![]() |
![]() |
![]() |
![]() |
Retained Bur Tip
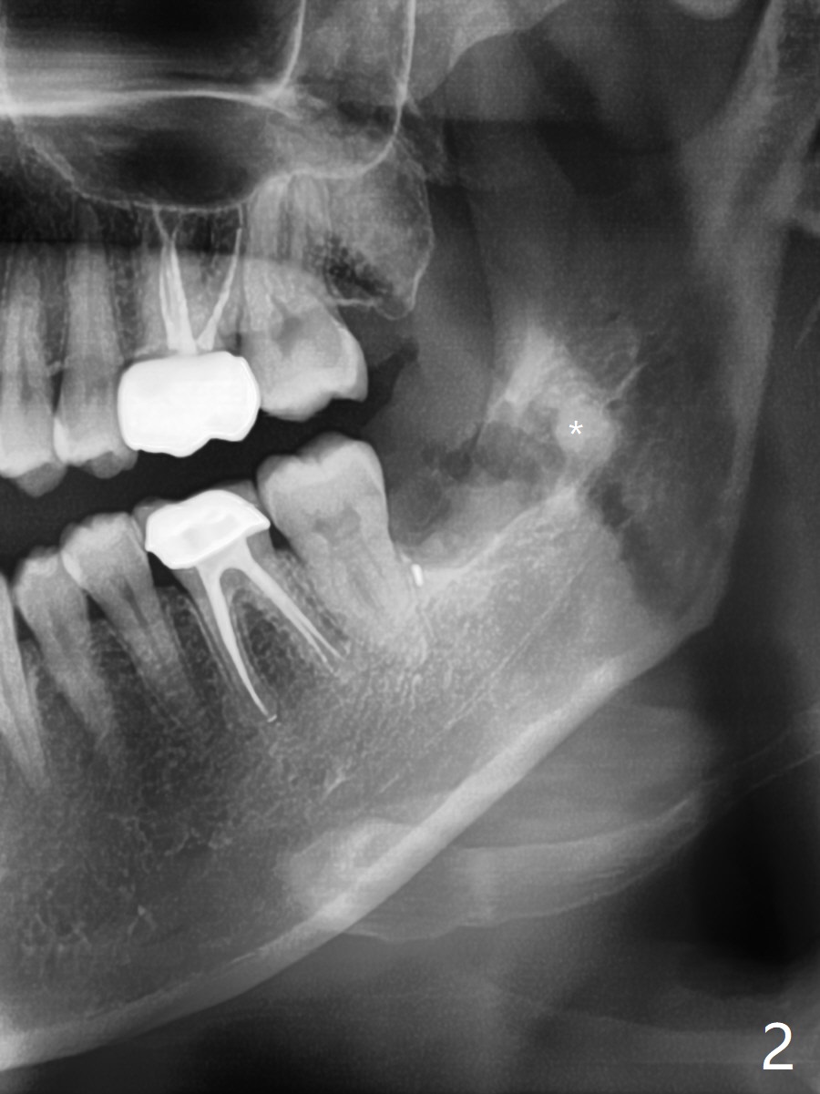
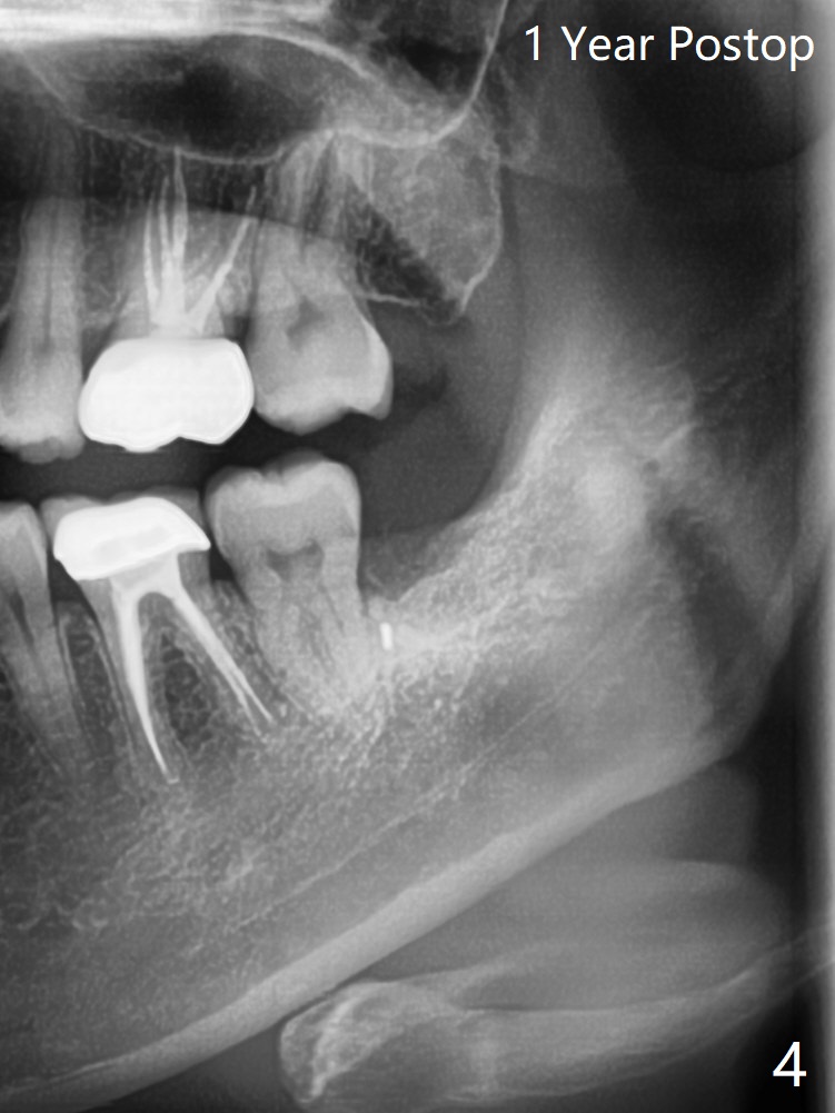
A 41-year-old woman (dental phobic) requests extraction of the tooth #17 because of food impaction (Fig.1). The fractured root tip (Fig.2 *) is so deep that the longest surgical length fissure bur can not reach in spite of multiple sectioning. The nervous patient agrees not to remove the root tip because of pain associated with root tip loosening. The fractured bur tip cannot be found clinically. CBCT should have taken for bur location and the proximity of the root tip to the Inferior Alveolar Canal. To prevent dry socket, Osteogen Plug is placed in the radicular portion of the socket (Fig.3 O), while allograft (A) in the coronal part of the socket. With Collagen Plug placed superficial to the allograft, 4-0 plain gut suture is used to close the socket. The patient returns 11 days postop with chief complaint of "pain returns for 2 days, affecting sleep. Small particles came out". #17 gingiva is healthy, although there is tenderness on deep palpation of #17 D. There is no exudate. Chlorhexidine irrigation is done with 2 syringes with pain relief. Augmentin is prescribed for 7 days. Pain disappears in ~ 1 month. Bone fills the socket 1 year postop (Fig.4).
Return to
Plug
Professionals
Allograft
智齿拔除
Xin Wei, DDS, PhD, MS 1st edition
12/27/2018, last revision
07/17/2021