![]() |
![]() |
|
![]() |
![]() |
|
![]() |
![]() |
|
![]() |
![]() |
简易反合矫正
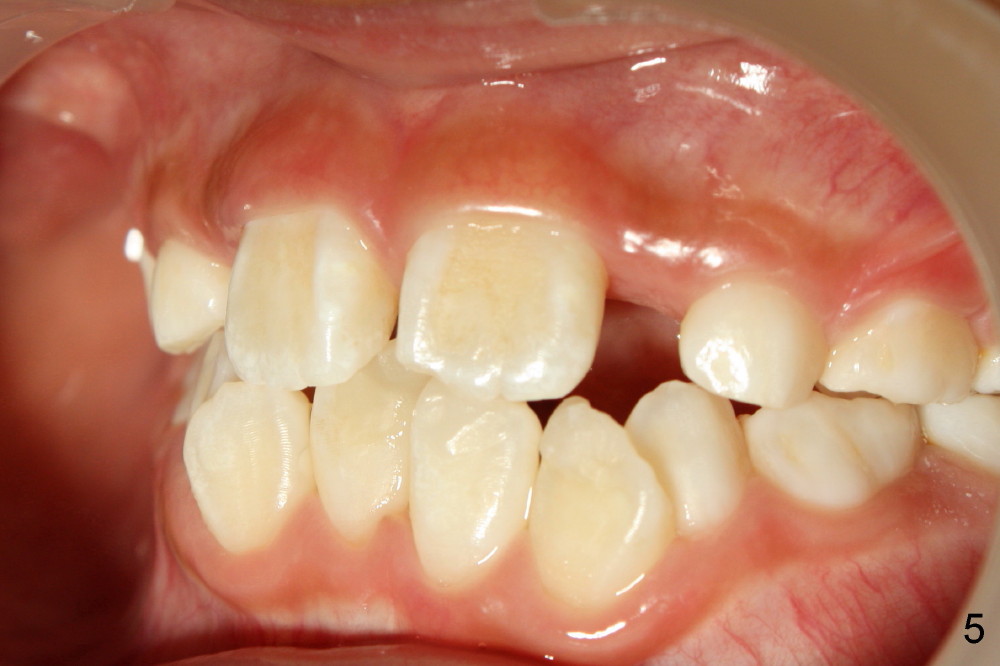
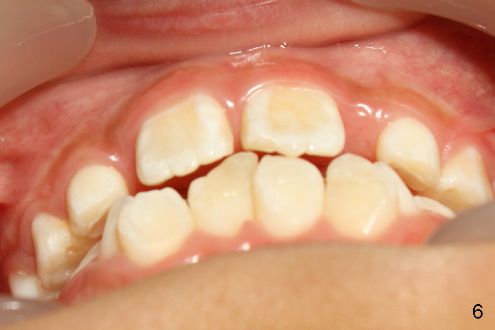
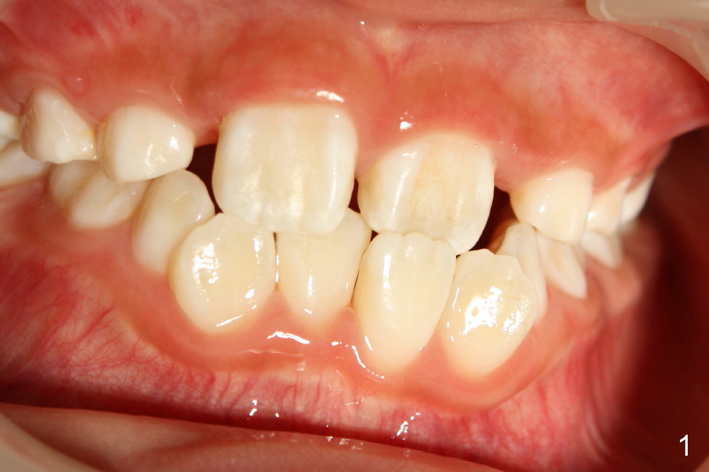
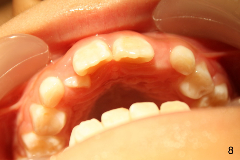
七岁半男孩单个中切牙反合(图一),在汪贻静建议下,在两个下中切牙切缘放置树脂(图二),当他闭口时,左上中切牙位于树脂唇侧(图三,四)。处理方面有问题吗?
