![]() |
![]() |
![]() |
![]() |
Transverse Deficiency
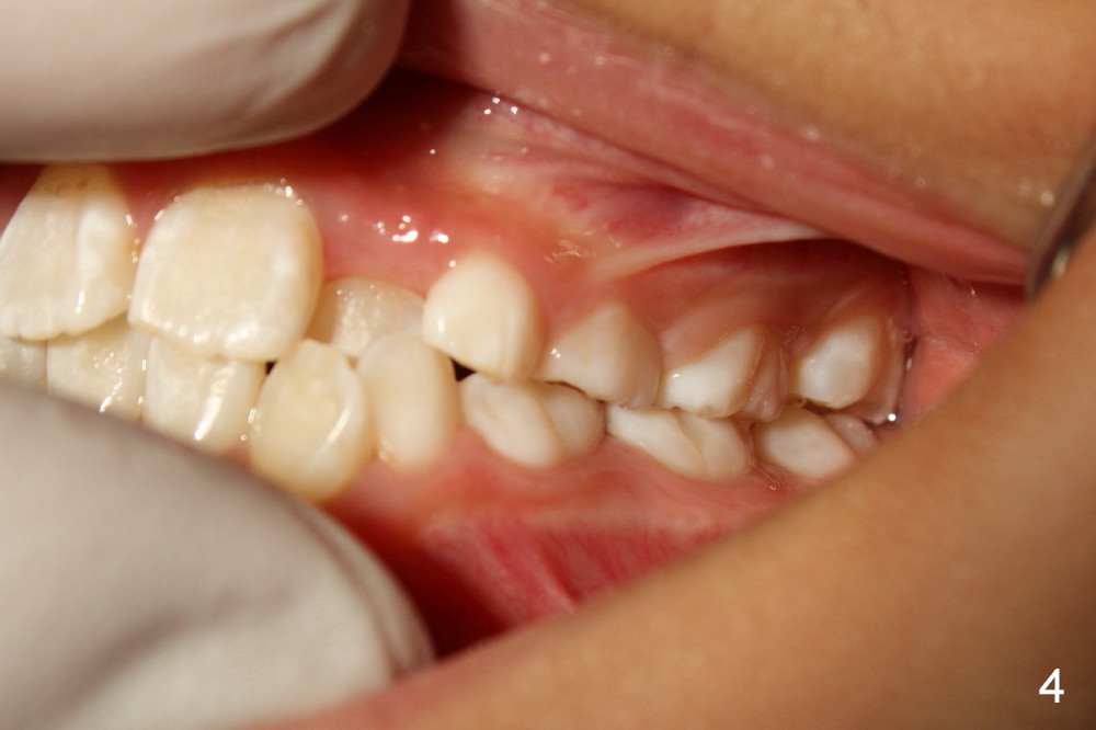
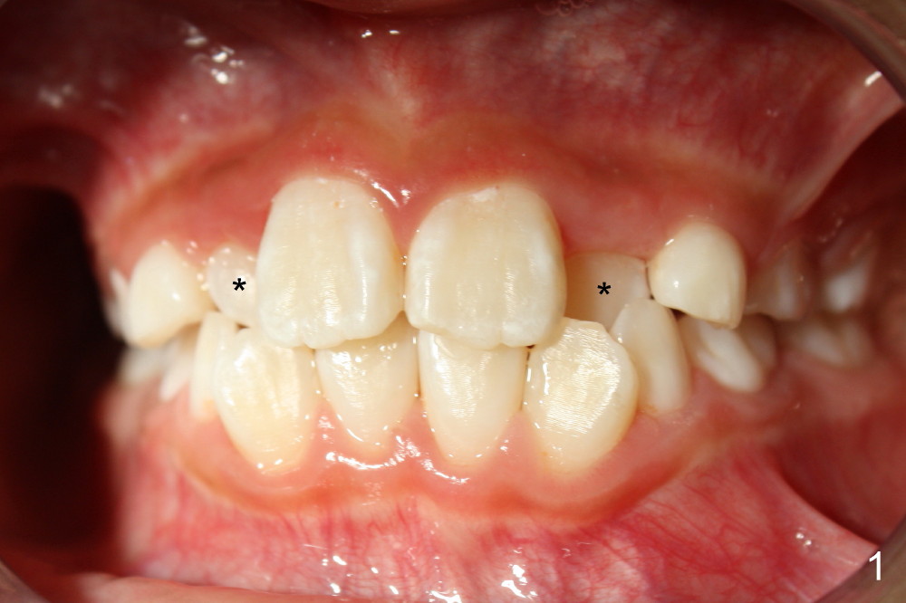
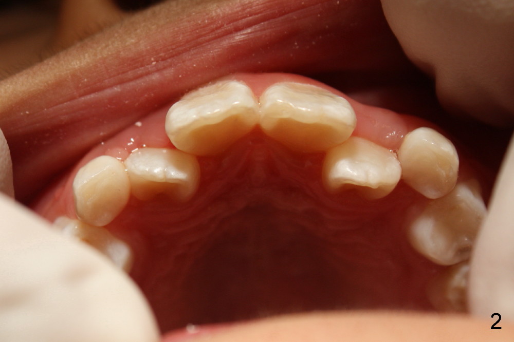
Six months earlier, the tooth #7 is erupting lingually. Now at the age of 8, both of the upper lateral incisors are in cross bite (Fig.1*). It appears that the cross bite is due to jaw deficiency in anteroposterior direction. In fact, these two laterals are blocked because there is not enough space transversely (Fig.2). Posterior occlusion is Class I bilaterally (Fig.3,4). The lower incisors are also crowded. Therefore early comprehensive orthodontic treatment has the most important component: palatal expander. In our previous case, unilateral cross bite resolves rapidly after the palate is expanded.
Xin Wei, DDS, PhD, MS 1st edition 06/10/2014, last revision 06/10/2014