![]() |
![]() |
![]() |
||
![]() |
![]() |
![]() |
![]() |
![]() |
![]() |
![]() |
![]() |
||
Early simple Ortho of Single Tooth Cross Bite
Devon's 9-year-old sister has basically normal tooth alignment, whereas 4-year-old sister has single-tooth cross bite (Fig.3 D, deciduous lateral incisor). Other than that, the younger sister is fine (Fig1, upper occlusal) with normal spacing between deciduous teeth (Fig.2 (lower occlusal): *).
When Devon is 5 years old, there are no spaces between the deciduous teeth (Fig.4-6). The developing upper central incisors are deviated from the midline and off angle (Fig.4: black lines, as compared to Fig.1). Two upper deciduous lateral incisors are in cross bite (Fig.6). LR6 (lower right permanent first molar) rotates (Fig.7 *, as compared to normal LL6 in Fig.8).
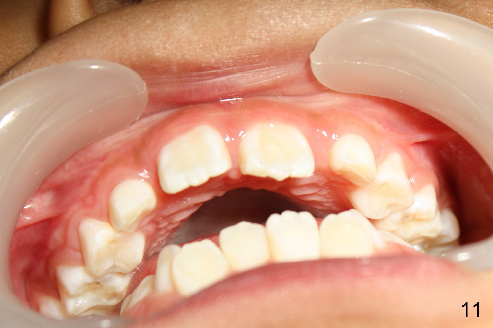
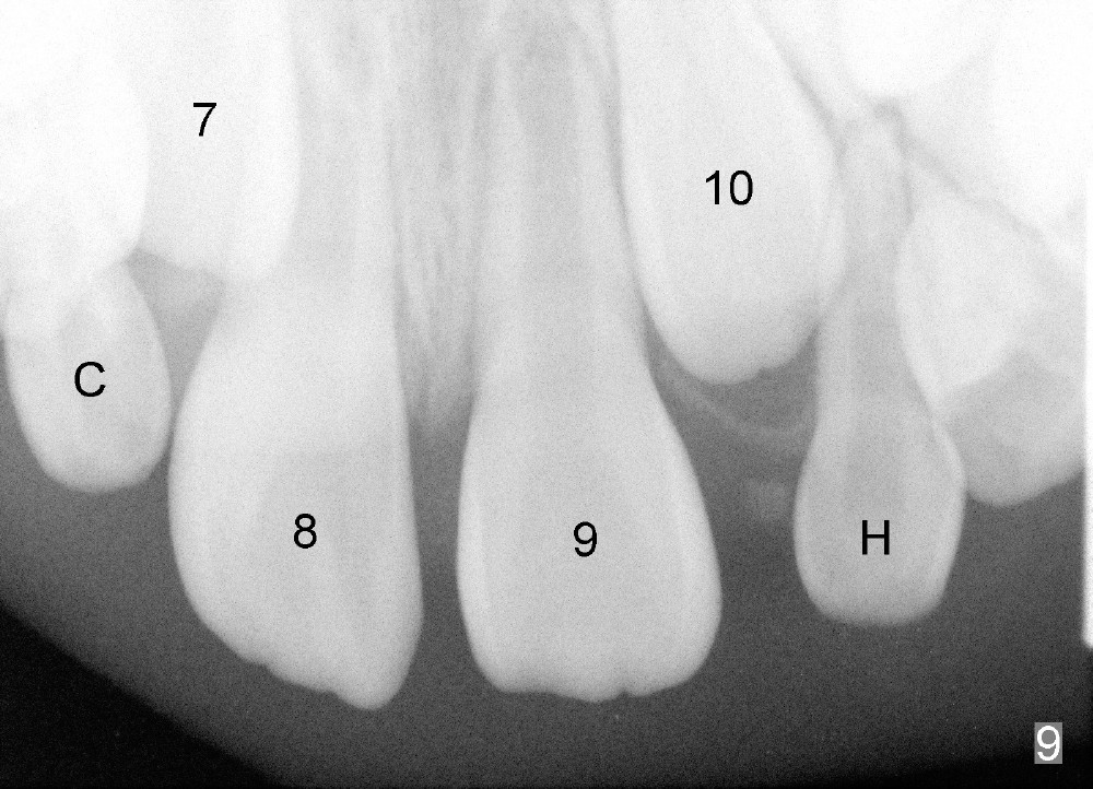
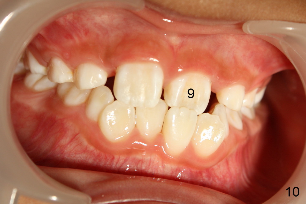
Now Devon is 7.5 years old. There is diastema between the centrals (Fig.9). #9 is in cross bite (Fig.10,11), while the lower incisors are crowded.
What should we do? What did we do?
早期矫正?
Devon(男孩)的姐姐(九岁)牙齿基本整齐,四岁妹妹有轻度不齐,例如右上乳侧切牙反合(图三:D),除此之外,发育正常,例如出现乳牙间隙(图二:*)。
当Devon五岁时,没有乳牙间隙(图四至图六),正在发育的恒中切牙不仅远离中线,而且角度不对(图四:斜线,与图一:8,9(恒中切牙)比较)。乳侧切牙反合(图六:D, G)。右下第一恒磨牙扭转(图七:*,与图八:左下相应牙齿对比)。
现在Devon七岁半,中切牙之间缝隙大(图九至十一:8,9),乳侧切牙已经脱落,但是没有足够间隙让恒侧切牙(图九:7, 10(C, H:乳尖牙))萌出,左上中切牙反合(图十:9),下切牙拥挤。
病儿妈妈意识到问题严重性,同意做必要治疗。早期(一期,phase one ortho)治疗目的:扩弓,矫正反合和拥挤,让上侧切牙正常(而不是舌侧)萌出,预计半年左右完成,然后做必要retainers,二期矫正可能性也讨论过。
我做的很简单,用光敏树脂将相对应的下切牙堆高一点,打开咬合,让反合的中切牙咬在树脂的唇侧,二个礼拜就出来了,然后分次磨除树脂就可以了。这里的技巧,在于1 用二个或三个下切牙,合力和单根牙牙周膜的问题,2咬合不要抬的太高能够达到上颌中切牙咬在树脂的唇侧就行了,对于是一个翘翘板。至于扩弓排齐牙齿没有必要,孩子还小,目前解决个别牙的反合就行了,因为反合很浅,容易解决。我这是傻人说傻话。小建议供参考。不知在美行医,这样是否影响赚钱。汪贻静 Monday, July 22, 2013 1:11 AM
好主意,首先我会与家长商量。赚钱不重要,简易矫正二医学过,是我唯一做过的病例。不过不做比较复杂矫正:扩弓,上侧牙可能也会反合。我更想证实这个理论,其实一位正畸大夫不同意做早期矫正(另外一个病例),他好像也没有告诉我原因。或者原因与您一样(已经发表,www.xinweidds.com,Professionals, 在Ortho column下面,打开倒数第二篇文章:Create spaces for lateral before eruption)。一旦我放弃,家长一般高枕无忧,我们便失去良机,以后矫正事倍功半(可能偏见)。谢谢建议。
您方法一定见效,我的疑问是如果以后两个侧切牙也反合,而且没有间隙向唇侧移位,还不如现在扩弓,矫正中切牙反合,为侧切牙萌出创造良好基础。谢谢各种各样建议,我总会选择一个,以后向大家汇报。
言之有理,下次见。
Xin Wei, DDS, PhD, MS 1st edition 07/16/2013, last revision 08/25/2013