|
|
![]() |
![]() |
![]() |
![]() |
![]() |
![]() |
![]() |
![]() |
![]() |
![]() |
![]() |
![]() |
![]() |
![]() |
![]() |
![]() |
Crowding, Extraction, Sling Shot, and Torque
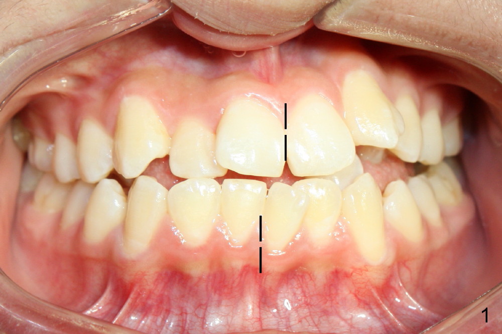
David, 16 years old, has severe crowding, midline deviation (Fig.1: dashed lines), and UL2 complete blockout (Fig.3: 2). Orthodontic treatment starts with extraction of four of the 1st bicuspids (Fig.2,3: .014 Niti).
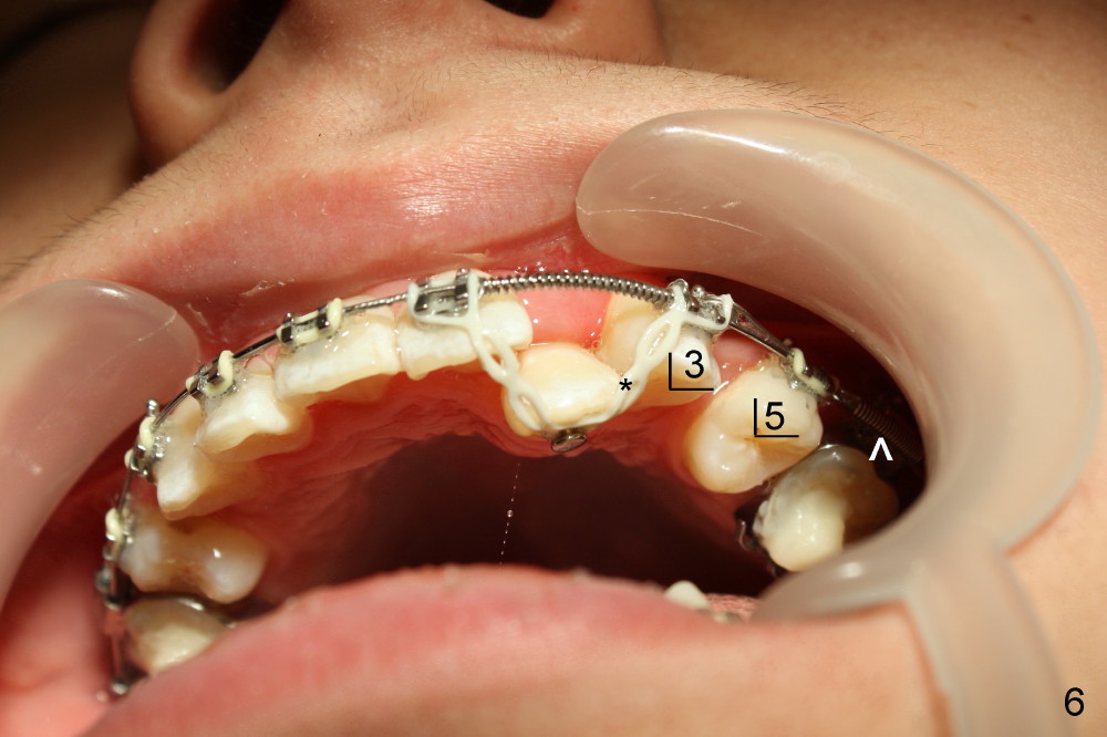
Five weeks later, .018 ss wires are installed with open coil spring between UL 1 and 3 and power chain between UL 3 and 7 (Fig.4). Three months post-bracketing, space is being created for UL 2 (Fig.5). Four months post-bracketing, a lingual button is placed on UL2 with power chain x7 (Fig.6: sling shot); Pletcher's spring between UL 3 and 7 (^).
Five months into treatment, cross bite of UL2 is corrected (Fig.9); there is no space between UL3 and 5, but there is space between UR 3 and 5.
One month of closed coil spring (150 gms-9mm) (Fig.10 >, mirror image) results in the closure of the space between UR3 and 5. At the same appointment, there is enough space for UL 2 (Fig.11, mirror image). Notice the rotation of UR 3 due to retraction of the closed coil spring (Fig.10). It is immediately corrected when a rotation wedge is placed on the mesial of UR3 (Fig.12 *). However, there is an instant separation of UR 3 and 5. The closed coil spring has to be used (Fig.12>).
