|
|
![]() |
Fig.4 Preop PAN shows severe malocclusion before loss of the crown of the upper lateral incisor. Arrows indicate supraeruption; red lines long axis of malpositoned teeth. Return What to do?
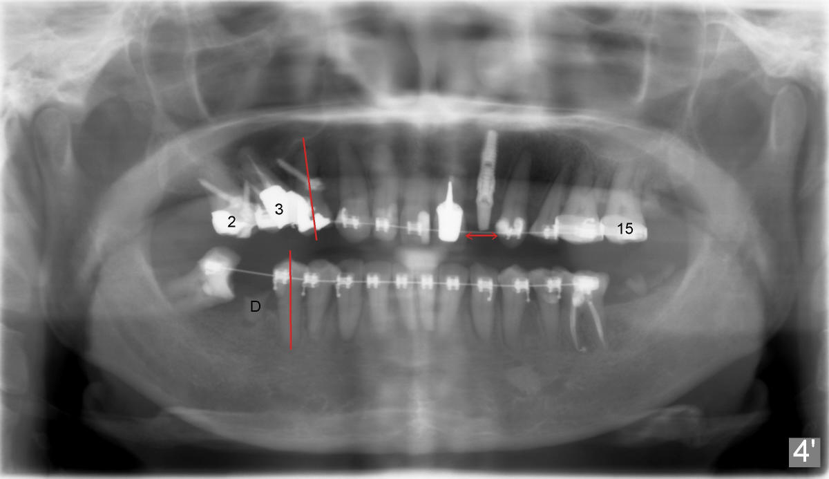
Fig.4': Eleven months of ortho: #29 is upright; the mesial root of #30 has been extracted; the distal root retains (D). The occlusal plane of the lower arch is flat, as compared to Fig.4. #2,3 are being intruded using 3 mini-implants; the axis of #4 has been improved. #15 appears to have been intruded. The space has been increased for #10 implant (arrows).
Xin Wei, DDS, PhD, MS 1st edition 05/13/2013, last revision 02/19/2017