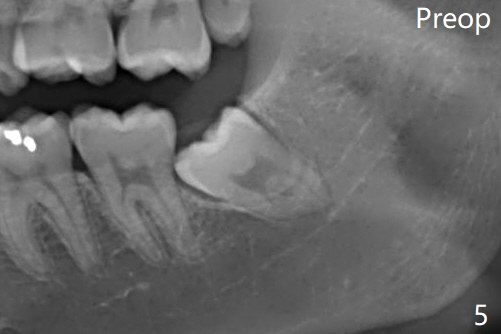
Osteogen plug was placed in #17 socket 1 year ago.

Buccal Impaction Last Next

Xin Wei, DDS, PhD, MS 1st edition 12/10/2019, last revision 07/17/2021