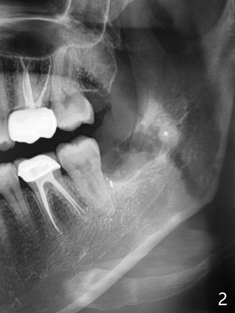
The fractured root tip (Fig.2 *) is so deep that the longest surgical length fissure bur can not reach in spite of multiple sectioning.  The nervous patient agrees not to remove the root tip because of pain associated with root tip loosening.  The fractured bur tip cannot be found clinically.  CBCT should have taken for bur location and the proximity of the root tip to the Inferior Alveolar Canal.  Bone fills the socket 1 year postop (Fig.4).  智齿充分挺松(牙根与牙槽骨分离,牙周膜断裂)后,才劈开牙齿:磨刀不误砍柴工。

Fractured Bur Last Next 智齿拔除

Xin Wei, DDS, PhD, MS 1st edition 12/20/2019, last revision 07/25/2021