![]() |
![]() |
![]() |
![]() |
|
![]() |
![]() |
![]() |
![]() |
|
![]() |
![]() |
![]() |
![]() |
|
![]() |
![]() |
Return to Implant & Ortho
2 Final Pan |
Molar Intrusion
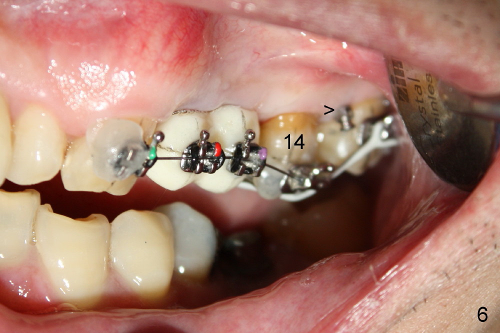
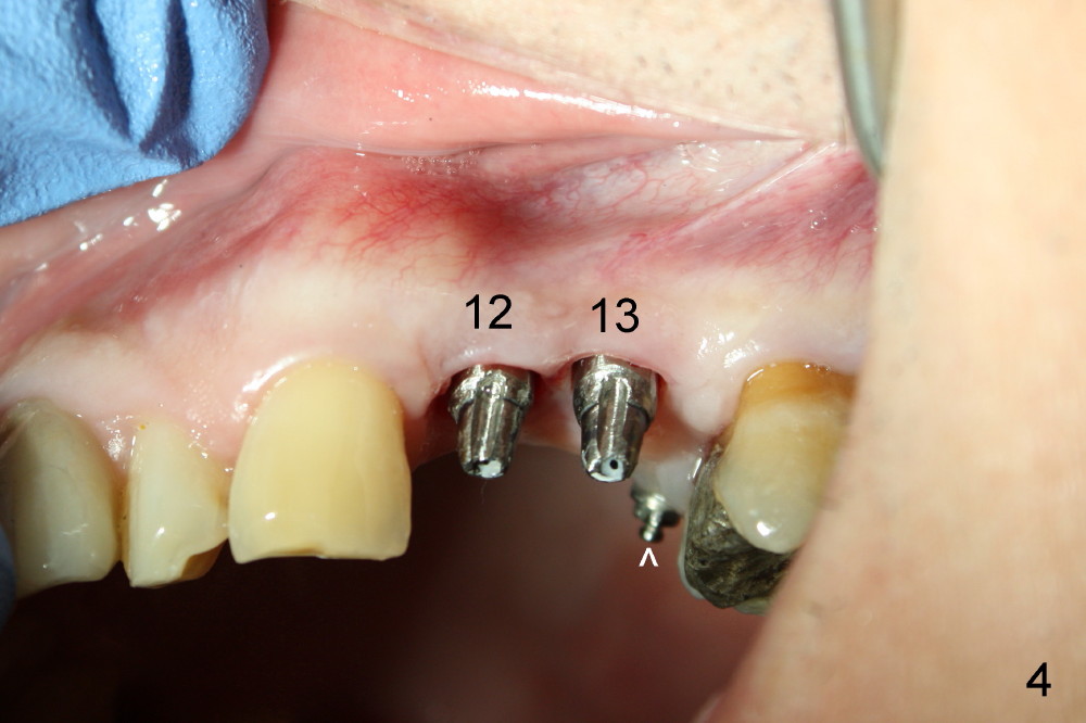
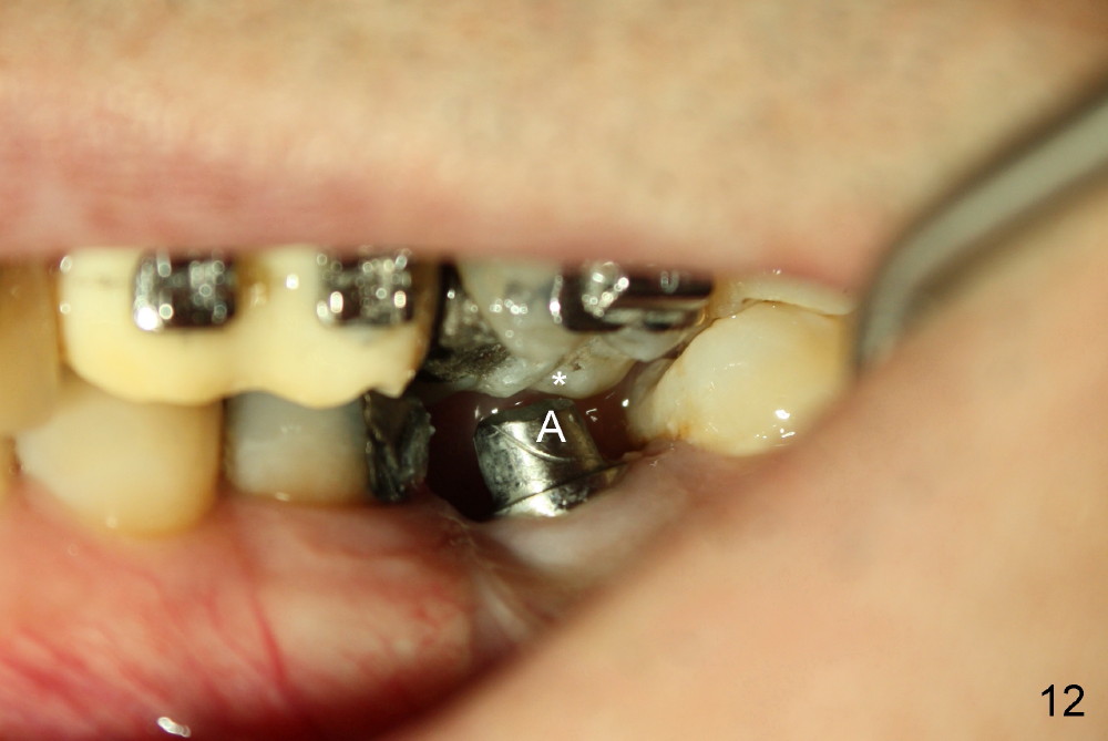
A 51-year-old man needs implants at the sites of #12,13,19 (Fig.1). The teeth #12 and 13 are extracted. An implant is placed at #19 (Fig.2 <). After osteointegration, an abutment is placed (Fig.2 A). The opposing tooth, #14, is found supraerupted. Two mini-implants are placed at the mesiobuccal and distolingual areas of #14 (Fig.3 (mirror view) <) and a power chain (*) is placed for intrusion. In the next 8 months, these 2 mini-implants become loose. Two new mini-implants are placed in the mesiolingual and distobuccal regions (Fig.4 ^). The one in the distobuccal region is loose after a while (Fig.6,7 >). In brief, mini-implants are not efficient in intrusion. At this time, the implants at the sites of #12,13 apparently osteointegrate (3 months post placement) and abutments are placed (Fig.4). Provisional crowns are fabricated (Fig.5). Brackets are placed between #11 and 15 with the