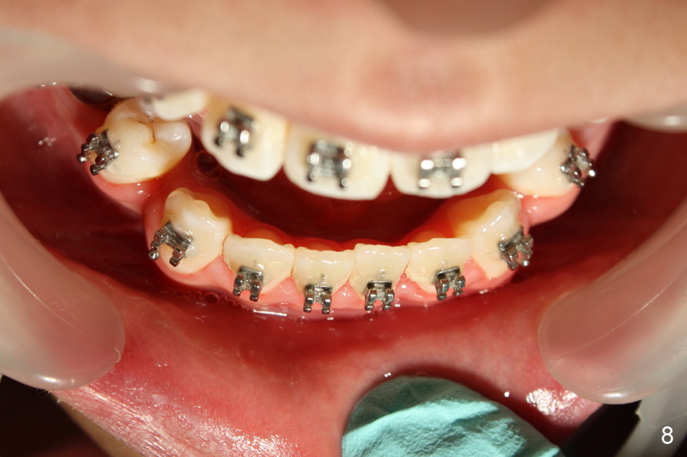
Correction of crowding for the lower anterior region is much easier. A rotation wedge is placed about 1 month post bracketing (Fig.4 (photo taken 2 months post bracketing)). Progress of correction is shown in Fig.7,8 (4,5 months post bracketing).
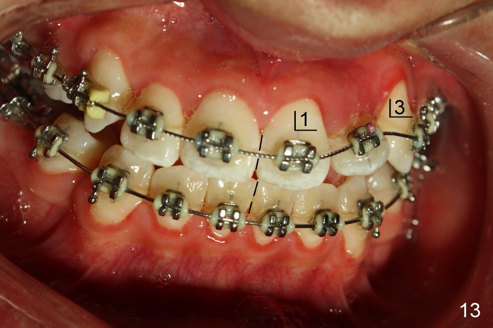
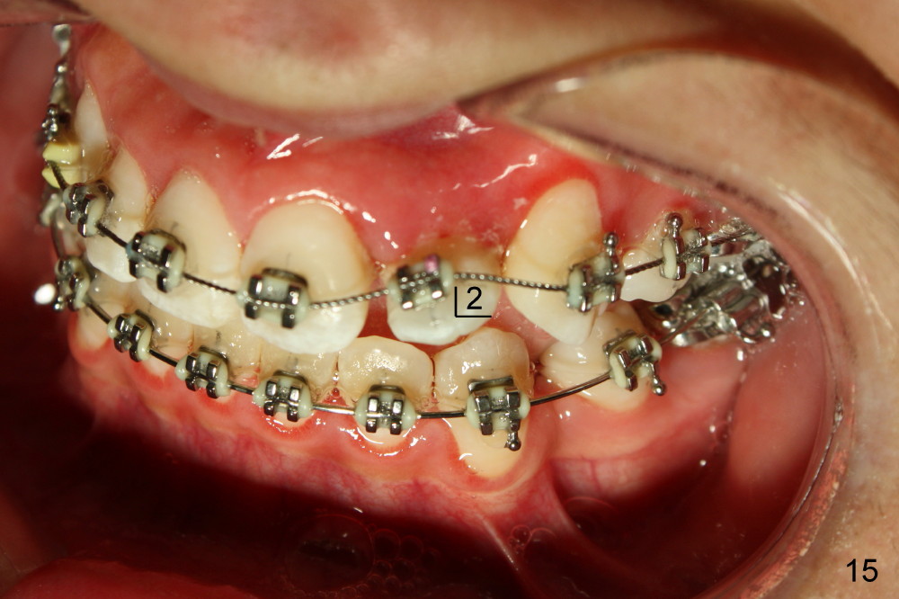
Seven months of treatment, the dental midlines coincide (Fig.13 dashed lines). Extraction spaces have been closed or being closed (Fig.13-15). UL 2 has been moved into the arch (Fig.13,15,16). But the alignment needs to be improved with arch wire sequence for a second time starting with .0175 twisted wire (Fig.13-16).