但是当他有意下颌往前移,反合仍然形成。好像前牙反合与后牙反合有个下颌滑动问题。
三个星期后,左上中切牙已经往唇侧移位,反合矫正,树脂造成的开合消失(图五,六,与图三,四对比)。
汪医生:好久没听到您的动静,但愿您再次出来。Xin
惭愧,一直在注意大家的邮件,你上次哪个个别牙反合的病人治疗效果任何,有效果吗。汪贻静
效果很好,其实前一段向您汇报,现在能请您到我的网站看,不来信,以为您身体欠佳。看样子您还好。Xin
我看到你的病例。很高兴,没有误导,不知道是否影响收入,我的诊所刚刚开张 病人不是太多,可能需要一个过程。想听听你的经验。汪贻静
不影响收入,最关键的是让病人或者家长高兴,以后可以做更多治疗。这是经验之一,很惭愧的是自己也在摸索阶段。你思路好,能做许多治疗,病人不需要多,关键做什么,治疗成功如何,慢慢病人会多起来。我们八年来一直在当地报纸写科普文章,效果很好,病人以为我是个大专家。我坚信你是大器晚成。不久我再向你汇报其他病例。十月底到上海聚会吗?Xin
十月下旬上海展会我要去的。我看到你的一个正畸病例。上颌侧切牙舌向错位,间隙也不够,你用什么方法将这个病人侧切牙拉出来的。汪贻静
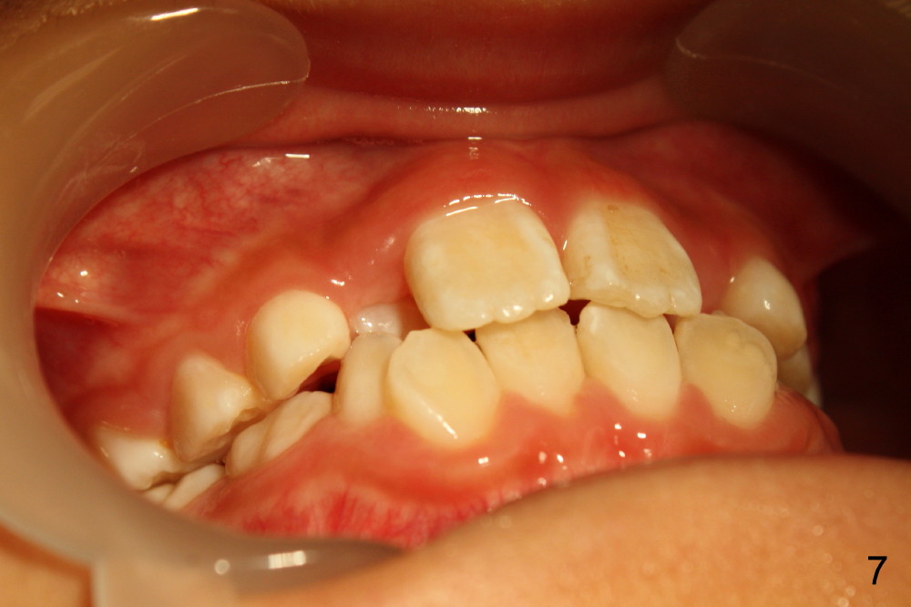
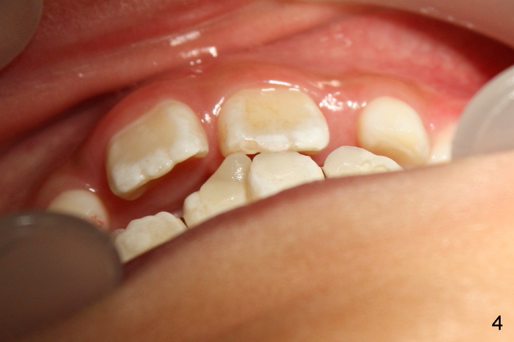
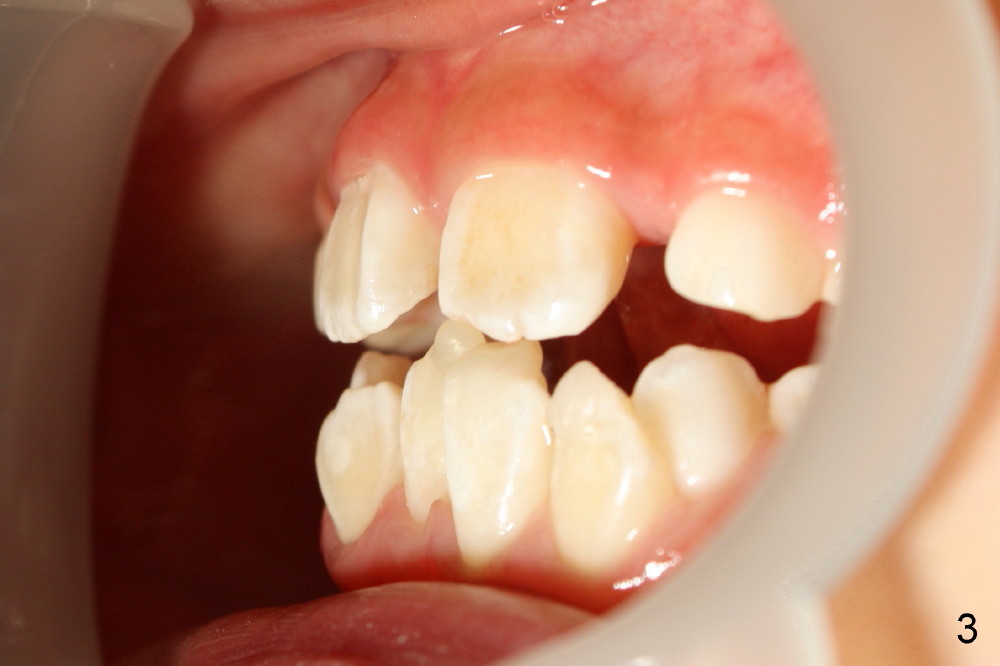
小病号树脂反合矫正后四个月复查,中切牙反合没有复发,但是右上侧切牙没有空间萌出(图七,八),左上侧切牙间隙也不够,下切牙也拥挤,现在应该扩弓?他快八岁了。
Xin Wei, DDS, PhD, MS 1st edition 08/05/2013, last revision 12/26/2013