bracket at #14 placed more coronally than those of the neighboring teeth (Fig.6-8). Mesially there are two excellent anchorages (#12,13) as well as the mesiolingual mini-implant. The distal anchorage is #15. In the next 5.5 months, the tooth #14 is intruded (Fig.9,10), but the 2nd molar is mobile (not as strong as #14). A longer mini-implant is placed in the distobuccal corner (>, more apical than before (Fig.7)). The distobuccal mini-implant is found to be mobile in 3 weeks (Fig.11). It appears that there is enough clearance for restoration of #19 (Fig.12). Power chains are placed between the mesiolingual mini-implant and #14 buccal tube until the appointment for crown prep. In this way, the lingual cusps may ascend (Fig.13 red arrow), while the buccal ones may descend (black arrow). The occlusal clearance will be more favorable.
Traditionally a pair of mini-implants are an effective method for intrusion. When they are not, limited orthodontic treatment should be supplemented.
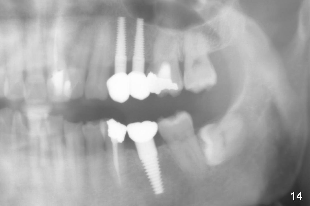
There is no relapse of intrusion for 2 years (Fig.14; 2 years post cementation for #12,13,30).
Xin Wei, DDS, PhD, MS 1st edition 08/26/2014, last revision 05/02/2017