![]() |
![]() |
预防干槽症,增骨
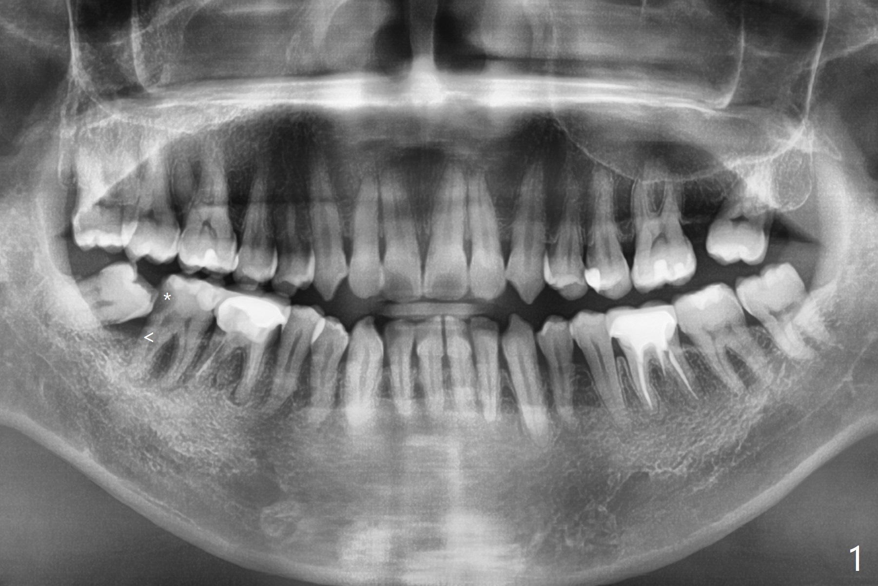
最近放置骨水泥或者胶原塞后连续发生两例干槽症(女51,18岁(去骨))。当57岁男因右下7龋齿夜间痛(图一:*),远中骨质吸收(<)就诊时,提出拔除8后放置粘性骨粉和PRF,他欣然同意。拔除智齿(没去骨,但是劈牙)后,7远中去龋,临时充填(图二:*(IRM,必要时转诊根管治疗))。为了让粘性骨粉在最关键部位(7远中)发挥作用,放置前在牙槽窝根尖放置胶原塞(C),占据空间,后来发现骨粉量足够。
Return to
Plug
Xin Wei,
DDS, PhD, MS 1st edition 01/22/2021, last revision
01/23/2021