![]() |
![]() |
![]() |
![]() |
What to Do?
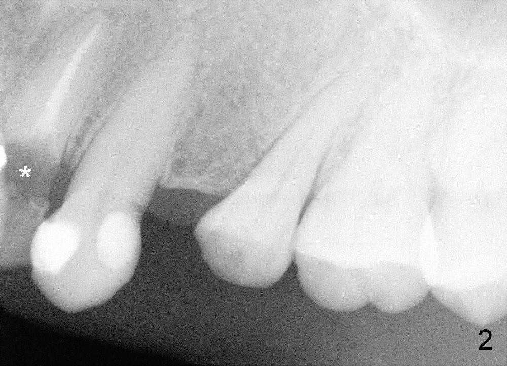
A fifty five year old lady requests implant restoration for the upper left lateral incisor after the crown fractures (Fig.3*). X-ray in Fig.1,2,4 were taken before loss of the crown. The biggest issue is the narrow space of this lateral mesiodistally (Fig.3).
Ortho Design, Ortho Progress, Implant Design, Surgery, Professionals, Implant & Ortho 2
Xin Wei, DDS, PhD, MS 1st edition 05/13/2013, last revision 02/19/2017