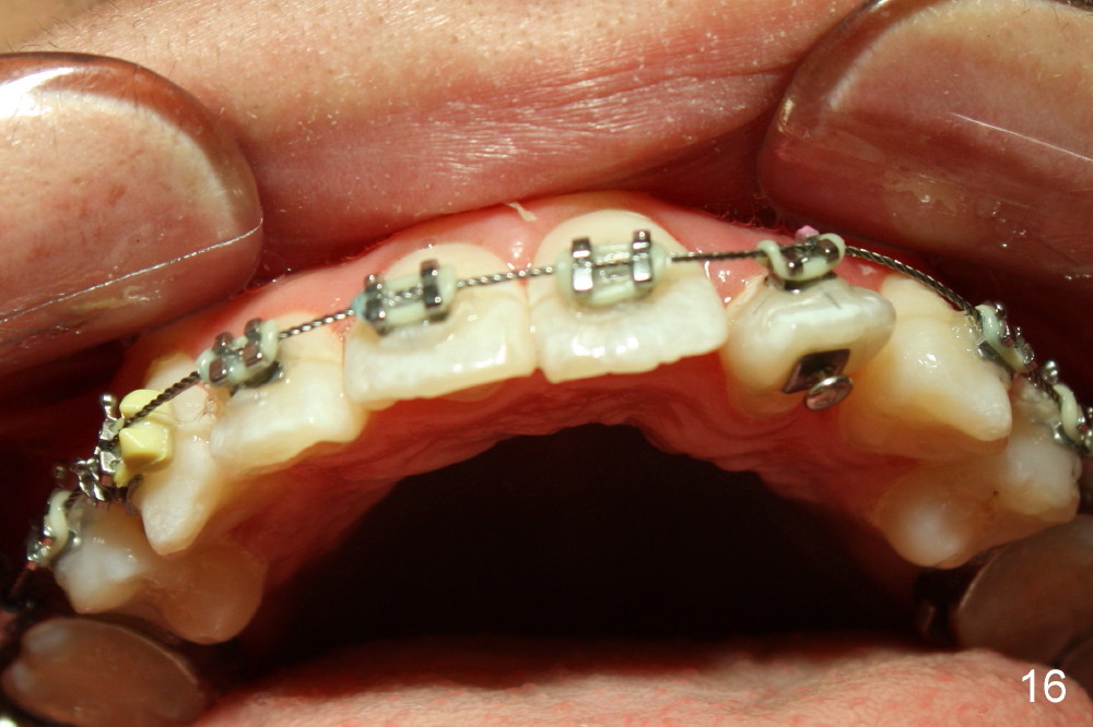
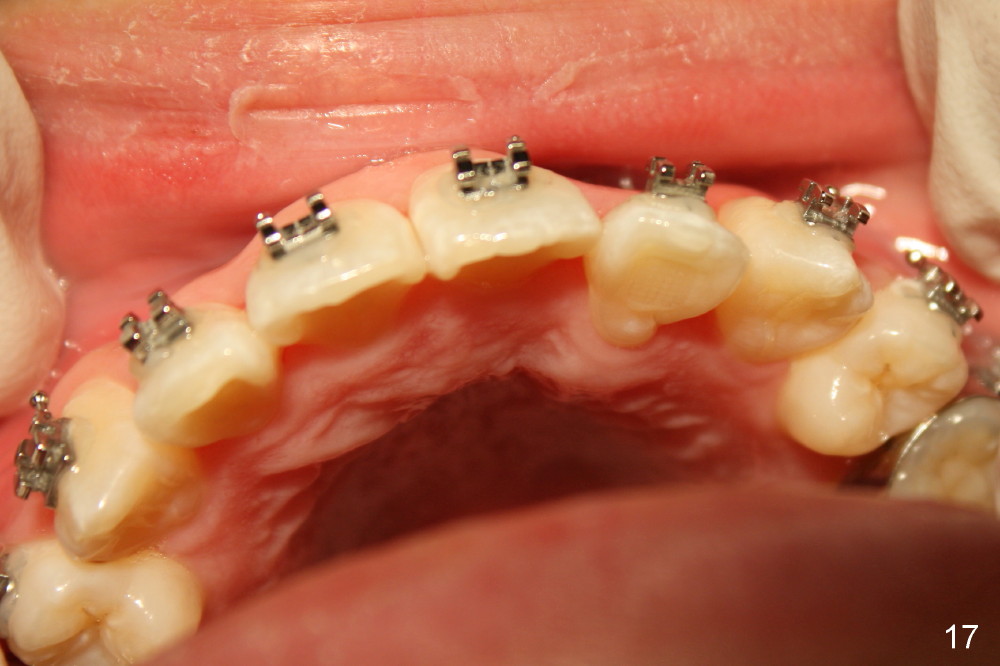
The alignment of UL2 improves one month of using .016x.022 ss wire with introduction of torque (total 14 months of treatment, Fig.17). The open bite (Fig.1-4, ignored), basically corrected nearly in the end of treatment (Fig.13-15), relapses < 2 years.
Xin Wei, DDS, PhD, MS 1st edition 04/13/2013, last revision 02/24/2019