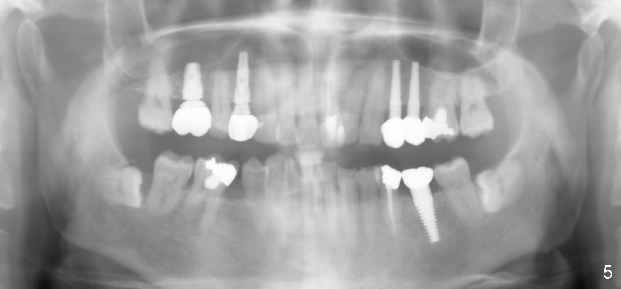
There is no relapse of intrusion for 2 years (Fig.5; also 2 years (for #12,13,30) and 7 months (3,5) post cementation).
Xin Wei, DDS, PhD, MS 1st edition 05/21/2013, last revision 05/02/2017